正畸治疗和手术治疗 对于已经存在错颌畸形的患者应进行综合性的正畸治疗。所谓正畸治疗就是矫正错颌畸形的治疗。广义上讲,前面谈到的纠正口腔不良习惯、预防性和阻断性矫治也包含在正畸治疗之... 牙齿矫正 池醉香 561 2023-12-28
吮指可造成错颌畸形 吮指是婴幼儿最初学会神经反射的一种行为,一般认为,儿童在2岁或3岁前指习惯可视为正常的生理行为。在2岁左右的儿童中,大约1/3有此习惯,这种习惯通常在46岁... 牙齿矫正 朱小溪 821 2023-12-28
开颌的病因是什么 开颌有哪些临床表现 开颌主要是上下牙弓及颌骨垂直向发育异常具体表现在前段牙、牙槽或颌骨高度发育不足,后段牙牙槽或颌骨高度发育过度,或二者皆有之。其临床表现是上下颌牙在正中颌位及下颌... 牙齿矫正 富南烟 1088 2023-12-28
深覆颌的临床表现有哪些 深覆颌在临床比较常见。覆颌是指上前牙覆盖下前牙的垂直距离。上前牙牙冠覆盖下前牙冠长1/3以内,或下前牙切缘咬于上前牙舌侧切缘1/3以内者为正常覆颌,超过1/3以... 牙齿矫正 壬以松 572 2023-12-28
深覆颌的病因是什么 深覆颌是上下牙弓及颌骨垂直关系发育异常,主要表现为牙弓与颌骨高度发育不调,前牙区牙及牙槽高度发育过度,后牙及后牙槽高度发育不足。在很多情况下,深覆颌往往与牙弓及... 牙齿矫正 商清卓 549 2023-12-28
后牙反颌的病因是什么 后牙反颌有哪些临床表现 后牙反颌是指下颌后牙突出于上颌后牙的颊侧,呈反覆盖现象。可发生在乳牙列期、混合牙列期或恒牙期,有个别牙反颌,也有多数后牙反颌;可发生在单侧,也可发生在双侧。个别... 牙齿矫正 员文石 891 2023-12-28
前牙深覆盖的病因是什么 前牙深覆盖有哪些临床表现 前牙深覆盖指上前牙切端至下前牙唇面的最大水平距离超过3mm者,是一种常见的错颌,磨牙关系多为远中颌,并常伴有前牙深覆颌,是典型的安氏Ⅱ类Ⅰ分类错颌。... 牙齿矫正 吴芳芳 856 2023-12-28
前牙反颌有哪些临床表现 正中咬颌时,前牙的反覆颌、反覆盖关系,称为前牙反颌,俗称“地包天”。前牙反颌显而易见,也有特定的面形,如面中1/3凹陷,或下颌明显前突等。... 牙齿矫正 厉涵山 644 2023-12-28
前牙反颌的病因有哪些 前牙反颌是临床常见的畸形之一,而且临床表现也相当复杂多变。根据反颌的类型可分为乳牙反颌、混颌牙列反颌、恒牙反颌;根据反颌牙的多少又可分为个别牙反颌,多数前牙反颌... 牙齿矫正 南光耀 586 2023-12-28
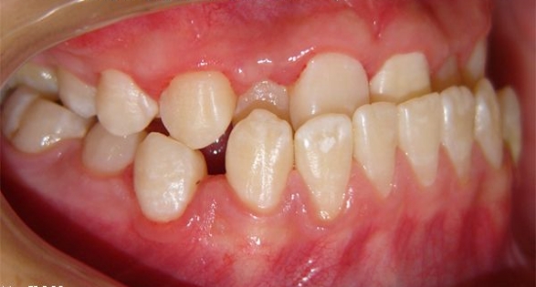
牙列拥挤的病因是什么 牙列拥挤有哪些临床表现 牙列拥挤是错颌畸形中最常见的一种类型,约占错颌畸形的60%~70%。牙列拥挤是牙量(牙的总宽度)与骨量(齿槽弓总长度)的不协调,即为牙量大于骨量而引起,牙弓的实... 牙齿矫正 公冶乐天 932 2023-12-28
替牙期的暂时性错颌畸形是什么 儿童牙齿替换时期会出现暂时性错颌畸形表现为上颌门牙(中切牙)萌出时两牙之间有一个牙缝,上颌侧切牙萌出时牙冠向两旁撇出,同时在上下前牙区域有轻度牙齿拥挤不齐。... 牙齿矫正 素若南 806 2023-12-27
不可忽视儿童前牙“地包天” “地包天”又称前牙反颌,是临床上常见的错颌畸形之一。前牙反颌可有个别前牙反颌及多数前牙反颌,可以发生在乳牙期、混合牙列期和恒牙期。一般而言,矫治应越早越好。... 牙齿矫正 鄂昊英 599 2023-12-27
矫正牙齿宜在最佳年龄 牙颌畸形是指牙齿排到不整齐、上下牙弓关系异常、上下颌骨位置和形态变异、牙颌和颅面关系不协调等。各种牙颌畸形都不同程度地影响口腔功能和面貌的美容。儿童时期全身和颅... 牙齿矫正 钟苒 582 2023-12-27
了解牙列不齐的原因 牙列不齐又称错颌畸形,是指儿童在生长发育过程中,由先天的遗传因素或后天的环境因素,如疾病、口腔不良习惯、替牙异常等导致的牙齿、颌骨、颅面的畸形造成的,主要有:... 牙齿矫正 闾鸿达 610 2023-12-27
孩子面型不好看 原因是什么 “兜齿”“地包天”最易形成孩子的凹面型,反颌畸形患者,常由于面中三分之一发育受限或面下三分之一发育过度,从而形成“月牙状”的侧貌,影响美观和功能。孩子面型凸常由... 牙齿矫正 彤依波 483 2023-12-26
口腔正畸学与牙周病学的关系 口腔正畸学是口腔医学的一个分支学科,是研究颅颌面生长发育及其过程中出现的牙颌、颌骨、颅面等畸形(错颌畸形)的病因机制、病理改变、诊断设计和预防治疗的一门科学。... 牙齿矫正 壬以松 538 2023-12-26
常见错颌畸形及治疗是什么 口腔正畸学与口腔颌面外科学最为密切的关系莫过于正畸-正颌外科的联合,来矫治严重的牙颌面畸形。没有外科手术,正畸学家对一些严重的牙颌面畸形则束手无策,难以为这些患... 牙齿矫正 商清卓 793 2023-12-26
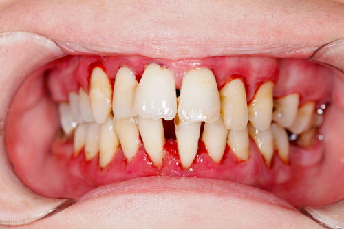
错颌畸形的危害有哪些 正畸治疗不仅要获得牙列的整齐和面部美观的改善,同时要获得牙颌与颅颌面其他结构的协调,达到神经肌肉系统的协调一致,并使口颌系统功能改善和恢复,同时,正畸治疗后要取... 牙齿矫正 员文石 471 2023-12-26
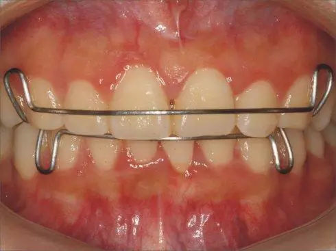
牙齿矫正后保持的原因是什么 保持是指保持矫正治疗时被移动的牙齿及颌骨的位置,它是矫正治疗中的一个重要阶段。错颌畸形矫治后的结果是不稳定的有复发的倾向,必须采取保持措施。... 牙齿矫正 令狐逸 552 2023-12-26