根管治疗成功的标准是什么 牙髓摘除术,完整拔除牙髓组织后,在根尖孔狭窄处有出血创面,血凝块形成,白细胞渗出,吞噬细胞清除坏死组织,肉芽组织生长,构成结缔组织,并分化为造牙骨质细胞及牙骨质... 根管治疗 丰尔槐 986 2024-01-16
根管治疗的原则是什么 根管治疗是通过根管预备,彻底清理髓腔,消除感染源,经根管消毒将残存在髓腔内及牙本质小管内的细菌及其毒素进行消毒,并用根管充填剂严密填塞死腔,防止再感染,从而预防... 根管治疗 丘乐正 638 2024-01-16
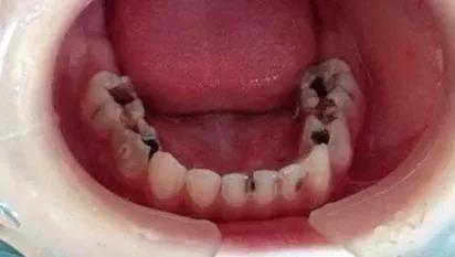
如何尽早发现龋病 龋病若未得到及时的治疗修复,牙齿病损会日趋深入,穿透牙体的硬组织层直至牙齿的心脏部位,即牙髓,引起牙髓炎,此时面临的将是难以忍受的“真要命”的剧痛。老年人可因牙... 牙齿治疗 郜清淑 550 2024-01-05
根管治疗成功的标准及其评价 牙髓摘除术,完整拔除牙髓组织后,在根尖孔狭窄处有出血创面,血凝块形成,白细胞渗出,吞噬细胞清除坏死组织,肉芽组织生长,构成结缔组织,并分化为造牙骨质细胞及牙骨质... 根管治疗 令狐逸 774 2023-12-15
根管治疗的原则有哪些 根管治疗首创于18世纪英国J.Hunter,初期只是限于拔髓和单独的药物消毒,随着细菌学和根管微结构研究的发展,促进了根管预备(机械预备和化学预备)、根管消毒和... 根管治疗 仙千风 915 2023-12-15
如何衡量根管治疗的疗效 急、慢性根尖周炎的最终治疗方法均应选择根管充填。当然,急性期的脓肿应先行引流排脓。有些病例牙槽骨破坏严重,需要拔除患牙。根管治疗术是通过清除根管内的坏死物质,进... 根管治疗 充向雪 552 2023-12-04
根尖周病的病因是什么 根尖周病是指根尖的牙骨质、根尖周围的牙周膜和牙槽骨等根尖周组织的疾病。绝大多数是由牙髓病发展而来,是口腔常见病之一。根尖周病分为两大类:即急性根尖周炎(急性浆... 牙齿治疗 所晴丽 560 2023-11-27
根管治疗的适应证是什么 根管治疗术是治疗牙髓病及根尖周病的一种方法,通过消毒根管内的炎症牙髓和坏死物质,并进行消毒,充填根管,以去除根管内容物对根尖周围组织的不良刺激,防止发生根尖周病... 根管治疗 建原 598 2023-11-11
根管治疗为什么那么贵 牙齿出现了疼痛,很多情况医生都会建议患者进行根管治疗也就是老百姓常说的抽神经,其实很多人并不懂牙齿有洞出现了疼痛为什么不能直接补一下,而是非要选择抽神经。... 根管治疗 笪冰夏 500 2023-11-08