错颌畸形的特征有哪些 我们先看一看牙齿的排列有没有问题。比如,牙齿里出外进、旋转、高低错位、倾斜······等等。这一类表现常常是因为牙齿的总量多于容纳牙齿的骨骼的总量,造成牙齿排列... 牙齿矫正 阙德厚 564 2024-01-11
牙颌面畸形的病因是什么 在儿童生长发育过程中,由于遗传、疾病、内分泌障碍、营养不良、功能紊乱、口腔不良习惯、替牙障碍以及一些其他因素的影响导致的牙颌面畸形,如牙齿排列不齐,上下牙弓关系... 牙齿矫正 范姜英杰 513 2024-01-09
错颌畸形的矫治方法和矫治器有哪些 错颌畸形是指儿童在生长发育过程中,由先天的遗传因素或后天的环境因素导致的牙齿、颌骨、颅面的异常。现在只有极少数人其颌的发育接近理想正常颌。而绝大多数正常颌人体均... 牙齿矫正 郜清淑 481 2024-01-09
口腔正畸有哪几种方式 错颌畸形是指儿童在生长发育过程中,由先天的遗传因素或(和)后天的环境因素,如基因传递、疾病、口腔不良习惯、替牙异常等导致的牙齿、颌骨、颅面部的发育性畸形及咬合畸... 牙齿矫正 公冶乐天 530 2024-01-08
牙齿不整齐 不美观是病吗 牙齿不整齐,是错颌畸形的一种表现。为什么会产生错颌畸形呢?构成颌关系的3个要素是牙量、骨量(牙槽骨)、肌肉,三者之间任何一个因素的不匹配,都会造成错颌畸形。错颌... 牙齿矫正 充向雪 566 2024-01-08
牙列拥挤的临床表现有哪些 牙列拥挤错位是牙齿在牙弓上的间隙不足,不能排列成一规则的正常弧形,是牙颌畸形中最常见的一种,约占畸形的60%。表现为牙齿重叠错位排列不齐。临床上前牙拥挤较后牙... 牙齿矫正 甫环 553 2024-01-06
为什么会牙齿畸形 畸形对孩子的牙齿、牙周健康影响都很大。比如牙列拥挤的孩子,牙齿的清洁和自洁比较困难,容易引发龋齿和牙龈炎;错颌的牙齿,容易伤及牙周,造成牙齿外伤使牙齿出现松动、... 牙齿矫正 素若南 537 2024-01-06
为什么牙不齐的孩子越来越多 牙不齐在口腔医学中为一类错颌畸形,我们一般以为是遗传、疾病、内分泌障碍、营养不良、替牙障碍以及口腔不良习惯等因素影响的结果。目前已经有30%~50%的人发生,... 牙齿矫正 范姜英杰 571 2024-01-05
怎样预防儿童错颌畸形 错颌畸形是一种发育畸形,病因较复杂,一般由遗传因素和环境因素所造成。据调查统计,错颌畸形中的60%~70%是由后天环境因素引起的,因此错颌畸形中的多数是可以预... 牙齿矫正 谬长逸 568 2024-01-05
牙齿不齐是怎么造成的 错颌畸形是指儿童在生长发育过程中,由先天的遗传因素或后天的环境因素,如疾病、口腔不良习惯、替牙异常等导致的牙齿、颌骨、颅面的畸形,主要有:牙齿排列不齐、上下牙弓... 牙齿矫正 速俨 506 2024-01-05
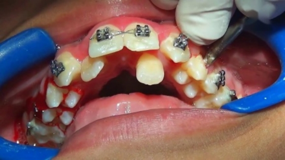
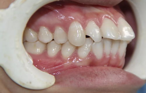
常见异常咬合与牙列不齐、错颌畸形的种类 了解不正常的咬合关系与牙列是进入正畸矫治的先决条件之一。牙列不齐、错颌畸形的种类包括牙列拥挤、牙列间隙、龅牙、地包天、深咬、开颌、牙齿倾斜、颜面颌骨异常等。... 牙齿矫正 鲜清怡 1207 2024-01-05
牙齿矫正的最佳年龄是什么 关于牙颌畸形,往往被认为是“先天的”而不受重视;尤其是乳牙列表现畸形,更被误认为“换牙后长了恒牙就会好的”其实不然。儿童的牙颌畸形如不重视并及时矫正,其后果不仅... 牙齿矫正 范姜英杰 487 2024-01-03
为什么牙颌畸形的发生率越来越高 随着人们生活水平的提高,牙齿的美观已经日益被人们所重视。据世界卫生组织统计,口腔的三大疾病是龋病、牙周病和错颌畸形(牙颌畸形)。牙颌畸形在我国的患病率高达49%... 牙齿矫正 郜清淑 502 2024-01-03
牙列异常的危害有哪些 错颌畸形不但对牙颌颅面的局部造成危害,并且对全身也可造成危害,如因咀嚼功能降低,未能充分磨碎的食物将会加重胃肠道的负担,导致消化不良及胃肠疾病。另外,由于牙齿不... 牙齿矫正 阙德厚 565 2024-01-03
为何要做正畸治疗 牙列及咬合异常会对人的心理片至生理带来各种不良影响。其中,上颌前突、下颌前突、牙列拥挤等是我们日常生活中常见的错颌畸形,它将对人的生理及心理带来各种危害。... 牙齿矫正 鲜清怡 1023 2024-01-03
牙颌骑形什么时候矫正效果最好 在口腔正畸科门诊中,经常有家长领着孩子来询问什么时候矫正牙颌畸形合适,甚至孩子刚萌出两个牙齿就抱着来找医生检查要求矫正。因此有必要向家长谈谈什么时候矫正才合适这... 牙齿矫正 南光耀 534 2023-12-29
什么叫牙颌畸形 什么叫牙颌畸形呢?这个名词对许多人来说是陌生的,但一经解释,马上就会明白。牙颌畸形是发生于人群中最常见的一种疾病。所谓牙颌畸形就是:人类的牙齿排列不整齐,上下牙... 牙齿矫正 充向雪 526 2023-12-29
哪些不良习惯要不得 为什么 在儿童生长发育时期,往往有许多不良习惯,有些不良习惯对牙、颌、面的发育影响很大。如不早期克服,可造成终身的错颌畸形,不仅仅影响美观,更苦恼的是影响咀嚼功能。因此... 牙齿矫正 丰尔槐 599 2023-12-29