儿童时期有几个牙列阶段 儿童时期究竟有几个牙列阶段?每一个牙列阶段应注意些什么?这是家长们十分关心的问题。牙列的整个发育过程可分3个牙列阶段:乳牙列阶段、混合牙列阶段和恒牙列阶段。... 口腔资讯 吴芳芳 1002 2023-12-07
正畸中牙齿移动的生物学基础 错颌畸形是指儿童在长发育期所形成的牙体、牙弓、颌骨、颅骨之间的畸形关系,对面型及功能均有影响,在临床表现中个体差异很大。由于生长环境及文化程度的影响,错颌畸形的... 牙齿矫正 仪捷 1136 2023-12-07
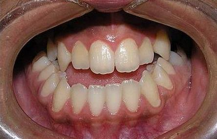
开颌的病因有什么 开颌是一类垂直向关系不调的牙颌畸形,其表现为前牙区、前磨牙区甚至磨牙区出现牙齿无咬合接触。开颌的形成及发展可由多种因素造成,临床上从乳牙列期到恒牙列期的各个牙颌... 牙齿矫正 吴芳芳 984 2023-12-06
错颌畸形矫治后的复发与保持 错颌畸形经正畸治疗,关系恢复正常后,仍有回复到矫治前错颌的趋势,这称作为复发。为防止错颌矫治后的复发,使治疗结果得以稳定,则在错颌矫治后需对矫治效果进行保持。... 牙齿矫正 巨伟懋 714 2023-12-05
口腔正畸学与其他学科的关系 口腔正畸学是口腔科学的一个分支学科,在研究错颌畸形的病因、诊断、预防、矫治的过程中,与口腔其他各科及医学基础学科有着十分重要的联系,因而是一门内涵十分丰富的学科... 牙齿矫正 南光耀 623 2023-12-05
错颌畸形的危害有哪四个 错颌畸形可影响语言功能,在一些前牙开颌严重下颌前突等病历,可造成某些音节发音的异常。由于一些错颌畸形的存在。例如,前牙反牙合开唇露齿等造成口呼吸,而影响了正常的... 牙齿矫正 充向雪 496 2023-12-05
错颌畸形的矫治时机是什么 牙病发病率高,牵涉面广,人的一生都随时可能发生,危害极大。随着人们生活水平的不断提高,人们对口腔保健、牙病防治的要求也越来越大。何时矫治畸形为宜,应根据错颌畸形... 牙齿治疗 申屠亦凝 590 2023-12-04
牙齿矫正的须知有哪些 国内错颌畸形流行病学调查表明,错颌畸形的患病率最低为29.33%,最高达48.87%,列为继龋病、牙周病之后的口腔第三大常见病。随着人类进化,生活习惯改变精细... 牙齿矫正 池醉香 612 2023-12-04
牙齿错颌畸形的危害是什么 在儿童生长发育过程中,由于遗传、疾病功能紊乱或替牙期故障等因素的影响而导致牙齿、颌骨、颅面的畸形,如牙齿排列不齐、上下牙弓关系不调,牙弓与颌骨、颌骨与颅面等关系... 牙齿矫正 所晴丽 556 2023-12-04
成年人的正畸治疗 长期以来,口腔正畸治疗的主要目标集中在生长发育结束前的儿童与青少年。由于成年人生长发育已经完成,颅颌面部骨骼间的骨缝已呈骨性融合,细胞代谢缓慢,对正畸力的生物反... 牙齿矫正 员文石 871 2023-12-01
矫治前牙反颌过程中特殊情况的处理 在临床上不乏有过早地拔牙,结果反颌解除后,余留过多空隙的情况发生明智的做法是先纠正反颌后,依据前牙的覆颌覆盖、骨骼关系等来确定拔牙与否。... 牙齿矫正 鲜清怡 484 2023-12-01
反颌是怎么引起的 反颌的临床表现千变万化、类型各异,当然引起的原因也决不可能是单一因素造成的有的畸形原因比较明确,还有相当一部分其原因尚不确定;有的是诸因素作用的结果,有的是与遗... 牙齿矫正 闾鸿达 863 2023-12-01
错颌畸形的病因分类 由先天和后天的各种因素作用于牙、颌、面软硬组织,影响骨骼、肌肉、牙或牙齿的正常生长发育,形成形式各异的错颌畸形。从病因学方面考虑,可以把错颌畸形划分为骨源性、牙... 牙齿矫正 鄂昊英 611 2023-12-01
错颌畸形复发的原因是什么 错颌畸形矫治后并不意味着矫治结束,为了防止复发需要保持。保持是指保持矫正治疗被移动的牙齿及颌骨位置牙齿矫正后立即把矫治器拿掉,那么牙齿会有回复到原来位置的倾向或... 牙齿矫正 阙德厚 637 2023-11-30
什么叫固定矫治器 固定矫治器是用锌水门汀或粘合剂将矫治器固定于牙齿或牙弓上,患者自己不能随意取戴,只有医师用器械才能取下的一种矫治装置。固定矫治器种类很多,其中有唇舌弓矫治器、方... 牙齿矫正 闾鸿达 1123 2023-11-30
哪些常见的口腔发育障碍和缺陷会引起牙列不齐 人类的食物越来越精细,导致咀嚼功能日益减弱,因而产生咀嚼器官退化性缩小的遗传性状。而这种退化呈现不平衡现象,即肌肉居先,颌骨次之,牙齿再次之。牙齿在发育过程中的... 牙齿矫正 朱小溪 593 2023-11-29
不良习惯与牙列不齐有什么关系 所谓习惯,就是指在一定时间内有意识或无意识地反复做一相同的动作,并持续下去。口腔不良习惯是发生于口腔环境的有害的异常习惯行为。... 牙齿矫正 建原 530 2023-11-29
牙列不齐是否会遗传 牙列不齐是会遗传的,甚至有报道为“接近百分之百的遗传”。遗传是生物体的特性,也是生物体本身的生活及发展所需的条件,同时对外界环境还有一定的反应能力。... 牙齿矫正 壬以松 518 2023-11-29
牙列不齐有什么危害性 广大群众对有关牙列不齐的矫正知识存在一些模糊认识,如矫正牙齿对身体有没有危害,小儿瘪嘴很好玩也不难看等等,因而延误治疗,导致病情严重。牙列的不齐,可以给我们的身... 牙齿矫正 公冶乐天 499 2023-11-29
什么情况的牙列不齐暂时不需矫正 牙列不齐是口腔疾患中常见病之一,其病因和临床表现错综复杂,矫治方法众多。牙列不齐对口腔健康、口腔功能、颌骨骨骼的发育及外貌都有很大影响,以致影响职业的选择。... 牙齿矫正 公冶乐天 525 2023-11-29