什么时候矫治错颌畸形比较合适 要了解小儿牙颌畸形的矫治时机,先要知道人的牙齿发育过程有三个阶段。一是乳牙期,6个月至6~7岁;二是混合牙期,6~7岁起至12岁左右;三是恒牙期,自12岁左右起... 牙齿矫正 员文石 562 2024-03-22
拔牙可以对矫治错颌畸形提供什么便利 很多患者不理解为什么矫正牙齿有时还需要拔除牙齿,而且这些牙齿都是健康的牙齿,拔除了似乎很可惜。由于对拔牙的犹豫,常常干扰了对矫正器计划的选择,最终使矫正结果不够... 牙齿矫正 阙德厚 555 2024-03-21
牙颌畸形的矫正时机 错颌畸形是儿童在生长发育过程中,由于遗传因素、不良习惯、乳恒牙替换异常、全身疾病等不良因素,而引起的牙齿、颌骨、颜面的畸形,如牙齿排列不齐、上下牙弓间的,关系... 牙齿矫正 彤依波 591 2024-03-20
牙颌畸形形成的原因 随着社会的进步和收入水平的提高,家长和孩子对口腔牙齿的排列情况的要求也越来越高。但是并不是每个孩子都能有一口整齐漂亮的牙齿,虽然有些人牙齿排列较整齐,但上下牙齿... 牙齿矫正 所晴丽 559 2024-03-20
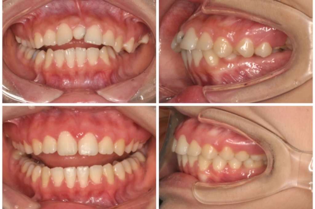
“暴牙齿”是怎样形成的 正常情况下,上前牙稍稍覆盖下颌前牙切端,上下唇微闭时不会露出牙齿,说话或微笑时口唇分开可露出部分上下颌前面的牙齿。如果上前牙切端过分前突、口唇无法闭拢,以致整天... 牙齿矫正 池醉香 1017 2024-03-20
成人矫正有哪些矫正问题 错颌畸形的矫治及预防的基本原理,除了外科手术,均是在错位的牙齿或不协调的颅骨上施加外力或用功能性矫治器排除不正常的肌肉力量,通过机体本身内部的反应,产生牙周组织... 牙齿矫正 建原 565 2024-03-18
儿童口腔不良习惯与错颌畸形 口腔不良习惯在错颌畸形的病因中占有重要的位置,约占各类错颌畸形病因的1/4。儿童的各种口腔不良习惯,可造成上下牙弓之间和上下牙弓内外之间肌肉动力的不平衡,而形成... 牙齿矫正 丰尔槐 684 2024-03-18
儿童错颌畸形有哪些危害 在儿童生长发育中,由于遗传、疾病、内分泌障碍、营养不良、功能紊乱、不良习惯、工业化带来的环境污染,以及一些其它因素的影响,以致发生牙齿排列不齐,牙弓、颌关系错乱... 牙齿矫正 速俨 588 2024-03-15
深覆颌的临床表现及治疗原则 深覆颌是上、下颌牙弓垂直关系的异常,常伴其他错颌同时存在。在前牙区覆颌超过正常,即上前牙切缘盖过下前牙牙冠长1/3或下前牙咬合于上前牙舌侧切1/3以上者。... 牙齿矫正 彤依波 1151 2024-03-14
开颌的临床表现及治疗原则 开颌是指前牙或后牙在垂直方向上不能咬合,在安氏三种类型的错颌中都可能出现开颌,最常见的是下颌后缩,伴以安氏Ⅱ类错颌。开颌在临床上较少见。可见于乳牙期、替牙期和恒... 牙齿矫正 建原 1724 2024-03-14
锁颌的临床表现及治疗原则 锁颌是牙横向不协调的一种错颌畸形,上颌个别后牙或多数后牙被锁结在下后牙的颊侧,或是下颌个别后牙或多数后牙被锁结在上后牙的颊侧,为锁颌畸形。由于上下颌后牙缺乏正常... 牙齿矫正 公冶乐天 3229 2024-03-14
错颌畸形的预防有哪些 随着人民生活水平的提高,对牙齿疾病认识的增强,人们的就医观念发生了变化。另外,随着整个社会对个人综合素质要求的提高,人们审美观念的变化等因素,错颌畸形作为世界卫... 牙齿矫正 聊华清 575 2024-03-13
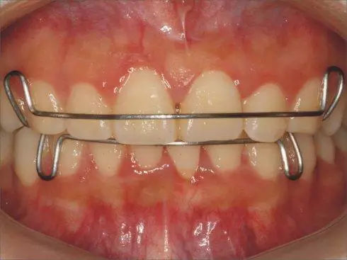
正畸后保持的目的和意义是什么 任何一位错颌畸形患者经过正畸医师系统治疗之后,病人会对治疗效果表示满意,并要求去除固定矫正器,他们认为正畸治疗终于结束了。但作为一名正畸医师必须明确还有非常重要... 牙齿矫正 苦冷亦 646 2024-03-11
功能矫正器的作用方式是什么 功能矫正器本身不产生力,其矫治力来自被牵张的肌肉、韧带及纤维。肌肉等被牵张后,产生一系列的适应性调整,即通过新的“功能型”达到新的“形态型”。其确切的作用方式尚... 牙齿矫正 聊华清 831 2024-03-11
矫治器有哪些类型 在对错颌畸形进行治疗时,最常选用的方法就是应用各种矫正器进行正畸治疗。矫正器是一种治疗错颌畸形的装置或器具,它可产生力量,或可利用咀嚼肌及口周肌的功能作用力来矫... 牙齿矫正 素若南 1022 2024-03-11
骨性错颌的矫治时机和矫治限度 在对错颌畸形患者进行检查诊断和制定治疗方案时,首先要区分其为牙性错颌还是骨性错颌,因为,这两大类错颌的矫治原则和临床处理方法是大不相同的。目前,骨性错颌的矫治主... 牙齿矫正 笪冰夏 1102 2024-03-11
牙性错颌的矫治时机与矫治限度 一般而言,牙性错颌的最佳矫治时间是恒牙颌初期,此时,身体正处于青春快速发育期,牙周组织对矫治力有良好的反应,且有较好的生长潜力,有利于复杂的牙性错颌畸形的综合性... 牙齿矫正 申屠亦凝 691 2024-03-11
错颌畸形有什么危害 口腔正畸学是口腔医学的一个分支学科。它的学科内容是研究错颌畸形的病因机制、诊断和分析及预防和治疗错颌畸形,但在通常意义上讲,正畸治疗的目的,就是通过增进牙列、颌... 牙齿矫正 甫环 1092 2024-03-11
错颌畸形矫治过程中的支抗和间隙是什么 支抗和间隙是错颌畸形矫治过程中十分重要的问题,当对其意义及特点有充分的理解和认识,并应用到矫治中去,则将是取得良好矫治效果的基础,反之,则必将影响矫治的疗效。... 牙齿矫正 所晴丽 730 2024-03-06