错颌畸形治疗后的稳定性是什么 随着社会的进步,人们对自身美的要求越来越高,在衣着美、发型美、皮肤美、手指美等得到满足后,又开始注意自己口腔的美。在口腔科门诊中,要求对牙齿排列不整齐进行矫治的... 牙齿矫正 苦冷亦 512 2024-01-31
需要手术治疗的牙列不齐有哪些 矫正治疗一般以矫治牙齿为主。当牙列畸形过于严重,或伴有骨骼畸形时的单纯的矫正治疗效果有限,常需要开刀治疗,也就是通过手术方法矫正错颌畸形,称为外科正畸或正颌外科... 牙齿矫正 鄂昊英 652 2024-01-30
暂时不需矫正的牙列不齐有哪些 儿童替牙期称为过渡牙列期(混合牙列期),口腔内有乳牙也有恒牙,刚替换的牙齿与原有的到牙很不协调,很难看,常称之为“丑小鸭期”。这一时期一些牙列的暂时不齐,会随着... 牙齿矫正 钟苒 556 2024-01-30
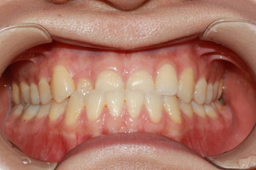
需要矫正的牙列不齐有哪些 牙列不齐对人的生理、心理都会带来相当程度的影响。排列不齐的牙齿刷牙不易清洁常造成食物残渣滞留,容易发生龋病、牙龈炎和牙周炎,严重的可导致牙齿松动脱落。排列不齐牙... 牙齿矫正 闾鸿达 585 2024-01-30
造成面部畸形的原因是什么 颜面不对称通常很容易发现,然而对于出现不对称的情况还应具体分析。如颜面不对称发生的时间,病情进展情况,是上下还是左有不对称,是萎缩还是增生,有无伴随的功能障碍和... 牙齿矫正 速俨 520 2024-01-25
老年人正畸治疗时需注意什么问题 在正畸治疗过程中,由于所使用的正畸部件容易导致食物嵌塞、残渣潴留、软垢堆积,因此,正畸前仔细询问老年人的口腔卫生习惯及检查余留牙的卫生状况是相当重要的。如果老年... 牙齿矫正 令狐逸 557 2024-01-23
老年人正畸治疗的特殊考虑是什么 要求正畸治疗的老年人,往往伴有牙周病、牙齿缺失及关节病等,正畸治疗的目的主要是改善前牙美观,维持牙列健康,控制牙周病,配合修复治疗的需要以及改善咀嚼效能等。老年... 牙齿矫正 仙千风 890 2024-01-23
老年人错颌矫治适应范围有哪些 目前,在发达国家,老年正畸病例时有报道,国内也有一些学者对老年人正畸正在进行一些临床和实验探讨,在报道的病例中,均获得了令人满意的结果。... 牙齿矫正 丰尔槐 938 2024-01-23
老年人错颌畸形的原因是什么 随着社会的进步、生活水平的提高及老年人平均寿命的升高,老年人对提高生活质量的愿望日益增长,对口腔健康和美观程度也提出了较高的要求。... 牙齿矫正 丘乐正 552 2024-01-23
口腔健康的重要性 口腔卫生与口腔疾病的发生有很大的关系,特别是与牙周病和龋病的关系更为密切,根据已知口腔疾病的致病因素,提出针对性的口腔卫生措施,使口腔和牙齿有一个清洁、健康的良... 口腔资讯 甫环 908 2024-01-19
错颌畸形的病因和表现是什么 牙颌畸形的形成和致病因素是多种多样、错综复杂的。某类牙颌畸形发生的过程中可能是单一因素在起作用,但也可能是多种因素或多种机制共同作用的结果。总的来说,牙颌畸形的... 牙齿矫正 彤依波 592 2024-01-19
正常颌是什么样的 错颌畸形是指儿童在生长发育过程中,由先天的遗传因素或后天的环境因素,以及生物进化因素等导致的颅、颌、面的畸形以及它们之间相互不协调而致的各种畸形。然而区别于错颌... 牙齿矫正 充向雪 780 2024-01-19
错颌畸形如果不矫治会有哪些危害 既然是一种畸形,首先会破坏一个人的容貌,严重的错颌畸形还会使一些患者产生悲观情绪,进而出现心理和精神障碍,也可能对求职、择偶产生负面影响。因为咬合关系异常,还会... 牙齿矫正 速俨 611 2024-01-18
如何预防错颌畸形 错颌畸形是一种发育畸形,病因较复杂,一般由遗传性因素和获得性因素所造成。据调查统计,错颌畸形中的60%~70%是由后天获得性因素引起的,因此错颌畸形中的多数是可... 牙齿矫正 巨伟懋 571 2024-01-18
哪些原因可以造成错颌畸形 错颌畸形的形成因素及其机制是错综复杂的。其发生的过程可能由单一因素或单一机制在起作用,但也可能是多种因素或多种机制共同作用的结果。这些因素影响到颌面部的骨骼、神... 牙齿矫正 壬以松 537 2024-01-18
什么是牙列不齐 牙列不齐又称错颌畸形,是指儿童在生长发育过程中由于先天的遗传因素或后天的环境因素,如疾病、口腔不良习惯、替换牙异常等导致的牙齿、颌骨、颅面的畸形。... 牙齿矫正 仪捷 1074 2024-01-16
形成牙列不齐的原因是什么 形成牙列不齐的原因很多而且复杂,其发生的过程可以是由单一因素或单一机理在起作用,也可以是两种以上的多种因素或多种机理共同起作用的结果。归根结底,不外乎遗传性和获... 牙齿矫正 令狐逸 899 2024-01-16
口腔正畸学的治疗范围是什么 口腔正畸学主要研究错颌畸形是什么表现,分哪些类型,这些错颌都是什么原因导致的,如何确诊,如何更有效地矫治。牙齿矫治也很复杂,简单地可以分成以下几个方面。... 牙齿矫正 谬长逸 566 2024-01-11
牙齿不齐会有什么影响 牙齿拥挤排列在一起,用再细软的牙刷,再细致的人也难于彻底刷干净。这些充满食物的牙间隙就是细菌滋生的好地方,并且形成牙菌斑附着在牙齿表面。光滑的牙面逐渐会变得粗糙... 牙齿矫正 速俨 490 2024-01-11