口腔种植修复的禁忌症有哪些 口腔种植修复方式虽然适应证广,但不一定适合所有的缺牙患者。虽然,常规的口腔种植手术是属于微创的小手术,但也有许多情况不适合选择口腔种植修复方式。... 种植牙 南光耀 605 2024-03-29
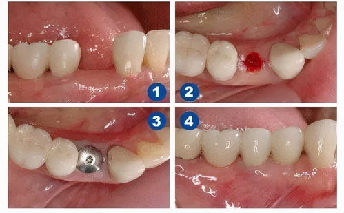
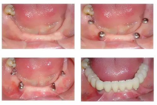
口腔种植义齿的优点 临床上通过微创手术将人工牙根植入到缺失牙的牙槽骨内,经过3~6个月时间让人工牙根和机体骨组织形成骨结合,然后再连接上部结构来进行义齿修复,用以支持和固定义齿,从... 种植牙 公冶乐天 580 2024-03-29
口腔种植修复治疗及安装之后注意事项 把对人体无害的特殊钛制材料的人工牙齿(种植体)安装在牙齿缺损部位的颌骨上,在种植体上面做镶牙物,这种特殊的镶牙治疗方法就是种植牙。一般从开始治疗的那一天,需要4... 种植牙 素若南 571 2024-03-27
口腔种植修复成功的标准与评价 迄今为止,国际上尚未出台统一的牙种植成功标准,因此如何对牙种植修复的最终成功作出科学、规范和客观的评价,仍是一个值得探讨的问题。现仅介绍具有代表性的3种评价方法... 种植牙 范姜英杰 1601 2024-03-08
口腔种植材料的分类有哪些 骨内种植体是种植修复体的基础部件,作为牙种植体是义齿的支持和承载装置,作为赝复种植体则是颅颌面赝复体的固位与支持装置。目前,应用于临床的口腔种植材料大致可分为5... 种植牙 速俨 967 2024-03-08
口腔种植治疗后的注意事项是什么 把对人体无害的特殊钛制材料的人工牙齿(种植体)安装在牙齿缺损部位的颌骨在种植体上面做镶牙物,这种特殊的镶牙治疗方法就是种植牙。... 种植牙 公冶乐天 535 2024-02-18
什么是口腔种植学 口腔种植学,就是利用生物材料作成所需形状的植入体种植在口腔内,以重建或修复缺损部分的形态和功能的一门新兴学科,通常包括口腔种植和种植修复两个内容,目前,人工牙根... 种植牙 聊华清 1313 2023-12-25
口腔种植的生物学是什么 牙种植体在临床上不仅广泛地应用于个别牙、部分及全口牙缺失的修复与固位,同时亦用于无牙颌骨萎缩以及颌骨缺损后,骨与咬合的功能性重建与修复治疗。... 种植牙 仪捷 555 2023-12-05
口腔种植体的分类 口腔种植学是一门古老而新兴的学科。随着社会的发展,各种生物材料不断出现,加之生产工艺的更新,技术设备的革命,种植体得到了不断的充实和完善。所采用的材料从金属碳陶... 种植牙 丰尔槐 578 2023-12-05
口腔种植的成功率高吗 口腔种植的失败,可因不同的原因发生在不同的阶段,在追踪统计中,也可因中途失访、死亡等因素而使统计的例数不准确。所以,在统计口腔种植的成功率时,单纯用百分比计算方... 种植牙 范姜英杰 753 2023-11-10