前牙深覆盖的临床表现及治疗原则 前牙深覆盖是指上前牙切缘至下前牙唇面的最大水平距离大于3mm者。是上下牙弓近远中关系的异常,大多开始发生于替牙期和恒牙早期,可能单纯为前牙深覆盖,磨牙关系正常,... 牙齿矫正 仪捷 839 2024-03-14
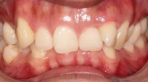
前牙深覆盖的病因是什么 前牙深覆盖有哪些临床表现 前牙深覆盖指上前牙切端至下前牙唇面的最大水平距离超过3mm者,是一种常见的错颌,磨牙关系多为远中颌,并常伴有前牙深覆颌,是典型的安氏Ⅱ类Ⅰ分类错颌。... 牙齿矫正 吴芳芳 854 2023-12-28
前牙深覆盖的病因是什么 前牙深覆盖指上前牙切端至下前牙唇面的最大水平距离超过3mm者。前牙深覆盖是一种常见错颌症状。前牙深覆盖时磨牙关系多为远中,并常伴有前牙深覆颌,是典型的安氏Ⅱ类1... 牙齿矫正 郜清淑 542 2023-12-18
前牙深覆盖的临床表现是什么样的 前牙深覆盖由于病因,机制不同,临床表现也有所不同。单纯性前牙深覆盖,上颌无前突,磨牙关系为中性。上颌前突不明显,下颌后缩,前牙深覆盖。上前牙唇向倾斜、突出,后牙... 牙齿矫正 闾鸿达 519 2023-11-02
引起前牙深覆盖的因素是什么 前牙深覆盖是指上前牙切缘至下前牙唇面的水平距离超过3mm者。前牙深覆盖是一种常见的错颌症状。前牙深覆盖时磨牙关系多为远中关系,并常伴有前牙深覆颌。前牙深覆盖... 牙齿矫正 阙德厚 521 2023-11-02