哪些不良习惯可造成牙颌畸形 产生这种畸形,虽然有的是与遗传、先天因素有关,但大部分是由于后天因素和儿童不良习惯造成的。较为常见的不良习惯有下列10种。... 牙齿矫正 谬长逸 692 2024-04-08
“地包天”是怎么一回事呢 正常的前牙咬合关系,是上牙弓较大,下牙弓较小,上前牙复盖着下前牙的一部分。如果下前牙突出复盖在上前牙的前面,就是人们所说的“地包天”,在医学上称它为前牙反颌。反... 牙齿矫正 厉涵山 592 2024-03-22
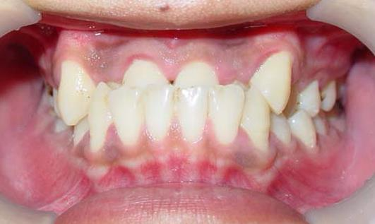
什么是“地包天” “地包天”怎么办 每个儿童的家长都希望自己的孩子长得健康、漂亮而讨人喜欢。可有些儿童下巴前翘或门牙外倾,真是美中不足。这些现象在医学上称为牙颌畸形。... 牙齿矫正 钟苒 587 2024-01-20
错颌畸形如果不矫治会有哪些危害 既然是一种畸形,首先会破坏一个人的容貌,严重的错颌畸形还会使一些患者产生悲观情绪,进而出现心理和精神障碍,也可能对求职、择偶产生负面影响。因为咬合关系异常,还会... 牙齿矫正 速俨 607 2024-01-18
幼儿“地包天”用不用治 幼儿乳牙列(期)反颌,俗称“地包天”,是儿童乳牙列期的一种常见错颌畸形发病率高达14.94%。乳牙反颌对口腔功能、颜面美观和心理健康有较严重影响,并且随患者的... 牙齿矫正 仙千风 532 2024-01-08
孩子的口腔不良习惯必须纠正 在儿童生长发育时期,往往有许多不良习惯,有些不良习惯对牙、颌、面的发育影响很大。如不早期干预,可造成终身的错颌畸形,不仅影响美观,还会影响咀嚼功能因此必须引起家... 牙齿矫正 丰尔槐 755 2024-01-08
不可忽视儿童前牙“地包天” “地包天”又称前牙反颌,是临床上常见的错颌畸形之一。前牙反颌可有个别前牙反颌及多数前牙反颌,可以发生在乳牙期、混合牙列期和恒牙期。一般而言,矫治应越早越好。... 牙齿矫正 鄂昊英 598 2023-12-27
何时矫牙要由正畸医师定吗 一个人要想有一副整齐美观、功能完善的牙齿,应从儿童时期开始定期检查。这样就可以给医生和患者提供一个早期发现问题和早期干预的机会。因此,矫正牙齿的最佳治疗时机应由... 牙齿矫正 所晴丽 565 2023-12-26
孩子面型不好看 原因是什么 “兜齿”“地包天”最易形成孩子的凹面型,反颌畸形患者,常由于面中三分之一发育受限或面下三分之一发育过度,从而形成“月牙状”的侧貌,影响美观和功能。孩子面型凸常由... 牙齿矫正 彤依波 483 2023-12-26
“地包天”的矫治是什么样的 正常的上、下前牙关系是在咬合时上前牙覆盖下前牙牙冠的1/3。如果出现下前牙覆盖上前牙的情况,我们称之为反颌,俗称“地包天”。“地包天”在医学上被分为三类:即功... 牙齿矫正 鄂昊英 537 2023-12-22
前牙反颌是怎么得的 前牙反颌俗称反咬合、兜齿或地包天,可在乳牙期或换牙后形成前牙反颌。是常见的错颌畸形之一。如果不及时矫治,可妨碍面部的正常发育,使上颌的长度发育不足,而下颌过分向... 牙齿矫正 尾秋双 554 2023-12-15
造成错颌畸形的病因是什么 在儿童生长发育过程中,由于遗传、疾病、内分泌障碍、营养不良、功能紊乱、口腔不良习惯、替牙障碍以及一些其他因素的影响,导致牙齿、颌骨、颅面的畸形,称为错颌畸形。... 牙齿矫正 丰尔槐 572 2023-12-13
如何预防“地包天” 儿童牙颌畸形的临床表现多种多样,最常见的是前牙反颌,俗称“地包天”。牙萌出替换异常、上下颌骨的发育问题等也可导致“地包天”。反颌对患者的美观、功能均有很大影响。... 牙齿矫正 鲜清怡 544 2023-11-24
成人也可矫正牙颌畸形吗 成人由于种种原因错过了正畸的最佳年龄,现在只要是牙齿建康,没有严重的牙周病的成人都能做正畸成人正畸也需要尽早做,不要一再错过正畸的年龄。因为随着年龄的增长,随着... 牙齿矫正 素若南 574 2023-11-16
“地包天”是怎样形成的 正常情况下,上前牙位于下前牙的前面。所谓“地包天”是指上下前牙的咬合关系处于相反状态,即下前牙位于上前牙的前面,俗称“兜齿”,医学上叫前牙反颌。这种牙颌畸形对功... 牙齿矫正 钟苒 511 2023-11-10
哪些错颌畸形需要早期矫正 有些家长在孩子换牙初期就会发现孩子某些牙齿不齐,很着急的带孩子来治疗。大部分的错颌畸形都可以等到全部牙换完以后再进行。在换牙的过程中,有时候会出现一些不齐,不要... 牙齿矫正 闾鸿达 585 2023-11-08
孩子“地包天”换牙前需要治疗吗 反颌俗称“地包天”,是口腔门诊常见的一种错颌畸形。很多家长认为孩子“地包天”不用治疗,换牙后就好了。那么“地包天”究竟需不需要治疗?什么时候治疗才是最佳时机呢?... 牙齿矫正 潭韶敏 582 2023-11-08
换完牙再进行牙齿矫正会晚了吗 长期以来,“12岁换完牙再牙齿矫正效果最好”的观点已经在很多民众脑中留下了根深蒂固的印记。其实,这种观点并不完全正确也不适合所有的患者。因为有20%~30%的... 牙齿矫正 朱小溪 521 2023-11-08