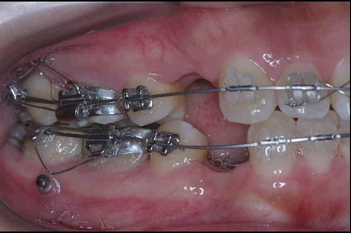
牙齿矫正为什么要打钉子“种植体支抗钉” 首先告诉大家,支抗是一个正畸学的专有术语,通俗地说,就像泊船需要用的锚一样。在常规的正畸治疗中,我们通常是以一颗牙或者一组牙当作锚,去拉另一颗牙齿或者一组我们希... 牙齿矫正 甫环 964 2023-11-08
什么叫种植体支抗 支抗的作用是什么 支抗,Anchorage,中文直译为“锚”。种植体支抗是用微种植钦钉植入骨内,以骨骼作为支抗,可以满足在矫治过程中对支抗的需求。在正畸治疗中,我们需要牙齿的移动... 牙齿矫正 admin 1184 2023-10-20
诺贝尔种植体来自哪个国家及其优势分析 在种植牙领域,诺贝尔种植体是备受关注和认可的品牌之一。了解其来源以及优势,对于需要进行种植牙修复的患者来说具有重要意义。接下来,我们将详细探讨诺贝尔种植体的相关... 种植牙 商清卓 2688 2024-08-13
种植牙期间出现牙龈炎可能会引发哪些并发症? 在种植牙的过程中,牙龈炎是一种可能出现的状况。如果不加以重视和及时处理,牙龈炎可能会引发一系列并发症,给种植牙的效果和患者的口腔健康带来严重影响。接下来,让我们... 种植牙 公冶乐天 1917 2024-08-13
种植牙知识:吸烟会如何影响种植牙的长期稳定性? 种植牙作为一种有效的牙齿修复方法,为许多缺牙患者带来了福音。然而,吸烟这一常见的生活习惯却可能对种植牙的长期稳定性产生不利影响。下面我们将深入探讨吸烟是如何影响... 种植牙 南光耀 2061 2024-08-13
种植牙期间出现牙龈炎怎么处理?怎么预防种牙期间出现牙龈炎? 种植牙是一种常见且有效的牙齿修复方式,但在种植牙期间,可能会出现牙龈炎这一并发症。牙龈炎不仅会给患者带来不适,还可能影响种植牙的进程和效果。下面我们将详细探讨种... 种植牙 充向雪 1681 2024-08-13
种牙小知识:种牙期间要怎么控制牙周炎的病情? 在种牙过程中,对于本身患有牙周炎的患者来说,控制病情至关重要。牙周炎若得不到有效控制,不仅会影响种牙的效果和成功率,还可能给口腔健康带来更多问题。下面我们就来详... 种植牙 仪捷 1680 2024-08-13
种牙小知识:吸烟为什么会影响种植牙的成功率? 在种植牙领域,吸烟是一个备受关注的因素,它对种植牙的成功率有着显著的负面影响。接下来,让我们深入探讨吸烟影响种植牙成功率的原因。一、吸烟对口腔局部环境的破坏影响... 种植牙 仙千风 1517 2024-08-13
种牙后牙龈出血要怎么处理?如何预防种植牙期间的牙龈出血? 种植牙是一种有效的牙齿修复方式,但在种牙后可能会出现牙龈出血的情况,这会让患者感到担忧。了解如何处理种牙后的牙龈出血以及如何预防这种情况的发生,对于患者的口腔健... 种植牙 丰尔槐 1572 2024-08-13
有哪些方法可以帮助患者在种牙后避免感染的发生? 种牙是一种常见且有效的牙齿修复方式,但种牙后存在一定的感染风险。为了确保种牙的成功和口腔健康,采取有效的措施来避免感染至关重要。下面将详细介绍帮助患者在种牙后避... 种植牙 丘乐正 1981 2024-08-13
种植牙失败的原因有哪些?种植牙失败后要怎么处理? 种植牙作为一种较为理想的牙齿修复方式,在为众多患者带来便利和美观的同时,也存在一定的失败风险。了解种植牙失败的原因以及相应的处理方法,对于患者和牙医都具有重要意... 种植牙 guoliangping 2825 2024-08-13
种牙小知识:数字化种植牙技术有哪些优缺点? 随着科技的不断进步,数字化种植牙技术在口腔医学领域得到了广泛的应用,为患者提供了更加精准、高效的种植牙解决方案。那么,数字化种植牙技术究竟有哪些优缺点呢?让我们... 种植牙 厉涵山 1825 2024-08-12