拔牙术后的并发症及防治 尽管拔牙术是口腔颌面外科最常见的手术之一,但是拔牙和一般外科手术一样,不仅能造成局部组织不同程度的损伤,而且还能引起患者全身的生理反应和心理反应,如果术前估计不... 牙齿治疗 充向雪 1437 2024-03-07
拔牙术中常见的并发症及防治 在拔牙过程中,尽量避免过长时间的大张口。如出现颞下颌关节脱位,应立即手法复位。对可能发生下颌骨病理性骨折的病例,术前要拍摄X线片,一旦发生下颌骨骨折,应按下颌骨... 牙齿治疗 仪捷 1470 2024-03-07
拔牙的基本步骤有哪些 牙拔除术是口腔颌面外科门诊最常见的手术,是治疗某些牙病和由其引起的局部或全身一些疾病的手段。在完成拔牙前的准备,局部麻醉显效后,再次核对需拔除的牙齿,让患者有足... 牙齿治疗 令狐逸 640 2024-03-07
拔牙的禁忌症有哪些 牙拔除术是治疗患牙的一种手段,但也是一种迫不得已的手段,在解除患者的痛苦时,也给患者造成了一定的损伤。不少人都尝过拔牙的滋味,拔牙手术虽小,如若不加注意,会惹出... 牙齿治疗 谬长逸 789 2024-02-29
拔牙后可能出现的问题 拔牙后出血的局部因素是术后出血的绝大多因素,牙槽内有异物如残留的炎性肉芽组织、碎骨片等,软组织撕裂,牙槽内血管破裂,创口感染,都会引起出血不止。全身因素如高血压... 牙齿治疗 公冶乐天 637 2024-02-28
什么时候镶牙最合适 有人认为拔完了牙几天后就可以镶牙了,其实应等到拔牙创完全愈合后才行。那么拔牙创是怎样愈合的呢?拔牙后血块充满拔牙窝,牙龈立即内卷使拔牙创缩小,以后从牙槽壁向血块... 牙齿治疗 丘乐正 573 2024-02-28
正畸治疗为何要拔牙 对于大多数必须进行拔牙矫治的病例,最常拔除的牙齿首选第一双尖牙。该牙位于尖牙之后,处于前牙与后牙交界处拔除后的间隙很容易被拥挤或前突的前牙所利用,同时其形态与第... 牙齿矫正 谬长逸 490 2024-02-27
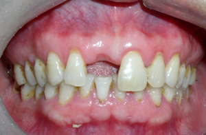
掉牙后要及时镶牙 拔牙或掉牙后不及时镶配假牙,时间长了旁边的两颗牙就会向缺牙处倾斜,缺牙处相对的上(或下)牙会逐渐伸长,这些牙齿的倾斜或伸长会造成它们之间的不正常接触或牙缝变宽,... 牙齿治疗 阙德厚 628 2024-02-27
拔牙的步骤与方法是什么 牙拔除术简称拔牙,是口腔颌面外科最常见的手术,是治疗某些牙病和由此引起的局部或全身疾病的主要手段之一。牙拔除术是治疗患牙的一种手段,但也是一种迫不得已的手段,在... 牙齿治疗 员文石 599 2024-02-26
哪些情况下是需要拔牙的 拔牙的原因是很多的,由于各医院医疗条件以及病人需求的不同,拔牙的适应证也随之变化。目前随着口腔医学各学科的发展,很多病牙都可以经过治疗而得以保留,在确定必须拔牙... 牙齿治疗 充向雪 1846 2024-02-26
拔牙可能会出现哪些问题呢 拔牙是口腔科最常实施的小手术,但有时若不当心同样会造成严重的后果,轻者会给患者带来不应有的损失和痛苦,重者还会危及患者生命。拔牙究竟可能出现哪些问题?... 拔牙 鲜清怡 567 2024-02-22
哪些情况不宜拔牙 一般说,不能治疗的坏牙应该拔掉,再安装假牙。拔牙不是大手术,痛苦不大,也很安全。但个别情况也需要慎重考虑,要选择合适的拔牙时间。某些病人则根本不能拔牙。... 拔牙 丘乐正 667 2024-02-20
拔牙后的修复是什么样的 一般情况下,拔牙后2~3个月装牙比较合适。这是因为拔创口的完全愈合需要有一个过程。在正常的情况下,拔牙后会露出一个牙槽的窝洞(即创口),里面充满了血凝块。... 牙齿治疗 仙千风 544 2024-01-29
拔牙前后的注意事项有哪些 尽管拔牙是口腔颌面外科最常见的手术之一,但是拔牙和一般外科手术一样,不仅能造成局部组织不同程度的损伤,而且还能引起患者全身的生理反应和心理反应,如果术前估计不足... 牙齿治疗 丰尔槐 565 2024-01-29
口腔正畸都需要拔牙吗 不是所有的口腔正畸的患者都需要拔牙矫治,在我国,需要拔牙的正畸患者的比例大概在60%~70%,而在欧美大概在25%。我们属于蒙古人种,与欧美人(高加索人)相比,... 牙齿矫正 聊华清 618 2024-01-26
拔牙后的注意事项是什么 拔牙后在口腔内出现了一个伤口,待麻药的药效消失后,会有一定程度的疼痛。一般拔牙后的3天内疼痛较明显,以后逐渐减轻。如果疼痛一直持续并不断加重就可能发生拔牙创感染... 拔牙 巨伟懋 485 2024-01-20
什么样的牙齿是需要拔除的 一般来说,牙齿不管是发生龋病还是牙周病,原则上都应该尽量保留。但是有些时候,保留牙齿的意义不大,有的甚至会对其他健康牙齿产生不良影响,就只能拔牙了。... 牙齿治疗 充向雪 518 2024-01-16
矫正牙齿为什么需要拔牙 在口腔正畸门诊,医生常常让孩子拔掉完好无损的牙齿,而且大多数情况下是拔掉4颗双尖牙,有时还要拔除4颗阻生的智齿,一下子拔这么多“好”牙,很多孩子和家长都不能... 牙齿矫正 阙德厚 1118 2024-01-09
缺了牙怎么办 人的一生中有两期牙齿,一期是乳牙,一期是恒牙。乳牙的脱落和缺失是很正常的,如果乳牙不脱落反而不正常,因为它会影响到恒牙的生长。恒牙则是人生中永久的牙齿,如果保护... 牙齿治疗 公冶乐天 588 2024-01-04