为什么拔牙后要及时镶牙 牙列缺损后,口颌系统的完整性就被破坏,不仅影响局部,还可影响全身。邻近的牙齿因失去平衡,而向缺牙空位移动和倾斜,相邻的牙齿发生倾斜后,又可影响其他的邻牙。使牙齿... 牙齿治疗 苦冷亦 501 2023-11-17
拔牙后何时镶牙合适 没了牙齿,吃东西肯定不方便,不但影响咀嚼功能还影响美观。一般情况下,拔牙后2~3个月左右装牙比较合适这是因为拔创口的完全愈合需要一个过程。... 牙齿治疗 聊华清 501 2023-11-17
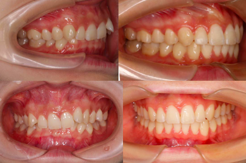
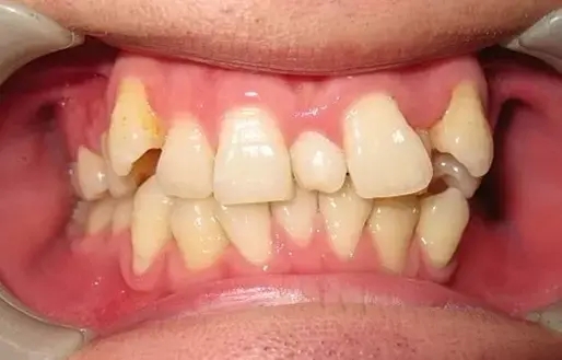
拔牙矫治后会不会遗留下明显的牙缝 会不会使其他牙齿过早松动脱落 正畸拔牙的目的是为了获得间隙,而间隙在矫治的过程中是要被利用的。但事实上每位患者所需要的间隙是不同的,而拔牙往往又必须对称拔牙,一般不能仅在一侧拔牙,更不可能只... 牙齿矫正 所晴丽 534 2023-11-14
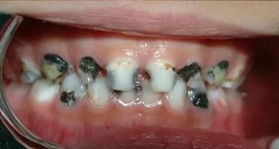
拔牙可能出现哪些问题呢 拔牙是口腔科最常实施的小手术,但有时若不当心同样会造成严重的后果,轻者会给患者带来不应有的损失和痛苦,重者还会危及患者生命。拔牙究竟可能出现哪些问题?哪些反应是... 拔牙 厉涵山 603 2023-11-13
牙齿拔除后有什么注意事项 有些人在拔牙后大松一口气,以为从此相安无事、高枕无忧。但其实,拔牙后也有需要注意的地方。拔牙虽然是小手术,如果不注意保护拔牙后的创口,也会造成一些麻烦。那么,拔... 拔牙 彤依波 517 2023-11-07
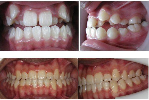
引起牙列拥挤的因素有哪些 牙列拥挤的矫治原则是什么 牙列拥挤是最为常见的错颌畸形,60%~70%的错颌畸形患者中可见拥挤的存在。造成牙列拥挤的直接原因为牙量骨量不调,牙量(牙冠宽度总和)相对大于骨量(牙槽弓总长度... 牙齿矫正 丰尔槐 501 2023-11-03
拔牙是否会影响牙齿的长期健康 有些老人提出“毛发牙齿,受之父母”,在这样现代的社会里,大可一笑置之。尽管如此,公众对拔牙一般多少存在一点心理恐惧,拔牙痛苦吗?拔牙后口腔功能是否有不良影响?几... 拔牙 钟苒 518 2023-10-28
拔牙后为何不能尽快镶牙 很多病人都希望在拔牙后尽快把假牙装上,特别是前牙缺失者要求镶假牙的心情就更加迫切。为了弄清到底什么时候才能镶牙,我们首先来看拔牙后口腔内的变化。... 拔牙 admin 527 2023-10-26
哪些牙颌畸形需要拔牙矫正 口腔正畸患者都需要拔牙吗?不是所有的口腔正畸的患者都需要拔牙矫治,在我国,需要拔牙的正畸患者的比例大概在60%~70%,而在欧美大概在25%。这是什么原因造成的... 牙齿矫正 admin 508 2023-10-24
拔牙后是否应该及时镶牙 一般在什么时间内镶牙比较好 许多人认为拔掉患牙后,只要伤口愈合,就万事大吉。这种认识是不正确的,患牙拔掉以后,在牙列中间留下了空隙,如不及时填补上,那么与被拔掉牙相对的牙齿会因缺乏拮抗力明... 拔牙 admin 634 2023-10-23
拔牙会痛吗 拔牙后应注意哪些事项 提起拔牙,有些病人很恐惧,情绪非常紧张,怕痛或怕拔牙后引起身体其他病变或产生不良后果。其实这是多余的,一般的拔牙手术是不会疼痛的。需要拔牙的人,首先应解除心理恐... 拔牙 admin 1169 2023-10-20
注意不要轻易拔牙 补牙后出现不适应怎样处理 注意不要轻易拔牙,拔牙是口腔科常用的治疗技术,但不可把它看得异常简单而掉以轻心。一个病牙要不要拔掉,应慎重考虑,如果患心血管系统疾病,特别是血液系统全身疾病时更... 牙齿治疗 admin 1051 2023-10-20
矫正拔牙会留下牙缝吗 会影响健康吗 有的患者牙列太拥挤,矫正所需排齐牙齿的空间不够,矫治开始前医生会要求拔除患者的某些牙齿以留出间隙(牙缝 ),这就是矫正拔牙。矫正拔牙不会留下牙缝。... 牙齿矫正 admin 488 2023-10-17
拔牙可以对牙齿矫正的作用是什么 有了拔除牙齿产生的空间,我们就可以自如地(1)矫治拥挤:牙齿存在严重拥挤时,如不拔牙而勉强排齐,则矫治效果不稳定,很容易复发成原来的错殆畸形。(2)矫治面形前突... 牙齿矫正 admin 494 2023-09-22