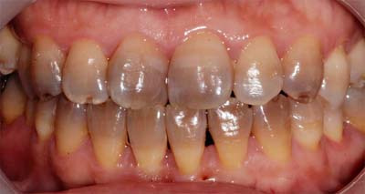
四环素牙的发病机制及临床表现 四环素牙是在牙齿发育矿化期间,机体服用了过多四环素类药物而引起牙齿内源性着色的现象。目前,随着四环素类药物的不良反应被充分认识,使用减少,这类疾病的发病已逐渐减... 牙齿治疗 鄂昊英 2252 2024-04-08
四环素牙是怎样发生的 我们都知道,人的牙齿应该是洁白晶亮的。而有的儿童长了一口黄牙,甚至是灰黑色。这是由于婴幼儿时期或母亲妊娠期与授乳期,服用了过多的四环素类的药而引起的,称为四环素... 牙齿治疗 苦冷亦 744 2024-03-19
氟斑牙和四环素牙能治疗吗 正常的牙齿呈乳白色,有光泽。然而,有些人的个别牙齿或全口牙齿会发生不同程度的变色,如氟斑牙和四环素牙等。这两种病症都不同程度地影响面部的美观,人们对于其能否治疗... 牙齿治疗 钟苒 901 2024-03-13
怎么治疗着色的牙齿 常见的着色牙齿有釉质发育不全、氟牙症、四环素牙和牙髓坏死引起的牙齿变色。因为影响美观,所以是许多人迫切要求解决的问题。随着牙科美容技术的发展,着色牙脱色已不再是... 牙齿治疗 公冶乐天 641 2024-03-12
用药不当导致的口腔疾病有哪些 在牙齿生长发育期间,全身疾病、营养障碍或不恰当用药,均可影响牙齿的正常发育,导致牙齿发生结构、形态或数目等异常。牙齿发育完成并萌出后,某些全身疾病也会损害牙齿,... 牙齿治疗 丘乐正 673 2024-03-07
牙齿贴面修复的治疗原则是什么 重度四环素着色,重度氟斑牙,釉质或牙本质发育不良,漂白方法不能达到目的,可采用酸蚀,粘接技术,在保存活髓,以浅牙或不磨牙的情况下,用修复材料直接或间接粘接贴面恢... 牙齿治疗 申屠亦凝 720 2024-03-01
如何预防变色牙 这里所指的变色牙不包括吸烟、喝茶所引起的牙齿染色,而专指牙齿结构发育异常,主要是在恒牙发育期间,受种种因素的影响,而使牙釉质变色,多见于门牙,若开口一笑,多令人... 牙齿治疗 阙德厚 750 2024-02-29
牙齿的色泽是由什么引起的 牙齿是直接行使咀嚼功能的器官,且与发音、语言及保持面部正常形态均有密切关系。正常的牙齿是洁白、有光泽的,儿童的更是如此。一旦孩子的牙齿变色、变暗、发灰,需引起家... 牙齿治疗 仪捷 659 2024-02-28
为什么四环素能引起牙齿变色 四环素是一种常见的广谱抗菌素。在小儿生病时较常使用。有些家长,只要看到孩子发烧,不管生了什么病,都用四环素,这是很不合适的。滥用四环素会对身体造成不良影响,特别... 牙齿治疗 苦冷亦 792 2024-02-27
怎样能使牙齿美白 有些人本身牙齿颜色还不错,但是随着年龄的增长牙齿逐渐变黄或者发暗,而有的人是牙齿本身偏黄或者有四环素、氟斑牙等。那么针对不同原因引起的牙齿变色,应该用怎样的办法... 牙齿美白 闾鸿达 610 2024-01-05
四环素牙是什么 四环素类药物包括四环素、金霉素、土霉素和强力霉素等,是一类广谱抗菌素,曾被广泛用于临床治疗感染性疾病。当时人们没有发现它对牙齿有什么不良影响,等到70年代末... 牙齿治疗 所晴丽 616 2023-12-28
怎样的牙齿才是美丽的 大家都知道,口腔颌面部是人类容貌的敏感区域之一,牙齿的健康美丽,直接关系到人的容貌美和整体美。那么,究竟什么样的牙齿才是健康美丽的呢?... 口腔资讯 南光耀 660 2023-12-26
牙色异常的病因有哪些 良好的色泽是构成牙美感的一个重要因素正常牙的颜色是由表层的牙质和釉质层下的牙本质颜色构成的。牙质是一种半明的化组织覆盖在牙冠部表面,呈乳白色和淡黄色。其颜色不同... 牙齿美白 捷思若 636 2023-12-25
牙齿变色的临床表现是什么 正常牙齿为有光泽的黄白色,因身体和(或)牙内发生改变所致的颜色或色泽的变化称为牙齿变色,又称为内源性牙齿着色。牙齿变色包括局部因素造成的个别牙齿变色和全身因素引... 口腔资讯 聊华清 714 2023-12-06
冷光漂白牙齿效果如何 冷光美白属于氧化漂白,其原理是将波长介于480~520nm之间的高强度蓝光,经由12000多根、总长度超过1英里(1.6093km)的光纤传导,再通过两片... 牙齿美白 阙德厚 641 2023-11-24
“黑牙”怎么办 整齐洁白的牙齿能给人增添几分美,但有些人却由于黄褐色或发黑的牙齿使容颜大为减色。常见的牙齿发黑的原因是什么?治疗牙黑的方法又有哪些呢?... 牙齿美白 速俨 618 2023-11-24
什么是四环素牙 治疗四环素牙的原则是什么 在牙齿发育矿化期间,即胎儿期或婴幼儿期,由孕妇或婴幼儿口服或注射了四环素类药物,如四环素、土霉素、金霉素等,可产生一种叫四环素钙正磷酸盐的复合物,使儿童牙齿改变... 口腔资讯 admin 530 2023-10-21