为什么拔了牙后要及时镶牙 许多人认为拔掉患牙后,只要伤口愈合,就万事大吉。这种认识是不正确的:患牙拔掉以后,在牙列中间留下了空隙,如不及时填补上,那么与被拔掉牙相对的牙齿会因缺乏拮抗力,... 牙齿治疗 素若南 1700 2024-04-09
种植义齿的适应证有哪些 种植手术的目的是为义齿修复提供支持和固位。随着医学技术的进步,除少数绝对禁忌证外,相对禁忌证在疾病治愈或控制后仍可接受种植手术。患者健康,牙槽嵴有足够的高度和宽... 种植牙 仙千风 644 2024-03-07
种植牙的并发症和失败原因是什么 种植牙不仅成功地应用于全口牙列缺失的修复,而且由于骨移植技术的不断成熟和完善,使局部牙列缺损或单个牙缺失的种植修复愈加成熟。... 种植牙 彤依波 681 2024-03-06
如何快速适应你的活动义齿 假牙在口腔里总不像真牙那样运用自如,尤其是活动假牙,在开始佩戴时,必须有一个适应过程。有不少人刚装上假牙,稍感不适就失去信心,不愿继续练习使用。时隔不久,邻近的... 牙齿治疗 苦冷亦 1100 2024-02-29
种植修复后的常见问题及其处理 种植义齿是由人工种植体及其支持的义齿部分组成的新型口腔修复体,其修复方法与传统义齿迥乎不同。随着骨内种植体的临床应用效果得到世界广泛范围内的长期实践验证,现在种... 种植牙 速俨 704 2024-02-29
牙齿修复前准备与处理 确定治疗计划时应充分了解患者就诊的目的和要求,让患者了解自己口腔实际情况及其可以采取的哪些修复方法,所需时间和费用,征得患者的认可和配合以后方可进行。虽然用于口... 牙齿治疗 闾鸿达 821 2024-02-29
种植义齿的适应证是什么 种植手术的目的是为义齿修复提供支持和固位。随着医学技术的进步,除少数绝对禁忌证外,相对禁忌证在疾病治愈或控制后仍可接受种植手术。患者健康,牙槽嵴有足够的高度和宽... 种植牙 充向雪 582 2024-02-23
镶烤瓷牙需防假牙过敏 目前,口腔内个别和数个牙缺失等修复装牙,通常采用固定式烤瓷牙修复。烤瓷牙已被越来越多的人接受。烤瓷牙不仅给人们带来与真牙功能相当的咀嚼效力,而且外观上也可与真牙... 烤瓷牙 谬长逸 682 2024-01-31
儿童多生牙的拔除要点是什么 多生牙在前牙区常常造成恒牙萌出受阻,牙齿扭转或牙间隙等错颌畸形。对多生牙进行及早诊断和拔除,是预防这类畸形或矫正畸形的必要措施。个别埋伏多生牙对牙齿萌出,排列及... 牙齿治疗 申屠亦凝 674 2024-01-25
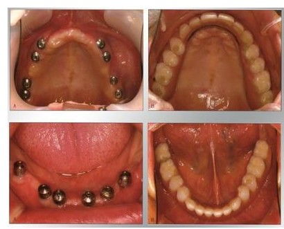
种植牙的适应证有那些 由种植体支持与固位的义齿称为种植义齿。种植义齿修复的出现具有划时代的意义,使口腔修复,特别是口腔固定修复的范围得到了巨大的扩展。种植义齿与常规义齿的根本区别在于... 种植牙 笪冰夏 536 2024-01-06
活动义齿宜经常保养 活动义齿,又称“活牙”,是利用天然牙和基托在覆盖的黏膜、骨组织作支持,靠义齿的图位体和基托围位,使佩带者能自由取戴的一种修复体活动假牙,一般都用塑料和全属支架等... 牙齿治疗 巨伟懋 685 2023-12-27
什么样的缺牙可做种植牙 是否首选 种植牙是利用能与人体的骨长在一起的人工材料做成的牙根植入到人的颌骨中,等愈合后再做上人工假牙它不像种庄稼一样撒上种子长出牙。一般现在常用的多是两次手术种植牙,首... 种植牙 捷思若 523 2023-12-27
种植义齿成功的要素有哪些 种植义齿是涉及多学科的系统工程,就像盖一幢大楼任何质量问题都将导致大楼倒塌一样,必须严格要求每一个环节,才能达到种植义齿的长期使用。... 种植牙 甫环 501 2023-12-25
人工牙种植的术前检查 人工牙种植是一种新的修复方法,牙种植术的目的是将适宜的种植体植人到组织内使种植体与周围的组织产生生物结合,从而为修复体提供支持,起到人工牙根的作用。然后在此基础... 种植牙 朱小溪 509 2023-12-07
缺牙修复的高新技术--人工种植牙 人工种植牙,又称人体的第三副牙齿。有些人认为,人工种植牙是把“一种东西”种进去后会自己长出来,其实不是这样的:人工种植牙是将一种生物材料(钵、生物陶瓷等)制成... 种植牙 鲜清怡 588 2023-11-16
局部种植牙是怎么样的 单个牙缺失的种植义齿类似核桩冠修复,基桩经过修磨后形似核的形态,或者是在基桩上完成铸造内冠,采用基桩外固位或者螺栓固位的方法固定外层冠。... 种植牙 巨伟懋 537 2023-11-15
人工种植牙是什么做的 种植牙的适应人群有哪些 种植牙并不是真正地播种出一颗天然牙齿,而是通过一个小手术在牙槽骨内植入人工牙根,等待3~6个月人工牙根完全长牢之后,在其上制作烤瓷(或全瓷)牙冠,恢复缺失牙。这... 种植牙 商清卓 1082 2023-11-11
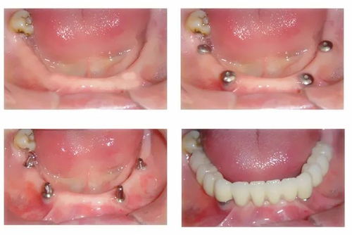
牙缺失的数量对种植体的选择有影响吗 当天然牙缺失较少时,适合采用固定种植义齿。完全由种植体支持的固定局部义齿较理想,因有较多的种植体作为固位体,可减少支持骨的压力,增加种植体和修复体的寿命。牙缺失... 种植牙 壬以松 515 2023-11-03
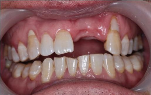
牙缺失的常见原因有什么 不同位置的牙缺失怎么选择种植体 牙缺失的位置不同,种植治疗的侧重点也不一样。前牙缺失时,在恢复功能的同时,应多考虑美学方面的问题;后牙缺失的种植治疗则重点在功能重建。... 种植牙 员文石 506 2023-11-03