拔牙后骨尖是如何形成的 应如何处理 正常人的牙列中不会有骨尖,但为什么一旦牙被拔除后会“长出”骨尖呢?骨尖是牙槽骨的一部分,牙槽骨是上下颌骨包围牙根周围的突起部分,两牙之间的牙槽骨叫牙槽间隔;各牙... 牙齿治疗 仪捷 1587 2024-01-02
长了虎牙怎么办 正常的恒尖牙在牙列中与中切牙、侧切牙一起排列成和谐的牙弓弧形。当恒尖牙向唇侧错位萌出时,尤其是上颌恒尖牙使上唇近口处特别突起,与虎、猫尖牙的样子很相似,所以一般... 口腔资讯 吴芳芳 991 2023-12-29
儿童拔牙应注意哪些问题 儿童拔牙有一些特殊问题要注意。儿童在6~12岁之间是处于换牙期,乳牙的脱落和恒牙的萌出是有一定的时间和顺序的。而且乳牙牙根的吸收和恒牙的萌出密切相关,恒牙接... 牙齿治疗 尾秋双 557 2023-12-28
拔牙后的注意事项有哪些 拔牙是口腔外科治疗中最常见的小手术,用来治疗折裂牙、重度牙周炎、阻生牙等疾病。拔牙后一般不影响工作,可以照常上班,但是不要从事重体力劳动。拔牙术后创口愈合过程可... 拔牙 所晴丽 596 2023-12-27
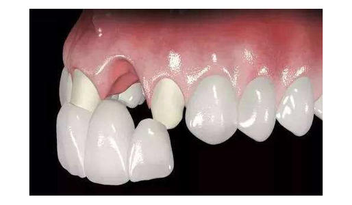
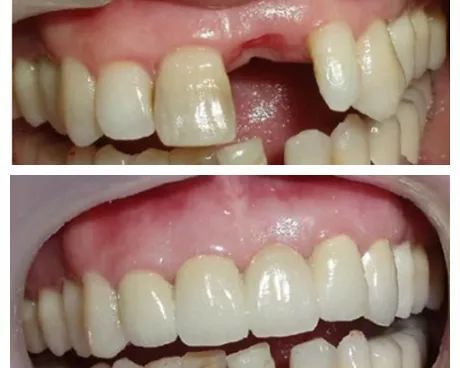
拔牙后不镶牙会有什么影响 几乎所有的拔牙病人都会问:拔牙以后何时镶牙?镶什么样的牙?如果要做一个临时的假牙,那么在你拔牙前后都可以取模进行假牙制作。如果想拔牙后马上戴牙就要在拔牙前取模型... 牙齿治疗 柯泰和 974 2023-12-27
镶全口义齿需做哪些准备 当年龄较大、坏牙多、松动牙多、缺牙多,常想把剩下的牙全拔了,镶一副全口义齿。这一般要经过思想准备、咨询医师、口腔准备、经济准备,最后镶全口义齿几个阶段。... 牙齿治疗 范姜英杰 661 2023-12-25
镶牙前应该做那些准备工作 镶牙前应该做一些必要的准备工作。口腔卫生不良,存在大量的牙结石,戴上假牙后必定会更加刺激牙龈,加重牙龈炎的程度,这不仅会造成牙龈萎缩,而且会使取模时印模不准确,... 牙齿治疗 公冶乐天 687 2023-12-23
拔牙后应该注意什么 牙齿拔除后,应遵照医嘱咬紧棉花或纱布,过半个小时以后吐掉棉花或纱布,两个小时以后再进食。咬棉花和纱布是为了压迫止血,而过长时间的咬棉花纱布,会阻碍血块的形成。... 牙齿治疗 仪捷 620 2023-12-23
什么样的牙齿需要拔除 一般来说,牙齿不管是发生龋病还是牙周病,原则上都应该尽量保留。但是有些时候,保留牙齿的意义不大,有的甚至会对其他健康牙齿产生不良影响,就只能拔牙了。... 牙齿治疗 仪捷 511 2023-12-23
牙齿拥挤的矫治是什么样的 单纯的牙齿拥挤一般指磨牙的咬合关系为正常,而前牙出现拥挤或参差不齐的情况。所以矫治这类病例,一般不用考虑后牙的矫治关系,只要解决前牙拥挤的问题就可以了。就是说只... 牙齿矫正 苦冷亦 586 2023-12-21
镶牙该注意些什么 牙齿是人体的重要器官之一。一副健康的牙齿不但能帮助咀嚼和发音正确,还具有使颌骨发育和端正面貌等作用。但是,当人体因患牙病或外伤缺失了真牙以后,它将破坏以上功能,... 牙齿治疗 公冶乐天 618 2023-12-19
牙齿矫正的3个误区 很多人只知道牙齿排列不齐会影响美观和咀嚼功能但往往忽视了牙齿排列不齐对心理健康的影响。排列整齐的牙齿会让我们在人际交往的过程中充满自信,而在日常生活中常常可以看... 牙齿矫正 丰尔槐 518 2023-12-07
拔牙前后的注意事项 拔牙本身可导致软组织或硬组织的创伤,很多拔牙是在已有感染的组织上进行的,因此,能引起不同程度的全身反应或并发症。多颗牙拔除或拔牙的创口过大,有时也可引起全身疾病... 牙齿治疗 仙千风 575 2023-12-06
哪些情况下需要拔牙 拔牙的原因是很多的,由于各医院医疗条件以及病人需求的不同,拔牙的适应证也随之变化。目前随着口腔医学各学科的发展,很多病牙都可以经过治疗而得以保留,在确定必须拔牙... 牙齿治疗 丰尔槐 522 2023-12-06
如何早期治疗牙列拥挤 牙列拥挤是比较常见的错颌畸形,下颌的切牙萌出后出现拥挤,患儿的父母往往要求马上治疗。对于混合牙列期的拥挤应请口腔正畸专科医师进行治疗。... 牙齿矫正 谬长逸 581 2023-11-30
为什么有些错颌畸形病人需要拔牙 人类进化过程中咀嚼系统有减弱的趋势,遗传又使个体表现出特定的颅面生长类型,这两者都是很难改变的。有某些环境问题造成的牙颌面部问题,如果没有得到及时的引导和控制,... 牙齿矫正 丘乐正 509 2023-11-29
正畸中减数拔牙时应考虑的因素 在进行牙颌畸形的矫治设计时,拔牙是一个经常面临的问题,也是一个使人感到为难和容易引起争议的问题。安格曾认为通过扩弓可刺激颌骨生长、为牙列的排齐创造足够的间隙、达... 牙齿矫正 公冶乐天 732 2023-11-27