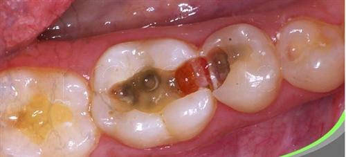
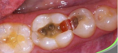
深龋该如何治疗 与浅龋和中龋相比较,深龋的治疗有其特殊性。由于龋损已达牙本质深层,治疗时可根据牙体组织破坏程度、牙髓的状态及其修复能力确定治疗方案。原则上要求尽可能去除龋坏组织... 牙齿治疗 池醉香 1176 2024-04-09
深龋的治疗原则是什么 深龋发展到达牙本质深层时,牙髓容易被外界物理、温度、化学变化和龋坏牙本质的细菌和代谢产物刺激,牙髓常有一定的炎症反应。如能去除刺激,牙可恢复正常。治疗深龋时,处... 牙齿治疗 阙德厚 1504 2024-04-08
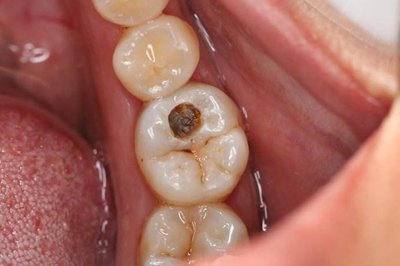
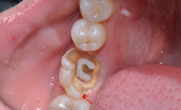
龋齿龋坏的程度怎么分 龋病的形成首先是牙釉质磷灰石晶体的破坏,使得透明而有光泽的釉质变混浊呈现出白垩色斑病变范围逐渐扩大并向深层发展,使牙本质脱钙变软。食物与细菌代谢产生的色素连同牙... 牙齿治疗 朱小溪 1138 2024-03-23
龋病按病变程度怎么分类 龋病是发生在牙体硬组织上慢性、进行性破坏的细菌性疾病。临床表现为牙体硬组织色、形、质各方面发生变化,随着硬组织脱矿和有机物分解的进行,最终牙体组织崩解形成不可自... 牙齿治疗 范姜英杰 914 2024-03-11
牙齿充填时的并发症及处理 充填术是治疗龋病的有效方法。在治疗过程中,根据患牙龋损的具体情况,作出正确的诊断和相应的治疗方案,按照正规程序进行处理,一般情况下,是不会出现问题的。如诊断不正... 牙齿治疗 捷思若 1393 2024-03-06
龋齿的发展是怎么样的 龋齿病程进展缓慢,不危及生命,常不被人们重视。龋齿得不到及时、彻底的治疗,任其发展,可发生牙髓组织、根尖周组织的病变,甚至引起颌面部严重的并发症。为此要积极治疗... 牙齿治疗 苦冷亦 589 2024-03-05
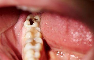
龋齿的临床表现是什么 牙齿由三层硬组织及包绕在其中的软组织构成,硬组织共有三种--牙釉质、牙本质及牙骨质。牙釉质是牙齿的最外层半透明的白色硬组织,钙化程度最高、最坚硬,厚2~2.5毫... 牙齿治疗 鲜清怡 591 2024-02-27
深龋治疗要点是什么 深龋的治疗除了依据龋病的治疗原则之外,必须正确认识深龋对牙髓组织可能产生的影响。深龋对牙本质-牙髓复合体的影响虽然早在釉质龋时,牙髓就开始出现反应,但直到龋损前... 牙齿治疗 阙德厚 553 2024-01-26
龋齿治疗都有哪些方法 龋齿是一种慢性进行性疾病,一旦发生龋齿,不能自行修复,需进行治疗。龋病治疗的目的在于终止病损的发展,保护牙髓,并利用材料恢复牙齿的形态及功能。龋齿治疗的方法包括... 牙齿治疗 仪捷 761 2024-01-08
怎么样才能预防龋齿 浅龋和中龋如果及时治疗,一般预后良好。而深龋的预后取决于治疗是否及时和适当,以及治疗时的牙髓状态。如果治疗适当,患牙预后良好。在操作过程中不要过分刺激牙髓或伤害... 口腔资讯 公冶乐天 565 2023-12-15
龋病的治疗方法是什么 牙齿硬组织破坏后,缺乏再生能力,一般需人工修复。治疗的目的在于停止病变的发展,并利用充填材料充填窝洞,恢复牙齿的外形和功能,保护牙髓的正常活力,维护牙列的完整。... 口腔资讯 充向雪 582 2023-12-15
深龋的治疗方法 深龋的治疗方法,应有利于增强牙髓的防御能力,消除牙随早期炎症,保护牙髓的功能。在治疗过程中要特别注意避免物理性刺激,如机械损伤、摩擦产热、冷水激,也应避免化学性... 牙齿治疗 速俨 620 2023-12-01
深龋的治疗方法有哪些 去净龋坏组织是龋病治疗原则,但应尽量不穿通牙髓,特别是在急性龋时,牙本质脱矿过程进展快,病变组织中细菌侵入相对较浅,去腐质时不必将所有的软化牙本质去净,但洞侧壁... 牙齿治疗 富南烟 665 2023-11-27
龋齿的诊断和鉴别诊断 一般说来,浅龋和中度龋的诊断并不困难,根据龋洞深度,结合平时症状和探查时的反应即可基本确诊。对于隐匿性的龋坏,如邻面龋、颌面潜行性龋等,只要认真检查,并配合X线... 牙齿治疗 壬以松 997 2023-11-27
龋齿的分类有哪些 按病变深度分类根据病变深度可分为浅龋、中龋和深龋。这一分类方法在临床上最为适用。牙骨质龋多表现为潜掘性龋或表层剥脱,由于牙骨质较薄,尤其是牙颈部,因此病变可很快... 牙齿治疗 吴芳芳 726 2023-11-27