牙科知识:一颗牙齿的松动会引起其他牙齿松动吗? 在口腔健康领域,牙齿松动是一个常见但又令人担忧的问题。很多患者会有这样的疑问:一颗牙齿的松动会引起其他牙齿松动吗?下面我们就来深入探讨这个问题。一、牙齿松动的原... 口腔资讯 公冶乐天 1589 2024-07-30
牙齿松动能做烤瓷牙吗?烤瓷牙使用时间久了需要更换吗? 在牙科领域中,患者常常会面临一些关于牙齿状况和修复方式的疑问。其中,牙齿松动是否能做烤瓷牙以及烤瓷牙使用一段时间后是否需要更换等问题备受关注。下面我们将深入探讨... 烤瓷牙 厉涵山 1199 2024-06-04
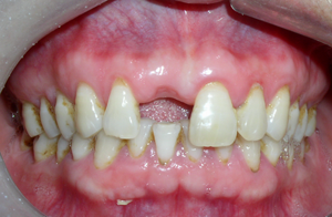
引起牙齿松动的原因是什么 牙齿在生理状态下有一定的松动度,主要是水平向,也有极微小的轴向松动度,均不超过0.02mm,临床上不易觉察。在病理情况下,牙齿松动超过生理范围,这是牙周炎的主要... 牙齿治疗 郜清淑 732 2024-04-08
青少年牙周炎怎么治疗 青少年牙周炎是指发生在青少年时期的一种特殊类型的牙周炎。病情发展较快,病因尚未完全清楚。局部因素主要为特异性细菌的感染。全身因素主要是机体防御能力缺陷,特别是患... 牙齿治疗 令狐逸 637 2024-03-18
牙齿松动是不是就要拔掉 牙齿松动有生理性的也有病理性的。乳牙、恒牙替换的时候,乳牙牙根开始吸收这时出现的松动属于正常的生理现象。换了恒牙后,正常牙齿不会松动,发生松动基本上就是病理性的... 牙齿治疗 素若南 692 2024-03-15
牙床鼓了个包儿是怎么了 自己突然发现在牙齿舌侧或唇侧的牙龈上形成了椭圆形或半球形突起,伴有牙龈疼痛、肿胀、色泽改变,感觉牙齿浮出并且松动,最后鼓包自行溃破或者脓液从牙周袋流出来。这是典... 牙齿治疗 笪冰夏 562 2024-03-15
对牙齿松动该怎么诊断 牙齿借助于牙周膜与牙槽骨紧密相连,正常情况下,牙齿稳固,并无临床可察觉的动度,只有当牙周组织已经出现病变或病变发展到一定程度时,牙齿才会出现松动。牙周炎是牙齿松... 牙齿治疗 申屠亦凝 1603 2024-03-06
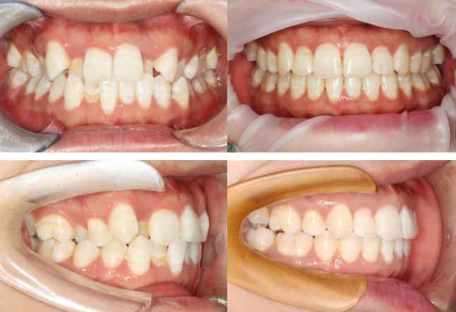
正畸治疗会有什么风险 近些年来,成年人错颌畸形要求正畸治疗者逐年增多。理论上讲,成年人正畸与儿童正畸是一样的,但因成年人多有不同程度的牙齿、牙周问题,并且成年人牙槽骨和颌骨几乎没有生... 牙齿矫正 郜清淑 697 2024-03-05
牙齿松动的主要原因是什么 牙周病发展到一定阶段会产生牙齿松动,但引起牙齿松动的绝非只有牙周炎,而重视牙齿松动的治疗不仅仅只是针对保存咀嚼器官而言,更是维护全身健康。... 口腔资讯 阙德厚 747 2024-01-30
牙齿排列不整齐的严重性 牙科的矫正治疗,主要是检查、预防和改正牙齿的不正常咬合或咬合上的缺陷。也就是说当上、下颚骨闭合时,上、下牙床的牙齿不能恰当地对合,就需要接受矫正治疗。一般来说牙... 牙齿矫正 速俨 609 2024-01-22
矫正牙齿为什么需要拔牙 在口腔正畸门诊,医生常常让孩子拔掉完好无损的牙齿,而且大多数情况下是拔掉4颗双尖牙,有时还要拔除4颗阻生的智齿,一下子拔这么多“好”牙,很多孩子和家长都不能... 牙齿矫正 阙德厚 1118 2024-01-09
矫正牙齿后有不良后果吗 很多人想矫正牙齿,但又担心牙齿矫正时会把牙齿弄坏,担心牙齿矫正过程中或矫正之后出现一些不良后果。矫正牙齿确实会对口腔健康产生一些影响。主要有以下几方面。... 牙齿矫正 鲜清怡 1010 2024-01-09
洁牙会使牙齿变松吗 到医院看牙,医生常会发现一些患者牙结石较多,医生建议其洁牙,但患者常常不能接受,他们会认为洁牙后,牙齿就变得松动了,洁牙是不会使牙齿松动的。... 口腔资讯 苦冷亦 542 2024-01-05
松动的牙齿可以固定吗 牙齿生长在颌骨的牙槽窝内,保持正常位置,不发生松动,这是由于有健康的牙周膜、牙槽骨及牙骨质等牙周组织当牙齿患牙周病后,如果不早期进行治疗,牙龈的炎症继续发展,导... 口腔资讯 南光耀 599 2024-01-02
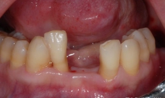
镶牙前应做些什么准备工作 牙齿缺失后,都迫切地希望能早日镶上一副合适的假牙为了能得到良好的修复效果,在镶牙前应做准备。首先看缺牙处伤口是否完全长平。一般在拔牙后2~3个月伤口基本长平,... 牙齿治疗 仙千风 532 2024-01-02
正畸治疗中的牙齿松动是什么 在使用固定矫治器的正畸治疗中,患者都会出现不同程度的牙周健康问题,最常见的是牙龈炎症,严重者也可出现牙齿松动、甚至造成牙齿脱落。这些表现可为正畸过程中暂时的现象... 牙齿矫正 甫环 549 2023-12-28
年纪大了,牙齿就会松动吗 有许多人认为老人牙齿松动脱落是自然现象,防也无用,治也无益,但事实并非如此,牙齿只有在病理状态下才可出现松动,不单是老年人,其他年龄的人也可能牙齿松动。牙齿犹如... 口腔资讯 鲜清怡 535 2023-12-27
牙齿松动的原因是什么 牙齿借助于牙周膜与牙槽骨紧密相连,正常情况下,牙齿稳固,并无临床可察觉的动度,只有当牙周组织已经出现病变或病变发展到一定程度时,牙齿才会出现松动。牙周炎是牙齿松... 口腔资讯 聊华清 542 2023-12-12
正畸矫治不良作用的表现有哪些 众所周知,在牙齿生理性移动期间,牙体牙周组织是没有损害的。施以合适的矫治力,牙齿就会逐步移到预期的位置。但在临床上,也经常发现,在牙齿移动过程中出现一些不良反应... 牙齿矫正 尾秋双 2463 2023-12-08