上颌门牙靠不拢是因为什么 儿童7~8岁时,长出上颌恒中切牙,8~9岁时,长出上侧切牙。有的儿童在上中切牙长出后,常在2个中切牙之间有一条1~2mm宽的牙缝。它既影响发音又影响美观。... 牙齿矫正 范姜英杰 790 2024-04-08
正畸病人照X线片有什么作用 正畸患者在正畸治疗的前、中、后应做一般的X线片检查分析,目的是了解牙、颌、关节及生长发育状况,以帮助作出正确的诊断和治疗方案。常用的X线片检查有牙片、咬片、颞下... 牙齿矫正 仙千风 835 2024-04-07
儿童多生牙的拔除 多生牙在前牙区常常造成恒牙萌出受阻,牙齿扭转或牙间隙等错颌畸形。对多生牙进行及早诊断和拔除,是预防这类畸形或矫正畸形的必要措施。... 牙齿治疗 公冶乐天 882 2024-03-25
多生牙及多生牙的处理 多生牙是在正常的牙齿之外多长出的牙齿,常见于上颌前牙区。这些牙齿不仅有碍美观还会妨碍其他牙齿的健康和萌出影响牙齿的正常排列妨碍口腔的咀嚼功能,应拔掉。多生... 牙齿治疗 范姜英杰 970 2024-03-19
影响牙齿萌出异常的常见因素是什么 牙齿的萌出是儿童颌面部发育的生理过程之一,萌牙的部位会出现一些生理现象。当牙冠长到牙龈下时,先将被覆的牙龈顶起,形成龈隆起,而后突破牙龈长出来。牙齿的萌出时间提... 牙齿治疗 鲜清怡 836 2024-03-13
影响牙齿美观的因素有哪些 影响牙齿美观的因素主要牙体病,如龋齿、牙折、楔状缺损等。牙齿结构异常,如釉质发育不全、氟斑牙、过小牙、畸形牙、融合牙、多生牙或缺额牙等,可使牙齿排列不齐。以上这... 牙齿治疗 甫环 859 2024-03-01
哪些情况下是需要拔牙的 拔牙的原因是很多的,由于各医院医疗条件以及病人需求的不同,拔牙的适应证也随之变化。目前随着口腔医学各学科的发展,很多病牙都可以经过治疗而得以保留,在确定必须拔牙... 牙齿治疗 充向雪 1844 2024-02-26
儿童乳牙龋病的预防原则是什么 有的小朋友牙齿烂了,出现了一阵阵的疼痛,有时半边脸都疼,分不清是哪颗牙齿疼,尤其是晚上更为严重,常常坐立不安,难以人睡。这是因为细菌和毒素通过龋坏的牙组织影响到... 牙齿治疗 吴芳芳 1001 2024-02-23
儿童多生牙的拔除要点是什么 多生牙在前牙区常常造成恒牙萌出受阻,牙齿扭转或牙间隙等错颌畸形。对多生牙进行及早诊断和拔除,是预防这类畸形或矫正畸形的必要措施。个别埋伏多生牙对牙齿萌出,排列及... 牙齿治疗 申屠亦凝 672 2024-01-25
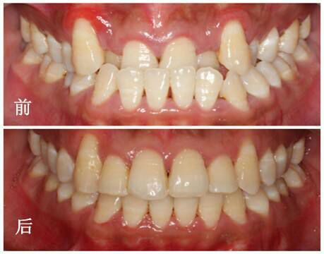
哪些原因可以造成错颌畸形 错颌畸形的形成因素及其机制是错综复杂的。其发生的过程可能由单一因素或单一机制在起作用,但也可能是多种因素或多种机制共同作用的结果。这些因素影响到颌面部的骨骼、神... 牙齿矫正 壬以松 532 2024-01-18
儿童拔牙应注意哪些问题 儿童拔牙有一些特殊问题要注意。儿童在6~12岁之间是处于换牙期,乳牙的脱落和恒牙的萌出是有一定的时间和顺序的。而且乳牙牙根的吸收和恒牙的萌出密切相关,恒牙接... 牙齿治疗 尾秋双 557 2023-12-28
多生牙该怎么办 正常人的恒牙是28~32个,凡超过此数而额外长出来的牙,医学上称为“多生牙”,它是由牙胚发生时期发育异常或遗传因素所致。多生牙生长无确切时间,也可能一直长不出而... 口腔资讯 柯泰和 606 2023-12-26
上颌门牙靠不拢是怎么回事 儿童7~8岁时,长出上颌恒中切牙,8~9岁时,长出上侧切牙。有的儿童在上中切牙长出后,常在2个中切牙之间有一条1~2mm宽的牙缝。它既影响发音又影响美观。... 口腔资讯 潭韶敏 659 2023-11-16
造成错颌畸形的原因是什么 牙齿不齐又称错颌畸形,是指儿童在生长发育过程中由先天的遗传因素或后天的环境因素,如疾病、口腔不良习惯、替牙异常等导致的牙齿、颌骨、颅面的畸形,主要有牙齿排列不齐... 牙齿矫正 仪捷 577 2023-11-07
埋伏牙如何进行正畸治疗 多生牙如何进行正畸治疗 牙齿埋伏阻生主要有两种原因,一是因该牙萌出时牙列间隙不足或已完全无间隙;另一原因是牙胚在发育过程中因某些原因而发生位置和方向的异常。牙齿埋伏不但因牙数不足而影响... 牙齿矫正 admin 587 2023-10-26