什么时候矫治错颌畸形比较合适 要了解小儿牙颌畸形的矫治时机,先要知道人的牙齿发育过程有三个阶段。一是乳牙期,6个月至6~7岁;二是混合牙期,6~7岁起至12岁左右;三是恒牙期,自12岁左右起... 牙齿矫正 员文石 559 2024-03-22
牙颌畸形会有哪些危害 有人说,牙颌畸形不就是牙齿长得不整齐,影响美观吗?有人还说,牙齿长得有点不齐又有什么关系,只要吃饭没有影响就行了。这些说法是不对的。牙颌畸形除不美观外,对局部的... 牙齿矫正 柯泰和 782 2024-03-20
牙列不齐的矫正需要进行哪些检查 在正式开始做矫正治疗前,医师首先需要了解患者哪里存在畸形,所以必须取得一些患者有关的情况称为病例资料。要对患者作出全面的分析和诊断,医师需要了解每个患者各种不同... 牙齿矫正 范姜英杰 686 2024-03-05
暂时不需矫正的牙列不齐有哪些 儿童替牙期称为过渡牙列期(混合牙列期),口腔内有乳牙也有恒牙,刚替换的牙齿与原有的到牙很不协调,很难看,常称之为“丑小鸭期”。这一时期一些牙列的暂时不齐,会随着... 牙齿矫正 钟苒 555 2024-01-30
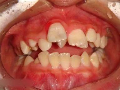
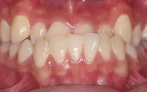
需要矫正的牙列不齐有哪些 牙列不齐对人的生理、心理都会带来相当程度的影响。排列不齐的牙齿刷牙不易清洁常造成食物残渣滞留,容易发生龋病、牙龈炎和牙周炎,严重的可导致牙齿松动脱落。排列不齐牙... 牙齿矫正 闾鸿达 585 2024-01-30
牙齿排列不整齐的严重性 牙科的矫正治疗,主要是检查、预防和改正牙齿的不正常咬合或咬合上的缺陷。也就是说当上、下颚骨闭合时,上、下牙床的牙齿不能恰当地对合,就需要接受矫正治疗。一般来说牙... 牙齿矫正 速俨 609 2024-01-22
什么是牙列不齐 牙列不齐又称错颌畸形,是指儿童在生长发育过程中由于先天的遗传因素或后天的环境因素,如疾病、口腔不良习惯、替换牙异常等导致的牙齿、颌骨、颅面的畸形。... 牙齿矫正 仪捷 1074 2024-01-16
形成牙列不齐的原因是什么 形成牙列不齐的原因很多而且复杂,其发生的过程可以是由单一因素或单一机理在起作用,也可以是两种以上的多种因素或多种机理共同起作用的结果。归根结底,不外乎遗传性和获... 牙齿矫正 令狐逸 899 2024-01-16
牙颌畸形是怎样的 牙颌畸形是指儿童在生长发育过程中由先天遗传因素或后天的环境因素造成的牙齿、颌骨、颅面的畸形。如牙齿的排列不齐、上牙前突、下巴前翘、嘴巴歪偏等,随着临床研究的不断... 牙齿矫正 丰尔槐 452 2024-01-12
牙齿排列不整齐就容易患龋齿吗 并非牙齿排列不整齐就必然会有许多龋齿产生。龋齿的发生需要许多条件(存在着许多致病因素)。但在同等条件下,和牙齿排列较好的美人比起来,具有八重牙、乱齿的人易患龋齿... 牙齿矫正 丘乐正 612 2024-01-10
常见异常咬合与牙列不齐、错颌畸形的种类 了解不正常的咬合关系与牙列是进入正畸矫治的先决条件之一。牙列不齐、错颌畸形的种类包括牙列拥挤、牙列间隙、龅牙、地包天、深咬、开颌、牙齿倾斜、颜面颌骨异常等。... 牙齿矫正 鲜清怡 1204 2024-01-05
牙颌畸形有哪些危害 每个儿童的家长都希望自己的孩子长得健康、漂亮而讨人喜欢。可有些儿童下巴前翘或门牙外倾,真是美中不足。这些现象在医学上称为牙颌畸形。牙颌畸形对全身及局部组织的功能... 牙齿矫正 申屠亦凝 475 2023-12-27
了解牙列不齐的原因 牙列不齐又称错颌畸形,是指儿童在生长发育过程中,由先天的遗传因素或后天的环境因素,如疾病、口腔不良习惯、替牙异常等导致的牙齿、颌骨、颅面的畸形造成的,主要有:... 牙齿矫正 闾鸿达 607 2023-12-27
何时矫牙要由正畸医师定吗 一个人要想有一副整齐美观、功能完善的牙齿,应从儿童时期开始定期检查。这样就可以给医生和患者提供一个早期发现问题和早期干预的机会。因此,矫正牙齿的最佳治疗时机应由... 牙齿矫正 所晴丽 565 2023-12-26
牙列不齐做矫治需要多长时间 牙列不齐做矫治通常需要两年时间左右,但具体时间的长短与患者的年龄、纠正牙列不齐的难易程度以及形成牙列不齐的原因等因素有关,还与患者的合作性、个人体质的反应性等有... 牙齿矫正 丰尔槐 517 2023-12-23
牙齿排列不齐的最佳矫治时机 每个人都希望自己有一副洁白如玉、排列整齐的牙齿。但事与愿违,大多数人或多或少都有一点牙颌畸形,在我国牙颌畸形的患病率高达49%。牙颌畸形的发生与遗传有一定关系... 牙齿矫正 素若南 519 2023-12-22
影响牙齿美丽的因素有哪些 爱美之心,人皆有之。每个人都希望自己的容貌美丽,而人的容貌美在一定程度上与牙齿健美、颌骨发育密切相关。洁白似玉、排列整齐、与面形比例相称的牙齿给人以天生的美感,... 牙齿治疗 范姜英杰 604 2023-12-22
牙列不齐的快速矫治是什么 牙列不齐快速矫治法主要指用牙外科正畸的方法,也就是用手术的方法达到矫治的目的。这种方法对于一些简单的前牙错位或扭转,以及成年人来说是最佳、最快的矫治方法。... 牙齿矫正 速俨 488 2023-12-22
牙列不齐的矫治是什么样的 每个人都希望自己有一副洁白如玉、排列整齐的牙齿。然而,往往事与愿违,如果从医学角度考虑,我们大多数人都或多或少的存在牙颌的畸形,这种畸形的发病率在我国高达49... 牙齿矫正 郜清淑 703 2023-12-22
什么叫矫治器 牙列不齐主要用力进行矫治,应用力的装置有多种,最常用的是在口内或口外安放一种装置,这种装置称作矫治器。由于矫治器主要是装置在口内牙齿上或颌面部所以必须便于患者使... 牙齿矫正 鄂昊英 559 2023-11-30