种植牙科普:如何判断牙槽骨状况是否适合进行种植牙手术? 种植牙作为一种理想的牙齿缺失修复方式,其成功与否在很大程度上取决于牙槽骨的状况。那么,如何判断牙槽骨状况是否适合进行种植牙手术呢?下面让我们一起来深入了解。一、... 种植牙 仙千风 1148 2024-07-18
如何判断牙齿矫正种植钉是否安全?不同年龄段的牙齿矫正有什么区别? 在牙齿矫正的过程中,种植钉的应用越来越常见,而其安全性是患者普遍关心的问题。同时,不同年龄段进行牙齿矫正也存在一定的差异。下面,我们将深入探讨这些话题。一、如何... 牙齿矫正 厉涵山 663 2024-06-19
死髓牙要拔掉吗?如何判断牙髓是否坏死? 在牙科领域中,死髓牙是一个常见的情况。很多患者面对死髓牙时会纠结是否要拔掉,以及如何确定牙髓是否坏死。本文将详细为大家解答这些疑问,让我们更深入地了解死髓牙的相... 牙齿治疗 仪捷 3767 2024-06-11
怎么判断牙齿矫正效果如何?吸烟会影响牙齿矫正的效果吗? 牙齿矫正对于许多人来说是改善口腔健康和外貌的重要途径。但矫正过程结束后,如何判断矫正效果是否理想呢?同时,吸烟这一常见行为是否会对牙齿矫正产生影响呢?让我们... 牙齿矫正 仙千风 829 2024-05-24
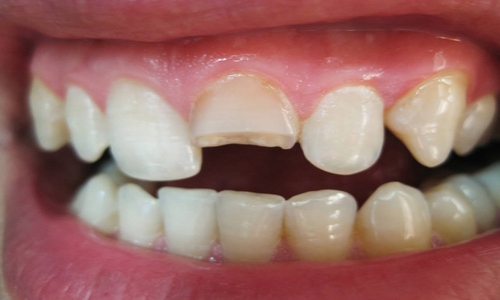
前牙牙折的修复是怎么样的 恒牙外伤好发于学龄时期,男孩多于女孩。学龄儿童活泼好动,外伤多发生于运动、嬉戏或意外如车祸等。每年有1.5~3.5%的儿童在运动中受到牙外伤,深覆合患者尤其多发... 牙齿治疗 范姜英杰 640 2024-03-01
牙齿折断或脱落怎么办 每个人在一生中或多或少都可能遇到一些突发事件。工业革命给人们的日常生活带来极大方便的同时也为我们带来了更多的意外事件,如交通事故、机械损伤人体、撞击、摔倒等,都... 牙齿美白 聊华清 601 2023-12-22