口腔和牙齿疾病的发病率如何 口腔疾病已成为人类最常见、最多发的疾病之一。据世界卫生组织2004年发表的口腔卫生报告显示,全世界人口中有近80%约50亿人患有蛀牙、牙龈炎、口腔癌和喉癌,口腔... 牙齿治疗 所晴丽 832 2024-04-03
哪些人群易患牙周疾病 现在生活速度的加快使得人们的压力倍增。而口腔疾病成了大多数人易患的疾病,牙周病便是其中的一种。牙周病是人类最普遍的疾病之一,是危害人类健康的高发非传染性疾病。对... 牙齿治疗 苦冷亦 1106 2024-04-02
牙周炎的治疗原则是什么 慢性牙周炎是牙周炎中最常见的类型。主要发生在成年人,但也可发生于儿童的乳牙列或青少年。通常病程进展缓慢,但也可发生快速进展。牙周炎的主要特征是:有牙周袋形成和牙... 牙齿治疗 鲜清怡 795 2024-04-02
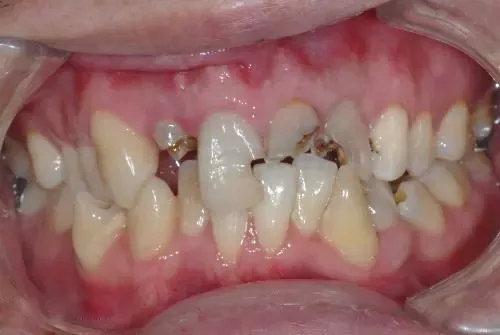
牙周病对全身疾病的影响 牙周病是牙齿支持组织,包括牙龈、牙骨质、牙周韧带和牙槽骨因炎症所致的一种疾病,是最常见的口腔疾病之一,也是导致牙齿丧失的一个主要原因。由于牙龈病和轻度牙周炎病程... 牙齿治疗 吴芳芳 703 2024-03-25
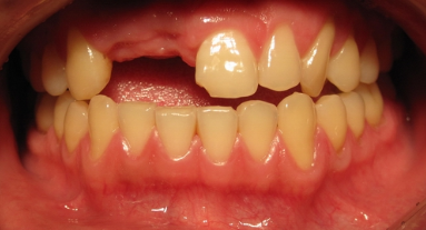
牙列缺损的修复 牙列缺损是指牙列中数量不等的牙齿的缺失。通常是由龋齿、牙周病、外伤、炎症、肿瘤或发育障碍所造成。牙列缺损后,口腔组织的变化,因缺牙的多少而有很大的差异。... 牙齿治疗 聊华清 709 2024-03-23
牙周病的定义及病因 牙周病是指发生在牙齿周围组织的疾病。根据病变侵犯的部位分为龈炎和牙周炎两类。龈炎的病变主要发生在牙龈组织。牙周炎的病变则同时侵犯牙龈、牙周膜、牙槽骨和牙骨质。本... 牙齿治疗 充向雪 1372 2024-03-18
牙病不治有什么危害 常言道:“牙疼不是病,疼起来真要命"。可见,在人们心目中只怕牙疼疼痛难忍,而并未将牙疼当成病。然而,现代医学的一些研究却表明:牙疼看起来是“小毛病”但... 牙齿治疗 仪捷 1016 2024-03-18
牙周炎如何防治 牙周炎是侵犯牙龈和牙周组织的慢性炎症,是一种破坏性疾病。其主要特征为牙周袋的形成及袋壁的炎症,牙槽骨吸收和牙齿逐渐松动,它是导致成年人牙齿丧失的主要原因。牙周炎... 牙齿治疗 仙千风 679 2024-03-18
牙床鼓了个包儿是怎么了 自己突然发现在牙齿舌侧或唇侧的牙龈上形成了椭圆形或半球形突起,伴有牙龈疼痛、肿胀、色泽改变,感觉牙齿浮出并且松动,最后鼓包自行溃破或者脓液从牙周袋流出来。这是典... 牙齿治疗 笪冰夏 564 2024-03-15
塞牙的常见原因是什么 如何治疗 塞牙是一种常见的症状,医学上称之为食物嵌塞。牙间隙处常嵌塞食物,引起牙间乳头炎,如不及时治疗,可发展为牙周病。造成食物嵌塞的原因有以下几个方面。... 牙齿治疗 鄂昊英 710 2024-03-13
牙齿缺失会有什么问题 很多朋友对于缺牙不够重视,觉得“我还可以吃,没什么”、“以后牙全掉光,再装也来得及”等,殊不知,缺牙会给我们带来很多健康问题。... 牙齿治疗 仙千风 570 2024-02-28
口腔定期检查的重要性 口腔定期检查即定期到口腔科进行口腔检查,及早发现并及时治疗口腔疾病,以达到口腔保健的目的。随着生活水平的提高,人们越来越重视生活的质量。容貌娇美、明眸皓齿是人们... 口腔资讯 吴芳芳 977 2024-02-26
哪些情况下是需要拔牙的 拔牙的原因是很多的,由于各医院医疗条件以及病人需求的不同,拔牙的适应证也随之变化。目前随着口腔医学各学科的发展,很多病牙都可以经过治疗而得以保留,在确定必须拔牙... 牙齿治疗 充向雪 1846 2024-02-26
牙列拥挤的病因和临床特点是什么 牙列拥挤最为常见,60%~70%的错颌畸形患者中可见到牙列拥挤的存在。牙列拥挤分为单纯拥挤和复杂拥挤。单纯拥挤表现为牙齿因间隙不足而排列错乱,并因此影响到牙弓形... 牙齿矫正 谬长逸 640 2024-02-22
牙龈退缩的正畸治疗 当牙齿过于唇向或颊向,由于牙齿唇颊侧的骨板较薄,常会引起牙龈退缩。前牙反的患者,尤其是骨性下颌前突患者,由于咬颌创伤或下前牙的代偿性舌向倾斜,下前牙唇侧骨板较薄... 牙齿矫正 速俨 984 2024-02-22
牙周疾病与正畸治疗的关系 随着人们对口腔疾病认识和研究的进一步深入,牙周病学和口腔正畸学越来越紧密地结合在一起。牙周病治疗已不单纯是为了正畸治疗前的简单牙周准备和维护正畸治疗过程中患者的... 牙齿矫正 闾鸿达 626 2024-02-22
为什么说牙病不治危害多 常言道:“牙疼不是病,疼起来真要命”。可见,在人们心目中只怕牙疼疼痛难忍,而并未将牙疼当成病。然而,现代医学的一些研究却表明:牙疼看起来是“小毛病”但牙疼的危害... 牙齿治疗 令狐逸 588 2024-02-18
保护牙齿的六大误区是什么 口腔的常见疾病,如龋齿、牙周病等早期多无明显的症状,不易被发现,疾病发展缓慢,通过定期口腔健康检查,可以早期发现、早期诊断、早期治疗。... 牙齿治疗 仙千风 1411 2024-02-18
洗牙不等于牙齿美白 洗牙在我国已经渐渐“流行”起来,很多人都“赶潮流”定期洗牙,但是对洗牙的概念却知之甚少,认为洗牙是为了美白牙齿,但是结果却让他们大失所望。那么洗牙到底能不能美白... 牙齿治疗 苦冷亦 592 2024-01-25