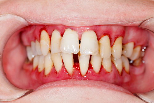
牙周病对全身健康的影响 牙周病是牙龈病和牙周炎的总称。由于牙龈病和轻度牙周炎病程进展缓慢,仅有牙龈出血、不同程度口臭和牙龈外形改变等表现,往往被患者认为是“小毛病”,而失去治疗的有利时... 口腔资讯 范姜英杰 575 2024-01-25
口腔健康的重要性 口腔卫生与口腔疾病的发生有很大的关系,特别是与牙周病和龋病的关系更为密切,根据已知口腔疾病的致病因素,提出针对性的口腔卫生措施,使口腔和牙齿有一个清洁、健康的良... 口腔资讯 甫环 904 2024-01-19
缺牙对身心有害吗 有些人认为,缺牙只是老年人的事情。其实不然,缺牙不仅是老年人,而且不同年龄的人都可能有缺牙的现象。那么,什么原因导致缺牙呢?缺牙的原因很多,如龋病(虫牙),龋坏... 牙齿治疗 仪捷 570 2024-01-04
牙周病能进行正畸治疗吗 形成牙周病的原因很多,错颌畸形是其中很重要的一个原因。近年来,正畸临床治疗中,对牙周病的病人采取正畸治疗的手段取得了令人满意的效果。牙周病病人伴有上前牙唇向前突... 牙齿矫正 充向雪 572 2024-01-04
松动的牙齿可以固定吗 牙齿生长在颌骨的牙槽窝内,保持正常位置,不发生松动,这是由于有健康的牙周膜、牙槽骨及牙骨质等牙周组织当牙齿患牙周病后,如果不早期进行治疗,牙龈的炎症继续发展,导... 口腔资讯 南光耀 600 2024-01-02
为什么要定期到医院去检查牙齿 口腔是人体重要的器官之一,具有咀嚼、发音、感觉等功能。口腔疾病是人类最常见的疾病之一,而龋病和牙周病则是口腔疾病中的常见病和多发病。在人生的任何一个时期都有可能... 口腔资讯 充向雪 532 2024-01-02
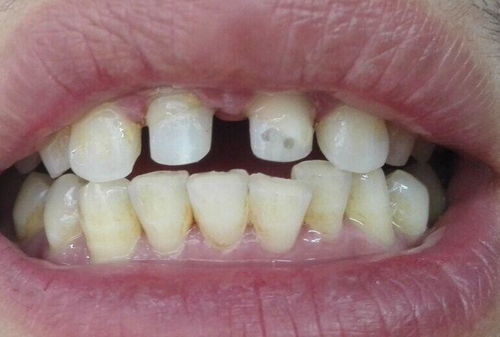
牙列缺损后会有什么影响 根据流行病学调查,在65~74岁年组受检的23452个人中牙列缺损者占29.8%,牙列缺失者占10.51%。牙列缺损主要表现为上下颌牙列内不同部位和不同数目... 牙齿治疗 丘乐正 772 2023-12-29
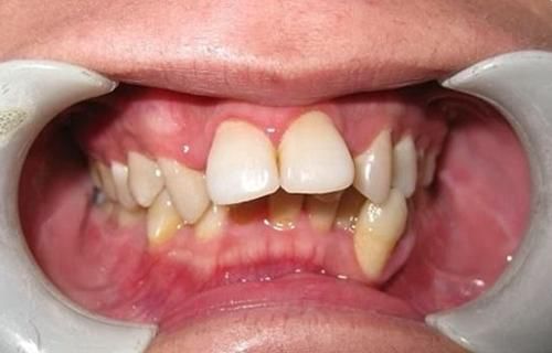
年纪大了,牙齿就会松动吗 有许多人认为老人牙齿松动脱落是自然现象,防也无用,治也无益,但事实并非如此,牙齿只有在病理状态下才可出现松动,不单是老年人,其他年龄的人也可能牙齿松动。牙齿犹如... 口腔资讯 鲜清怡 535 2023-12-27
牙周病应该如何预防 牙周病是口腔两大类主要疾病之一,在世界范围内均有较高的患病率,在我国,牙周病的患病率更居龋病之上。随着我国进人老龄化社会,牙周病,尤其是牙周炎将更成为突出的保健... 口腔资讯 朱小溪 555 2023-12-26
哪些人适合做种植牙 种植牙的适用范围很广,只要是牙齿和骨骼发育都已经定型的的成年人,身心健康,骨质良好,口腔软组织无明显的炎症,拔牙后至少已3个月以上的,患者本人有着强烈要求的... 种植牙 公冶乐天 633 2023-12-26
什么样的牙齿需要拔除 一般来说,牙齿不管是发生龋病还是牙周病,原则上都应该尽量保留。但是有些时候,保留牙齿的意义不大,有的甚至会对其他健康牙齿产生不良影响,就只能拔牙了。... 牙齿治疗 仪捷 511 2023-12-23
成年人的牙齿正畸 牙根一旦形成,牙齿在颌骨中的位置即相对稳定,而正畸的目的是既要改善美观,又不能对牙齿造成不良的后果,因此成年人的正畸有其特殊的要求。成年期包括青年壮年和老年。在... 牙齿矫正 钟苒 718 2023-12-22
牙周病正畸治疗的时机 对于牙周病患者的正畸治疗应选择合适的时机,在正畸治疗前对牙周炎患者的病情进行全面检查和评估十分关键,包括错颌畸形检查、咬合检查、牙周检查、X线检查等。... 牙齿矫正 郜清淑 575 2023-12-20
牙列缺损修复前的准备 经过口腔全面检查,按照缺牙数目和部位及口腔内其它牙齿情况,拟定口腔修复设计,对口腔内影响安装假牙效果的情况进行处理,以保证戴上假牙后获得良好的效果。... 牙齿治疗 柯泰和 591 2023-12-15
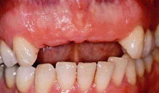
牙列缺损与不镶牙的危害是什么 牙列缺损是口腔中常见的一种缺损畸形。根据调查,在人群中牙列缺损(缺1个牙或多个牙)者约为50%。在老年人中牙列缺损的发病率就更高。最常见的原因是龋病和牙周病。根... 牙齿治疗 朱小溪 585 2023-12-15
牙周病有哪些 牙周病该怎么预防 由于牙石牢固地依附于牙面上,它所携带的口腔致病菌刺激牙龈充血、发炎,直至造成牙齿周围组织发炎或感染,医学上称为牙周疾病。... 口腔资讯 丘乐正 577 2023-12-13
牙周病正畸矫治的注意事项 在矫治的标准上,牙周病患者与正常人也应有所不同。通常采用综合疗法,拔牙矫治应慎重进行。尽量采用非拔牙矫治。有时需咬合磨改,改变颌曲线,消除牙列间的间隙,改善覆颌... 牙齿矫正 令狐逸 562 2023-12-08