牙周病正畸矫治的特点是什么 对于牙周病患者,通过成功的正畸治疗往往可以达到比较满意的效果。经过正畸治疗在以下几方面得到明显改善,是牙局病患者成功正畸治疗的标志:牙齿的冠根比例得到改善;颌力... 牙齿矫正 仙千风 527 2023-12-08
正畸疗法是什么 正畸疗法是牙周病综合治疗的基本方法之一,它可使移位松动牙复位,改善咬合排列关系,改善牙长轴方向及其受力的方向,有利于牙周组织的愈合修复。... 牙齿矫正 充向雪 564 2023-12-07
种植义齿的禁忌证有哪些 种植义齿修复是口腔修复的一项新技术,是常规修复方式的补充,不能完全取代其他的传统修复方法。其成功的关键因素不仅涉及种植材料的性能,种植体设计的合理性与加工精度和... 种植牙 捷思若 540 2023-12-06
牙齿缺损和畸形对健康有什么影响 口腔修复是口腔医学的重要组成部分。口腔修复学包括对牙体缺损或畸形、牙列缺损、牙列缺失、颌面缺损、牙周病以及颞下颌关节病的修复治疗。由于口腔颌面部位担负着人体重要... 牙齿治疗 令狐逸 606 2023-12-06
哪些情况下需要拔牙 拔牙的原因是很多的,由于各医院医疗条件以及病人需求的不同,拔牙的适应证也随之变化。目前随着口腔医学各学科的发展,很多病牙都可以经过治疗而得以保留,在确定必须拔牙... 牙齿治疗 丰尔槐 522 2023-12-06
牙列缺损的临床表现有哪些 牙列缺损对牙周组织有一定影响。特别是生长发育期,咬颌尚未建立一定的锁结关系,若一个或多个牙缺失,尤其是长期缺失则相邻的牙可以向缺牙间隙倾倒移位造成牙的排列及咬合... 牙齿治疗 商清卓 593 2023-12-04
牙列缺损的病因有哪些 牙列缺损是指口腔牙列中,一个或多个牙缺失,口腔内尚有天然牙存在。牙列缺损是口腔中常见的一种缺损形。据统计我国60岁以上的老人普遍缺牙,预计到本世纪末,将有一亿... 牙齿治疗 吴芳芳 586 2023-12-04
错颌畸形有哪些表现及危害 根据世界卫生组织(WHO)统计,口腔的三大疾病是龋齿、牙周病和错颌畸形。错颌畸形的患病率在我国高达50%左右,它对口腔健康、口腔功能和颌面骨骼的发育和外貌都有很... 牙齿矫正 郜清淑 544 2023-11-29
牙周病的正畸治疗 牙周病晚期因牙槽骨吸收、牙齿松动移位常出现错颌畸形,也有的是错颌畸形伴发牙周病变。但无论牙周病患者的错颌畸形是原发的或是伴发的,要彻底治疗牙周病均应进行正畸治疗... 牙齿矫正 朱小溪 511 2023-11-27
正畸治疗牙周病问题 临床牙周病的发展经历了几个重要的阶段,20世纪60年代牙周病学专家们致力于研究龈上菌斑和鉴别龈下菌群中的致病微生物,大量的临床和动物实验使这一学科得到了很大的... 牙齿矫正 鲜清怡 490 2023-11-17
为什么要及时矫正牙颌畸形 普天下的父母,都希望孩子有一副整齐如贝的牙齿可是当孩子发生牙齿错颌的时候,却很少有父母赶紧给他们矫治,因为年轻的父母有个错觉,以为孩子进入青春期后,颌骨会发育扩... 牙齿矫正 申屠亦凝 511 2023-11-16
牙周病牙齿的正畸治疗 进行牙周病正畸治疗的多为成年人,有多年的牙周病史,口腔情况较差,多伴有龈炎、牙周炎、牙槽骨吸收、牙齿松动以及前牙唇向漂移,患者均很苦恼。在进行正畸治疗前须经过牙... 牙齿矫正 郜清淑 675 2023-11-14
根管治疗的注意事项有哪些 根管治疗的优点有哪些 牙本质在一生中不断形成,随着年龄的增长,髓腔内壁有继发性牙本质沉积,使髓腔的体积逐渐减小,根管变细,根管孔变小,有的会部分或全部钙化阻塞,这样会给根管预备带来一... 根管治疗 尾秋双 519 2023-11-11
如何进行牙周病的早期预防和治疗 牙周病是一个多因素引起牙周组织的破坏疾病。没有牙菌斑就没有牙周病。但发病与否还取决于患者的抵抗力、局部刺激因素和其他一些全身因素。因此治疗时首先需要做基础治疗,... 口腔资讯 柯泰和 612 2023-11-08
为什么要做牙齿矫正 在医学上,牙齿矫正就是将长得不整齐的牙齿排列整齐,最终得到一个整齐、好看的美牙。但以目前到医院矫治牙齿的情况来看接受矫治的大多数是一些青少年,也同时产生了一个问... 牙齿矫正 钟苒 490 2023-11-08
牙周病正畸治疗有什么特殊性 牙颌畸形不仅破坏一个人的容貌美,而且影响咀嚼、发音等生理功能,不少人因此产生自卑等心理障碍。因此牙颌畸形的矫治不仅是为了外貌美观,同时也有利于口腔功能的完善,增... 牙齿矫正 申屠亦凝 663 2023-11-06
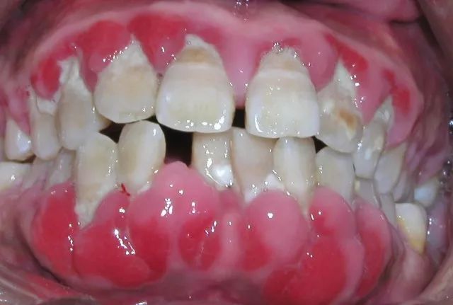
牙周病的错颌患者是否可做正畸治疗 牙周病可能造成哪些错颌表现 牙周病并不是口腔正畸治疗的禁忌证,换句话说,错颌患者若同时患有牙周病,仍然可以进行正畸治疗。问题的关键是要控制牙周病的病情,掌握正畸治疗的时间。... 牙齿矫正 厉涵山 497 2023-11-06
正畸治疗中牙周病该如何处理 临床牙周病的发展经历了几个重要的阶段,取得了很大的进展,正畸的范围从青少年错颌畸形扩展到治疗许多成人牙颌问题。成人正畸治疗已形成一个交叉学科领域,其中一个很重要... 牙齿矫正 充向雪 551 2023-11-01
有牙周病还可以做正畸治疗吗 进行牙周病正畸治疗的多为成年人,有多年的牙周病史,口腔情况较差,多伴有龈炎、牙周炎、牙槽骨吸收、牙齿松动以及前牙唇向漂移,患者均很苦恼。在进行正畸治疗前须经过牙... 牙齿矫正 admin 499 2023-10-24