种植手术的并发症有哪些 种植牙是一种先进的科技成果,在国内外已经广泛开展,但是,它对于医生的技术要求,对器械、设备、材料,还有病人应具备的条件,如口腔健康状况、牙槽骨宽度、高度和经济状... 种植牙 彤依波 573 2024-04-09
种植义齿成功的要素是什么 种植义齿是涉及多学科的系统工程,就像盖一幢大楼任何质量问题都将导致大楼倒塌一样,必须严格要求每一个环节,才能达到种植义齿的长期使用。... 种植牙 南光耀 663 2024-03-12
全身性疾病对种植成败的影响 一个成功的种植不但要求能有良好的功能,还要美观、舒适、不疼痛、不感染、周围骨组织不吸收,对患者精神上无影响。如果不合乎上述标准,则应是失败的或是有缺陷的,更重要... 种植牙 范姜英杰 888 2024-03-06
牙齿修复前准备与处理 确定治疗计划时应充分了解患者就诊的目的和要求,让患者了解自己口腔实际情况及其可以采取的哪些修复方法,所需时间和费用,征得患者的认可和配合以后方可进行。虽然用于口... 牙齿治疗 闾鸿达 823 2024-02-29
种植牙使用时要怎么护理 种植牙的舒适、美观和良好的咀嚼功能,往往容易让人忘记它的存在,忽视对它的正确使用和维护,加之种植牙没有天然牙的感觉能力,受到伤害后也不能发生疼痛信号,一旦出现问... 种植牙 闾鸿达 576 2024-02-19
烤瓷牙会影响牙齿功能吗 虽然我们出生的时候牙齿都是白色的,但是在生长发育过程中我们会不断碰到各种损害牙齿整齐和美观的因素,比如牙颌畸形、四环素牙、蛀牙、牙外伤、食物色素等等,最后能真正... 烤瓷牙 丰尔槐 588 2024-02-18
种植手术的适应证是什么 种植义齿的适用范围很广,几乎没有年龄限制,只要是牙齿和骨骼发育已经定型的成年人,没有外科手术禁忌证的患者都可以做种植义齿。因此,通常一个能接受常规拔牙及其他口腔... 种植牙 充向雪 480 2024-01-29
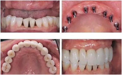
种植牙有什么优势 种植牙是通过外科手术的方法在牙槽骨内植入人工牙根,即种植体,一般是用纯钛制成的小螺钉,植入的种植体与牙槽骨会形成良好的骨性结合,非常牢固地存留在颌骨内,相当于在... 种植牙 仪捷 515 2024-01-29
种植牙是缺牙人群的首选方法吗 种植牙是口腔修复技术中损伤最小的手术,且对周围牙龈及牙周膜的软组织和骨头等硬组织均没影响。种植牙是缺牙人群的首选方法。但是,种植牙有相对禁忌证和绝对禁忌证。医生... 种植牙 仪捷 586 2024-01-12
为什么种植牙价格昂贵 种植义齿经过三十年的临床实践考验,已日趋成为一项成熟的口腔修复治疗手段。现在口腔医师已经可以对种植体的长期成功率充满信心,甚至可以将其看作可终身依赖的口腔修复体... 种植牙 速俨 898 2023-12-27
种植义齿会坏吗 成功的标准是什么 “种牙得牙,永久不坏”是早期的商业宣传,是不科学的。同进化了50万年的人类天然牙也会有各种牙病样,种植义齿也不能保证永久不坏。... 种植牙 申屠亦凝 531 2023-12-25
种植义齿有什么缺点 现在,在欧洲某些国家,据称种植义齿修复已占所有缺牙患者修复的一半以上。我国已有正规口腔专业医师掌握了这一高新技术。相信随着我国生活水平的提高和成本的降低,将会有... 种植牙 笪冰夏 567 2023-12-25
种植义齿有什么优点 可摘义齿不要金属卡环和塑料基托行吗?不行!固定桥义齿不磨切相邻牙行吗?不行!如果能有一种义齿既不要卡环、基托,又不磨切相邻基牙,那该多好!现在有了,那就是“种植... 种植牙 素若南 577 2023-12-25
种植牙术后的家庭保养与维护 种植牙手术作为现代口腔科一种新的修复方法,已渐渐成为许多缺牙患者的第一选择。除了价格昂贵外,种植牙具有很多的优点。患者进行了种植牙手术治疗后能否成功,医生的手术... 种植牙 范姜英杰 528 2023-12-21
什么样的患者不适合种植义齿 与天然牙相比,种植体周围龈组织受菌斑的影响较大,可出现种植体周炎及骨组织的丧失因此,加强口腔保健,严格控制菌斑在种植体上附着,保证种植体颈部龈组织的良好封闭性,... 种植牙 仙千风 507 2023-12-04
烤瓷牙是什么意思 人们通常所说的烤瓷牙是对这一类牙的总称。它包括全瓷牙,即里外全用瓷粉烧制而成;还有就是烤瓷冠和烤瓷桥,这类牙的基底部用金属铸造而成,表面则用瓷烤熔附着,又称烤瓷... 烤瓷牙 令狐逸 554 2023-11-30
缺牙修复的高新技术--人工种植牙 人工种植牙,又称人体的第三副牙齿。有些人认为,人工种植牙是把“一种东西”种进去后会自己长出来,其实不是这样的:人工种植牙是将一种生物材料(钵、生物陶瓷等)制成... 种植牙 鲜清怡 599 2023-11-16
种植牙成功的判断标准是什么 种植牙虽然在结构上与天然牙大体相似,但其生理基础并不相同。因此,为了延长种植体的“服役期”,患者做种植牙修复后应尽量避免吃较硬的食物。... 种植牙 令狐逸 844 2023-11-15
人工种植牙是什么做的 种植牙的适应人群有哪些 种植牙并不是真正地播种出一颗天然牙齿,而是通过一个小手术在牙槽骨内植入人工牙根,等待3~6个月人工牙根完全长牢之后,在其上制作烤瓷(或全瓷)牙冠,恢复缺失牙。这... 种植牙 商清卓 1085 2023-11-11