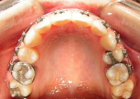
矫正过程中托槽掉下来该怎么办 不按医生要求挂橡皮圈可以吗 矫正治疗一开始,医生会在患者的牙面上粘一个个金属或者透明的小方块,专业名称为托槽。然后在托槽里放上钢丝,由此对牙产生矫治力,牙齿才能慢慢移动。可以说托槽是矫正牙... 牙齿矫正 admin 722 2023-10-16
托槽掉落对正畸治疗有哪些影响?如何预防正畸期间托槽掉落? 在正畸治疗的过程中,托槽起着至关重要的作用。然而,托槽掉落这一情况时有发生,给患者和治疗带来了一定的困扰。今天我将为您详细阐述托槽掉落对正畸治疗的影响以及如何有... 牙齿矫正 吴芳芳 1242 2024-07-31
正畸期间托槽掉落怎么办?正畸时托槽掉落的原因是什么? 在牙齿正畸的过程中,托槽是施加矫治力的重要部件。然而,有时会出现托槽掉落的情况,这可能会给正畸治疗带来一定的影响。下面我将为您详细讲解正畸期间托槽掉落的相关问题... 牙齿矫正 厉涵山 1003 2024-07-31
正畸小知识:托槽的矫正效果会受哪些因素影响? 在牙齿正畸治疗中,托槽是常用的矫治装置之一。然而,托槽的矫正效果并非仅仅取决于托槽本身,而是受到多种因素的综合影响。下面我们就来详细探讨一下托槽的矫正效果会受哪... 牙齿矫正 闾鸿达 1067 2024-07-29
正畸科普:自锁托槽和非自锁托槽的优缺点有哪些? 在牙齿正畸的领域中,自锁托槽和非自锁托槽是常见的两种矫正装置。许多患者在面临选择时,往往对它们各自的优缺点感到困惑。本文将详细为大家阐述这两种托槽的特点,帮助大... 牙齿矫正 闾鸿达 2262 2024-06-18
自锁托槽和非自锁托槽有什么区别?怎么选择合适的牙齿矫正器? 在牙齿矫正的过程中,选择合适的矫正器是非常重要的一步。其中,自锁托槽和非自锁托槽是常见的两种类型。许多人对它们的区别以及如何做出正确选择存在疑惑。本文将详细为大... 牙齿矫正 鲜清怡 1079 2024-06-18
国产自锁托槽排名,2024年最新推荐品牌 在牙齿矫正领域,自锁托槽因其独特的优势受到广泛关注。随着国内技术的不断发展,国产自锁托槽也取得了显著进步。让我们一起深入了解2024年最新的国产自锁托槽推荐品牌... 牙齿矫正 苦冷亦 1791 2024-05-28
金属托槽矫正器多少钱?传统金属托槽矫正效果如何? 金属托槽矫正器多少钱?传统金属托槽矫正效果如何? 牙齿矫正是许多人在追求美丽笑容和良好口腔健康过程中的重要一步。金属托槽矫正器是最传统也是经常见的矫正方法... 牙齿矫正 admin 608 2024-05-23
金属托槽矫正品牌排行榜:国产进口每家都有自身特色优势 在现代牙齿矫正领域,金属托槽矫正器因其高效、耐用和性价比高,成为众多患者的选择。市面上有许多不同品牌的金属托槽矫正器,包含国产和进口品牌,每个品牌都有其独特... 牙齿矫正 huanglanyan 2258 2024-05-23
解析陶瓷托槽矫正与金属托槽的区别,了解2024牙套全新价格 牙齿矫正技术的发展,使得矫正牙齿变得越来越普及和多样化。陶瓷托槽和金属托槽是两种常见的矫正方式,各有其特点和优缺点。 什么是陶瓷托槽和金属托槽?... 牙齿矫正 guoliangping 833 2024-05-23
呈上2024牙齿矫正价目表,金属托槽隐形矫正费用你值得拥有! 牙齿矫正作为一种有效改善牙齿排列不齐、咬合异常等问题的口腔治疗方法,近年来受到了许多人的关注和选择。不管是为了提升美观度,还是为了改善口腔健康,牙齿矫正都具... 牙齿矫正 huanglanyan 899 2024-05-22