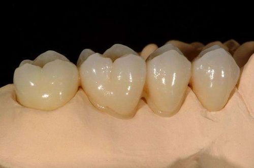
烤瓷牙是怎么回事 烤瓷牙是将瓷粉经过高温烧烤而成的全冠修复体。现多以金属为基底层,在它上面堆以烤瓷粉,再经过高温烧烤,烤瓷粉与金属紧密结合,形成金属陶瓷相结合的全冠修复体。... 烤瓷牙 充向雪 576 2023-12-26
前牙深覆盖的临床表现及治疗原则 前牙深覆盖是指上前牙切缘至下前牙唇面的最大水平距离大于3mm者。是上下牙弓近远中关系的异常,大多开始发生于替牙期和恒牙早期,可能单纯为前牙深覆盖,磨牙关系正常,... 牙齿矫正 仪捷 898 2024-03-14
前牙反颌的临床表现及治疗原则 前牙反颌为常见的错颌畸形,可出现在乳牙期、替牙期和恒牙期,主要是下切牙位于上切牙的唇侧,形成不同程度的反覆颌和反覆盖,是由于多种原因引起的,有牙源性、功能性和骨... 牙齿矫正 令狐逸 1436 2024-03-14
前牙牙折的修复是怎么样的 恒牙外伤好发于学龄时期,男孩多于女孩。学龄儿童活泼好动,外伤多发生于运动、嬉戏或意外如车祸等。每年有1.5~3.5%的儿童在运动中受到牙外伤,深覆合患者尤其多发... 牙齿治疗 范姜英杰 703 2024-03-01
前牙反颌的分类是什么 正中咬合时,前牙的反覆颌、反覆盖关系称为前牙反颌,俗称“地包天”。它是牙颌畸形的另一种常见的类型,发病率高。如果不及时矫治,就会对患儿面部前后向的正常发育产生严... 牙齿矫正 南光耀 952 2024-02-26
前牙缺损修复体的设计是什么样的 牙体缺损有不同的情况,其修复体的设计也不同。前牙区因涉及美观,所以多采用美学修复体,如烤瓷冠、全瓷冠和瓷贴面等修复形式。缺损多因龋病或外伤引起。根据不同的缺损范... 牙齿治疗 丰尔槐 1286 2024-02-23
前牙深覆盖的病因是什么 前牙深覆盖有哪些临床表现 前牙深覆盖指上前牙切端至下前牙唇面的最大水平距离超过3mm者,是一种常见的错颌,磨牙关系多为远中颌,并常伴有前牙深覆颌,是典型的安氏Ⅱ类Ⅰ分类错颌。... 牙齿矫正 吴芳芳 906 2023-12-28
前牙反颌有哪些临床表现 正中咬颌时,前牙的反覆颌、反覆盖关系,称为前牙反颌,俗称“地包天”。前牙反颌显而易见,也有特定的面形,如面中1/3凹陷,或下颌明显前突等。... 牙齿矫正 厉涵山 699 2023-12-28
前牙反颌的病因有哪些 前牙反颌是临床常见的畸形之一,而且临床表现也相当复杂多变。根据反颌的类型可分为乳牙反颌、混颌牙列反颌、恒牙反颌;根据反颌牙的多少又可分为个别牙反颌,多数前牙反颌... 牙齿矫正 南光耀 643 2023-12-28
不可忽视儿童前牙“地包天” “地包天”又称前牙反颌,是临床上常见的错颌畸形之一。前牙反颌可有个别前牙反颌及多数前牙反颌,可以发生在乳牙期、混合牙列期和恒牙期。一般而言,矫治应越早越好。... 牙齿矫正 鄂昊英 653 2023-12-27
前牙稀疏的修复是什么样的 上、下前牙之间有缝隙,称做前牙稀疏。主要是牙量和骨量关系的失调,即颌骨宽度正常而牙齿过小,或牙齿正常而颌骨宽度过大。一般临床上所见的大多数是牙齿过小的情况,主要... 牙齿治疗 郜清淑 610 2023-12-21