可摘部分义齿应达到的基本要求是什么 可摘部分义齿的部件多,体积大,初戴时患者常有异物感,有的影响发音,甚至引起恶心;由于基托下组织支持比牙支持效果差,故以基托下组织支持为主者其咀嚼效能较差,不如固... 牙齿治疗 捷思若 694 2024-03-23
牙列缺损的修复要求和修复方法是什么 义齿修复牙列缺损时不仅要符合其机械学原则,更重要的是要符合口腔软、硬组织的生理要求。只有符合生理要求的义齿,才能与口腔组织组成一个有机的整体。共同发挥其应有的生... 牙齿治疗 令狐逸 624 2024-03-04
假牙都有哪几种 假牙的学名叫义齿,是牙齿脱落或拔除后,为恢复咀嚼、美观、发音等功能所镶补的假牙。目前义齿主要包括固定义齿、可摘义齿、固定-可摘联合义齿、种植义齿等几类。那么在修... 牙齿治疗 吴芳芳 657 2024-01-08
为什么说装假牙忌“贪便宜” 随着年龄增长,牙齿也逐渐老化,如上社会“老龄化”现象,很多人需要到牙医那儿装假牙。牙齿是直接与身体接触,生产技术要求很高,不合格的假牙对身体危害极大,装假牙切忌... 牙齿治疗 捷思若 627 2023-12-28
活动义齿好 还是固定义齿好 目前,牙列缺损的义齿(即假牙)修复根据其承力方式不同可分为活动义齿、固定义齿和种植义齿三大类,各有适应证和优缺点,对每个人只能是具体情况具体分析,分别处理。... 牙齿治疗 郜清淑 648 2023-12-25
良好的可摘局部义齿有何要求 可摘局部义齿是牙列缺损的修复方法之一,它是利用天然牙和基托覆盖的粘膜、骨组织作支持,靠义齿的固位体和基托固位,患者能自行取戴的一种修复体。良好的可摘局部义齿应是... 牙齿治疗 鄂昊英 585 2023-12-25
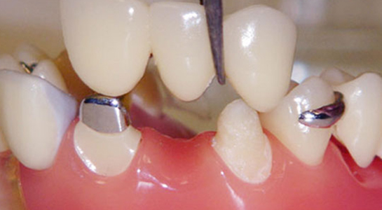
什么是固定义齿 有哪些种类和适应证 通常牙列缺损的修复方法,按照义齿固位方式的不同,分为固定义齿和局部可摘义齿两种。此处所讲的固定义齿系指传统固定义齿,主要是利用缺牙间隙两侧或一侧的天然牙作为支持... 牙齿治疗 闾鸿达 861 2023-12-25
固定义齿戴用后可能出现的问题和处理 固定义齿的寿命是由多种因素决定的。固定义齿修复的生理基础是基牙,基牙的代偿功能可随着年龄、局部和全身健康情况等有所变化。因此,固定义齿给基牙带来的额外负担在一定... 牙齿治疗 所晴丽 1515 2023-12-05
固定义齿有哪些类型 固定义齿类型较多,临床上最常用的是按结构分为双端固定桥、半固定桥、单端固定桥,此三类是固定桥的3种基本类型另外,在此基础上,按部位不同可分为前牙桥和后牙桥;... 牙齿治疗 阙德厚 874 2023-11-23
牙列缺损的固定义齿修复 固定义齿是修复牙列缺损的一种形式,它是修复牙列中一个或几个缺失牙的解剖形态和生理功能的一种修复体,它是利用缺牙间隙相邻两侧或一侧天然牙作基牙,在基牙上制作固位体... 牙齿治疗 鲜清怡 618 2023-11-23