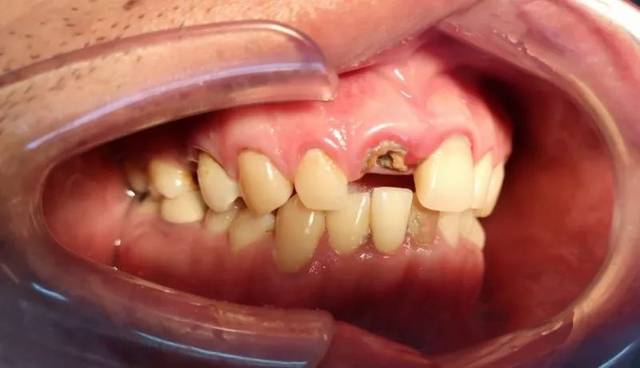
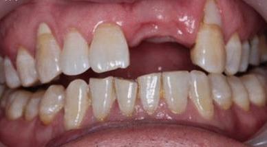
牙齿修复前的口腔准备 牙齿修复前的口腔准备是指经过全面检查、诊断之后,按照拟定的修复设计,对口腔组织的病理情况或影响修复效果的情况,进行适当的处理,以保证预期效果。牙齿修复前的准备:... 牙齿治疗 充向雪 774 2024-04-07
牙齿修复前准备与处理 确定治疗计划时应充分了解患者就诊的目的和要求,让患者了解自己口腔实际情况及其可以采取的哪些修复方法,所需时间和费用,征得患者的认可和配合以后方可进行。虽然用于口... 牙齿治疗 闾鸿达 820 2024-02-29
治疗龋齿和牙体缺损是怎样选择修复材料的 用于牙科治疗的材料不下几十种,那么,应该怎样选用这些材料呢?通常临床上根据牙齿缺损的部位、范围、固位、抗力和美观等具体情况选用不同的材料。如后牙尤其是包括面的窝... 牙齿治疗 鄂昊英 1284 2024-02-19
烤瓷牙固定修复的注意事项是什么 目前,烤瓷牙已被广大患者接受和喜欢,主要是由于烤瓷牙修复后舒适和美观。但要想达到较为满意的修复效果,选择医疗机构和具体医师,极为重要。另外医师的职称、做烤瓷牙的... 烤瓷牙 速俨 609 2024-01-30
牙齿修复前口腔需要做什么准备 修复前口腔准备应该在经过全面检查、诊断、确定修复计划之后,按照拟定的设计方案,对口腔组织的病理状况或影响修复效果的情况进行适当的处理,以保证修复效果。... 牙齿治疗 丘乐正 665 2024-01-29
什么是金瓷牙冠 金瓷牙冠的优点是什么 陶瓷牙冠(牙套)现在主要有金瓷冠和全瓷冠两种。它可以逼真地再现自然牙的颜色和半透明特性,是目前牙美容效果最好的修复体。主要适用于前牙或后牙的美容。... 烤瓷牙 速俨 1015 2023-12-21
烤瓷牙修复后要注意什么 很多患者在做完烤瓷牙修复后,觉得牙齿变得健康了,便不太注意日常的保养和维护。要知道烤瓷牙和真牙一样,也是有其使用寿命的,日常生活的不注意,可能导致烤瓷牙过早的走... 烤瓷牙 富南烟 622 2023-11-07