对牙齿松动该怎么诊断 牙齿借助于牙周膜与牙槽骨紧密相连,正常情况下,牙齿稳固,并无临床可察觉的动度,只有当牙周组织已经出现病变或病变发展到一定程度时,牙齿才会出现松动。牙周炎是牙齿松... 牙齿治疗 申屠亦凝 1604 2024-03-06
种植牙的手术与修复过程是什么样的 种植牙不仅仅要恢复缺失牙齿的咀嚼功能,还需要满足美观功能,尽量在外观上和自然牙齿形态相似,牙齿的长短大小、颜色、形态、位置和角度及周围软硬组织形态是满足美观要求... 种植牙 建原 559 2024-03-06
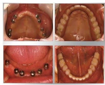
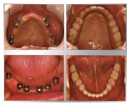
全牙列缺失后的组织变化 牙齿缺失后,上下颌骨的改变是很明显的。主要表现在牙槽骨的吸收,首先是牙槽骨的边缘的吸收,以后逐渐变圆钝,失去原有的外形和大小。牙槽骨吸收的速度与缺牙的原因、时间... 牙齿治疗 仪捷 2052 2024-03-04
种植牙手术如何进行 成功的种植牙有近于真牙的颌力,能促进牙槽骨血运,从而防止了吸收萎缩。目前世界上主要种植系统一般要做二期手术,第一期手术先把种植体植入,等愈合后再进行第二期手术,... 种植牙 速俨 509 2024-03-01
种植牙修复的条件是什么 种植义齿修复是口腔修复的一项新技术,是常规修复方式的补充,不能完全取代其他的传统修复方法。其成功的关键因素不仅涉及种植材料的性能,种植体设计的合理性与加工精度和... 种植牙 仪捷 535 2024-02-23
全口牙缺失的种植是什么 牙齿种植,是很多年轻的缺牙者会选择的修复技术。由于种植牙修复缺牙效果十分好,所以很多老年人也希望通过种植牙取得显著的口腔修复效果。其实,这并不意味着老年人就不能... 种植牙 鲜清怡 556 2024-02-19
种植牙的步骤是什么 种植牙前需要做什么检查 种植牙的修复效果受到了越来越多人的肯定,也受到了很多牙齿缺失患者的关注。很多人关心,做种植牙主要有哪些步骤,需要做哪些术前检查。... 种植牙 南光耀 581 2024-01-29
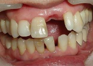
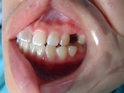
哪些牙缺失情况适合做种植牙 一般来讲,通常应在拔牙、牙槽骨手术或轻型外伤后至少3个月以上,骨缺损处恢复、骨质较致密时方可考虑种植手术。如果外伤伴有颌骨骨折,接受种植手术的时间应适当推后,一... 种植牙 公冶乐天 466 2024-01-29
种植牙的治疗过程是什么样的 经过专门培训的口腔医生才能做种植手术。手术持续时间较短,在局麻状态下进行操作。手术中需要将种植体植入牙槽骨。一旦种植体长牢,即可进行最终修复。种植后,患者需要保... 种植牙 令狐逸 530 2024-01-29
为什么牙齿缺失后要镶牙 镶牙是指牙齿缺失后,用人工方法将缺失的牙齿按原来的形状,恢复起来,继续发挥牙齿的功能,俗称假牙,医学上称义齿。制做义齿的技术称修复技术或镶复技术。... 牙齿治疗 鲜清怡 533 2024-01-15
什么叫种植牙 种植牙,学名种植义齿,并不是真的种上一颗或几颗与天然牙一样的牙齿,而是以种植材料埋植到牙槽骨内(种植体),再在其上做假牙的一种修复方法。它主要包括下部的支持种植... 种植牙 厉涵山 580 2024-01-08
牙齿缺失对牙齿的功能有影响吗 人们常用明眸皓齿来形容一个人的美丽,可见牙齿的功能不仅仅在于发挥其咀嚼作用,完整无病的牙齿不仅与人们的健康发育、成长都有密切的关系,而且还对人们发音的准确性、面... 牙齿治疗 鄂昊英 510 2024-01-05
病人镶牙前应做好口腔准备工作 牙体缺损是指各种牙体硬组织不同程度的质地和生理解剖外形的损坏或异常,表现为正常牙体形态咬合及邻接关系的破坏。牙齿缺损应该要及时镶牙。... 牙齿治疗 南光耀 621 2024-01-04
松动的牙齿可以固定吗 牙齿生长在颌骨的牙槽窝内,保持正常位置,不发生松动,这是由于有健康的牙周膜、牙槽骨及牙骨质等牙周组织当牙齿患牙周病后,如果不早期进行治疗,牙龈的炎症继续发展,导... 口腔资讯 南光耀 599 2024-01-02
拔牙后骨尖是如何形成的 应如何处理 正常人的牙列中不会有骨尖,但为什么一旦牙被拔除后会“长出”骨尖呢?骨尖是牙槽骨的一部分,牙槽骨是上下颌骨包围牙根周围的突起部分,两牙之间的牙槽骨叫牙槽间隔;各牙... 牙齿治疗 仪捷 1587 2024-01-02
种植牙宜严格掌握适应证 种植牙技术是近年口腔医疗上开展的新项目,这里所说的种牙,并不是真的种上一颗或几颗与天然牙一样的牙齿,而是以种植材料埋植到牙槽骨内(种植体),再在其上做假牙的一种... 种植牙 建原 481 2023-12-27
镶牙的重要性 牙齿缺失后尤其是后牙缺失将降低口腔的咀嚼功能,进而影响食物的消化吸收,这对老年人的健康会有负面效应。镶牙后,假牙能在一定程度上代替原来位置上的真牙行使功能,减轻... 牙齿治疗 聊华清 580 2023-12-27
成年人矫正前有哪些心理准备 理论上讲,人的牙槽骨一生都处于变化之中,任何年龄段的人进行正畸都没有限制,六十岁成年人和十二岁儿童,牙齿矫正中所施加的力对牙齿的移动效果是一样的。但是,成年人的... 牙齿矫正 捷思若 502 2023-12-26
种植义齿修复后可能有哪些并发症 种植义齿是由种植体和种植体支持的上部结构组成,经由外科手术植入颌骨内,作为人工牙根具有良好的支持作用。种植体可将合力直接传导到颌骨内,分散于较大的支持组织能够承... 种植牙 潭韶敏 497 2023-12-25