戴全口义齿可能发生什么问题 如何处理 戴全口义齿后可能发生恶心、发音不清、咬唇颊、咬舌、疼痛、固位不良和功能不良等。如果症状持续甚至加重,就应即时复诊处理。需要注意的是就诊前1-2天最好继续戴牙,... 牙齿治疗 苦冷亦 589 2023-12-25
为什么牙齿缺失后应该镶牙 有些人对口腔中缺失几颗牙齿并不重视,以为一侧牙齿没有了,可以用另一侧牙齿吃东西:后面的牙齿没有了可以用前牙凑合着用。其实,这种想法是十分错误的。因为牙齿拔除后不... 牙齿治疗 充向雪 660 2023-12-23
牙周病正畸治疗的时机 对于牙周病患者的正畸治疗应选择合适的时机,在正畸治疗前对牙周炎患者的病情进行全面检查和评估十分关键,包括错颌畸形检查、咬合检查、牙周检查、X线检查等。... 牙齿矫正 郜清淑 575 2023-12-20
带着牙根镶牙可以吗 牙科医生在临床中体验,牙颌系统只要拔了牙根,则牙槽骨马上明显走向吸收萎缩。为此,60年代中外口腔医生都力图保留牙根为患者镶上假牙。当然,牙根必须经过根管治疗,... 牙齿治疗 厉涵山 632 2023-12-19
具备什么样的条件才适合做人工种植牙 接受人工种植牙要具备一定的条件,并非所有患者都适宜行种植牙。具备以下条件中的一项或一项以上者,可根据情况选用人工种植牙。... 种植牙 潭韶敏 461 2023-12-15
种植牙前需做什么准备 牙种植术属口腔种植学范畴,它是口腔医学与工程技术相互渗透高度综合发展而成的学科。它不仅涉及到材料学、生物学、物理学、化学、数学等基础自然科学,而且与基础医学、生... 种植牙 仪捷 607 2023-12-15
正畸中牙移动后牙周围组织的改建与恢复 牙颌畸形矫治过程中面颊部肌肉等软组织也相应发生变化,以取得新的平衡这种改变,利用肌电检查可发现:如下颌向前牵引过程中主要有翼外肌活动增加。田神经肌肉机制矫治早... 牙齿矫正 范姜英杰 970 2023-12-14
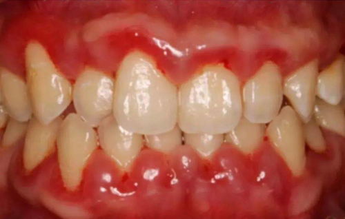
牙齿松动的原因是什么 牙齿借助于牙周膜与牙槽骨紧密相连,正常情况下,牙齿稳固,并无临床可察觉的动度,只有当牙周组织已经出现病变或病变发展到一定程度时,牙齿才会出现松动。牙周炎是牙齿松... 口腔资讯 聊华清 543 2023-12-12
影响颌正常发育的因素主要有哪些 影响颌正常发育的因素主要有两类,第一类为一般性因素是影响颌发育的主要因素,包括骨骼因素、肌肉因素、牙量与骨量的比例;第二类为局部因素,增加了颌发育的复杂性,它们... 牙齿矫正 南光耀 628 2023-12-11
种植体松动的原因是什么 种植体松动的根本原因是种植体与周围骨组织之间未形成完全的骨性结合,而仅仅是纤维组织包裹种植体。因纤维组织无承受负荷的能力,而且易导致感染,从而导致种植体松动。... 种植牙 钟苒 464 2023-12-06
种植义齿修复的条件是什么 患者牙列缺损以后,牙槽骨的吸收情况,残余牙槽嵴的形态。骨的质量。骨皮质与骨松质的比例,缺牙区颌骨的高度、宽度、厚度等,都是应考虑的因素。... 种植牙 建原 524 2023-12-06
牙颌的生理功能是什么 牙是直接行使咀嚼功能的器官,与发音语言及保持面部正常形态、心理健康等均有密切关系。食物进入口腔后,经过牙的切割、撕裂、捣碎和磨细等一系列机械加工过程,并与唾液混... 牙齿治疗 公冶乐天 658 2023-12-06
固定义齿戴用后可能出现的问题和处理 固定义齿的寿命是由多种因素决定的。固定义齿修复的生理基础是基牙,基牙的代偿功能可随着年龄、局部和全身健康情况等有所变化。因此,固定义齿给基牙带来的额外负担在一定... 牙齿治疗 所晴丽 1506 2023-12-05
种植牙的适应证有什么 随着种植义齿的不断发展,其优越性及在长期的临床实践中,所取得的优良效果逐渐展现在人们面前,加之人们对修复要求的提高和观念上的不断更新,其适应证在不断拓宽。临床上... 种植牙 令狐逸 470 2023-12-05
牙列缺损修复前需做什么准备 缺牙刚开始时,缺牙区牙槽窝内立即有血块充满,血块内含有纤维素网,在网眼内充满红血球、白血球。牙龈组织由于失掉牙齿的支持而向下塌陷,且与血块接触,这就保护了血块使... 牙齿治疗 巨伟懋 543 2023-12-04
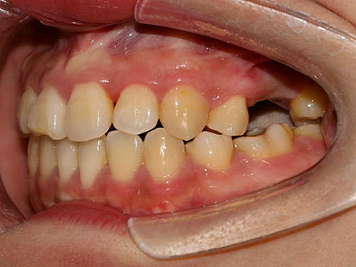
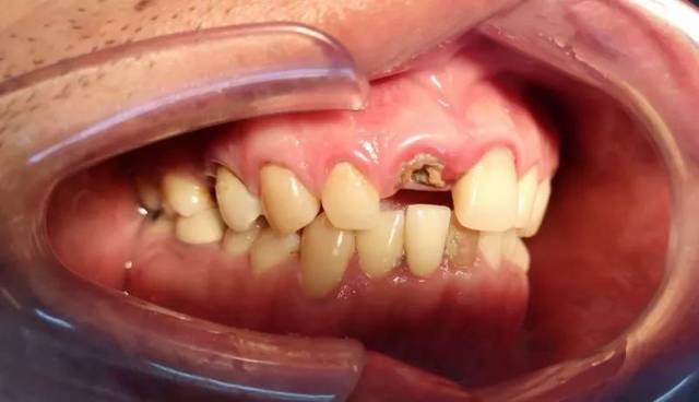
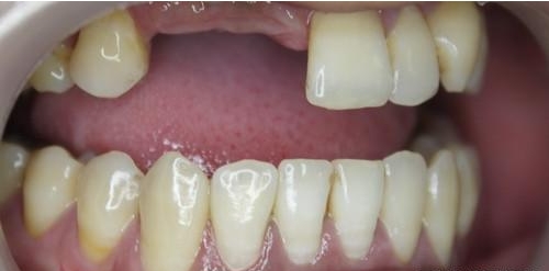
牙列缺损的临床表现有哪些 牙列缺损对牙周组织有一定影响。特别是生长发育期,咬颌尚未建立一定的锁结关系,若一个或多个牙缺失,尤其是长期缺失则相邻的牙可以向缺牙间隙倾倒移位造成牙的排列及咬合... 牙齿治疗 商清卓 592 2023-12-04
骨内种植体的分类有哪些 目前骨内种植体是临床应用最为广泛的种植体类型,本书主要介绍此类型种植体的应用经验有关此类型种植体的分类方式较多,为便于本书以后章节的描述和便于读者对各种描述的理... 种植牙 南光耀 732 2023-12-04
何种情况的患者适合种植义齿 口腔修复中遇到的无牙颌、牙槽嵴萎缩或不能适应活动托牙的病人,可说是束手无策;而种植义齿恰好填补了某些常规修复未能解决的问题,故在目前的口腔医疗界深受医师及患者的... 种植牙 丰尔槐 536 2023-12-04