拔牙术后的并发症及防治 尽管拔牙术是口腔颌面外科最常见的手术之一,但是拔牙和一般外科手术一样,不仅能造成局部组织不同程度的损伤,而且还能引起患者全身的生理反应和心理反应,如果术前估计不... 牙齿治疗 充向雪 1531 2024-03-07
拔牙的基本步骤有哪些 牙拔除术是口腔颌面外科门诊最常见的手术,是治疗某些牙病和由其引起的局部或全身一些疾病的手段。在完成拔牙前的准备,局部麻醉显效后,再次核对需拔除的牙齿,让患者有足... 牙齿治疗 令狐逸 696 2024-03-07
拔牙前后的注意事项有哪些 尽管拔牙是口腔颌面外科最常见的手术之一,但是拔牙和一般外科手术一样,不仅能造成局部组织不同程度的损伤,而且还能引起患者全身的生理反应和心理反应,如果术前估计不足... 牙齿治疗 丰尔槐 618 2024-01-29
哪些牙齿疾病需要做根管治疗 在日常生活中,也可能因牙齿外面的硬组织受伤缺损,使牙神经也受损伤而引起坏死:牙神经一旦坏死,不但影响牙齿的功能,而且还会引起牙齿病变,所以人们通常将坏死的牙神经... 根管治疗 阙德厚 638 2024-01-24
拔牙后应该注意什么 牙齿拔除后,应遵照医嘱咬紧棉花或纱布,过半个小时以后吐掉棉花或纱布,两个小时以后再进食。咬棉花和纱布是为了压迫止血,而过长时间的咬棉花纱布,会阻碍血块的形成。... 牙齿治疗 仪捷 694 2023-12-23
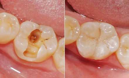
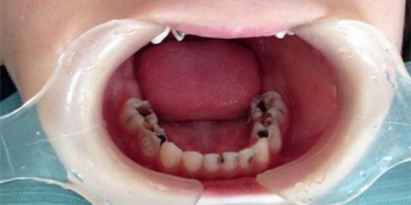
治疗龋齿有什么重要性 龋齿在世界上是常见病、多发病,并且可以诱发出多种慢性疾患。乳牙可以患龋齿,恒牙也可以患龋齿。龋齿是细菌从牙齿感染进入人体内的一个开端。极高的翻齿发病率,使许多牙... 牙齿治疗 仙千风 748 2023-12-19
龋齿有什么危害 龋齿是威胁人类身体健康的一种常见病、多发病。根据我国的大量调查发现,我国人民患龋率为37.3%,患龋者平均每人有龋齿2.47颗。由此推算,我国有龋病患者约... 牙齿治疗 鄂昊英 643 2023-11-28
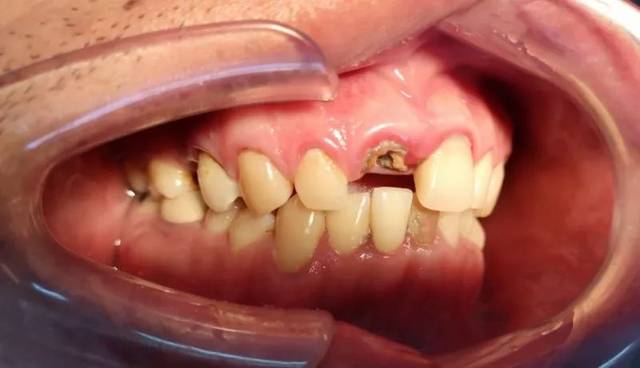
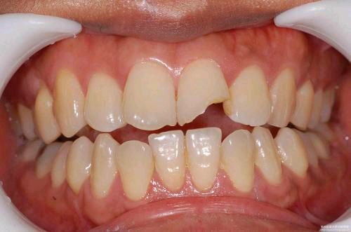
意外的牙齿外伤后应该怎么办 牙齿外伤是指牙齿受到急剧创伤,特别是打击或撞击伤所引起的牙体、牙髓和牙周组织损伤。一般分为:牙齿震荡,包括牙周损伤、牙髓损伤、牙体损伤;牙齿折断,包括牙冠折断、... 补牙 谬长逸 672 2023-11-25
补牙为什么越早越好 如果患了龋病就应尽可能地早修补,因为龋洞经过修补后可以阻止龋病病变的发展,及早恢复牙齿的功能,保持牙列的完整若不进行及时治疗,病变就会越来越大,从浅龋发展到深龋... 补牙 范姜英杰 569 2023-11-25
什么是龋齿 龋齿,俗称“虫牙”、“蛀牙”,它并不是虫子把牙齿蛀坏了,而是在以细菌为主的多种因素影响下,牙齿的牙釉质、牙本质或牙骨质发生的一种慢性、进行性、破坏性的疾病。龋齿... 补牙 吴芳芳 550 2023-11-15
牙齿拔除后有什么注意事项 有些人在拔牙后大松一口气,以为从此相安无事、高枕无忧。但其实,拔牙后也有需要注意的地方。拔牙虽然是小手术,如果不注意保护拔牙后的创口,也会造成一些麻烦。那么,拔... 拔牙 彤依波 573 2023-11-07
什么是根管治疗 根管治疗怎么进行 人的牙齿里有神经,牙神经供给牙齿营养物质,维持牙齿的生长和发育。它位于牙齿中间,由牙齿表面的硬组织保护,因此,牙齿表面的硬组织和牙神经二者的关系很密切,是互相依... 根管治疗 潭韶敏 596 2023-11-02