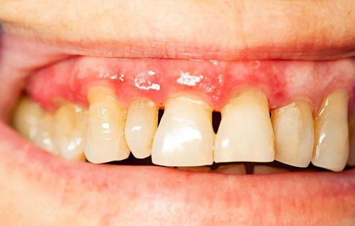
青少年牙周炎怎么治疗 青少年牙周炎是指发生在青少年时期的一种特殊类型的牙周炎。病情发展较快,病因尚未完全清楚。局部因素主要为特异性细菌的感染。全身因素主要是机体防御能力缺陷,特别是患... 牙齿治疗 令狐逸 639 2024-03-18
青少年牙周炎如何治疗 青少年牙周炎具有牙周组织炎症病变发展迅速的特点。它严重影响青少年的咀嚼、发音、美观和颌面部发育。青少年牙周炎治疗原则:牙周系统治疗;抗菌药物的应用;调整机体防御... 牙齿治疗 厉涵山 627 2023-11-07
种牙小知识:种牙期间要怎么控制牙周炎的病情? 在种牙过程中,对于本身患有牙周炎的患者来说,控制病情至关重要。牙周炎若得不到有效控制,不仅会影响种牙的效果和成功率,还可能给口腔健康带来更多问题。下面我们就来详... 种植牙 仪捷 1680 2024-08-13
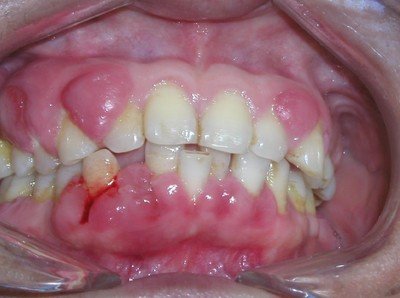
牙周炎会导致牙齿松动吗?牙齿松动后应该如何处理? 在口腔疾病中,牙周炎是一种常见且危害较大的病症,它对牙齿的稳固性有着重要影响。下面我们就来详细探讨这两个关键问题。一、牙周炎与牙齿松动的关系牙周炎的病理机制牙周... 口腔资讯 南光耀 1654 2024-07-30
正畸科普:正畸治疗期间如何控制牙周炎的病情? 在正畸治疗的过程中,对于本身患有牙周炎的患者来说,控制病情的发展至关重要。牙周炎不仅会影响正畸治疗的效果,还可能对口腔健康造成更严重的损害。下面我将为您详细介绍... 牙齿矫正 充向雪 972 2024-07-26
正畸科普:牙周炎患者在正畸治疗过程中应该注意哪些事项? 对于牙周炎患者来说,选择正畸治疗是一个改善牙齿排列和咬合关系的机会,但在治疗过程中需要格外谨慎和注意。下面我将为您详细介绍牙周炎患者在正畸治疗过程中的注意事项。... 牙齿矫正 丰尔槐 1040 2024-07-26
正畸小知识:牙周炎患者在正畸治疗前需要进行哪些处理? 在正畸治疗的领域中,牙周炎患者的情况需要特别关注和谨慎处理。牙周炎是一种常见的口腔疾病,会对牙齿的支持组织造成损害,如果在正畸治疗前没有进行恰当的处理,可能会加... 牙齿矫正 丘乐正 718 2024-07-26
窝沟封闭和补牙有什么区别?儿童和青少年补牙后需要注意什么? 在儿童和青少年的口腔保健中,窝沟封闭和补牙是常见的两种牙齿保护措施。然而,很多家长对于这两者的区别并不十分清楚,同时也不太了解孩子补牙后需要注意的事项。接下来,... 牙齿治疗 丰尔槐 2106 2024-07-22
牙周炎要怎么治疗?牙周炎有什么控制措施吗? 牙周炎是一种常见的口腔慢性炎症性疾病,如果不及时治疗和控制,可能会导致牙齿松动、脱落等严重后果。了解牙周炎的治疗方法和控制措施对于维护口腔健康至关重要。接下来,... 口腔资讯 阙德厚 1536 2024-07-13
牙周炎有哪些危害?日常生活中应该如何预防牙周炎? 牙周炎是一种常见的口腔慢性炎症,它会对口腔健康乃至全身健康产生诸多不良影响。了解牙周炎的危害并掌握有效的预防方法对于维护我们的口腔和全身健康至关重要。接下来,让... 口腔资讯 厉涵山 909 2024-07-12
牙科小知识:牙周炎不治疗的话会有哪些严重后果? 牙周炎是一种常见的口腔慢性炎症性疾病,在人群中有着较高的发病率。然而,由于其症状在初期往往不太明显,容易被人们忽视。如果牙周炎得不到及时有效的治疗,将会给口腔健... 口腔资讯 员文石 1289 2024-07-12
牙痛的时候可以做牙齿治疗吗?牙周炎需要治疗吗? 在日常生活中,牙痛和牙周问题是许多人都会遇到的口腔困扰。当牙痛发生时,不少人会纠结是否可以立即进行牙齿治疗;而对于牙周炎,有些人对其治疗的必要性也存在疑问。接下... 口腔资讯 商清卓 795 2024-07-12