骨性开颌的治疗过程是怎么样的 控制好垂直高度是成功治疗骨性开颌的关键。治疗应增加后前面高比,促进下颌骨向前上旋转和踝状突的垂直向生长。通过压低磨牙使下颌骨发生逆时针旋转是治疗中决定性的一步。... 牙齿矫正 admin 649 2023-10-24
什么是早期治疗 牙性开颌和骨性开颌有什么不同 早期治疗:乳牙列或混合牙列期即开始的治疗,它在恒牙列萌出之前促进牙及颌骨的发育。它的目的是矫正错颌畸形或阻断错颌的形成,也是为了减少恒牙列矫正的需要或是减短恒牙... 牙齿矫正 admin 564 2023-10-24
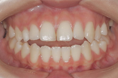
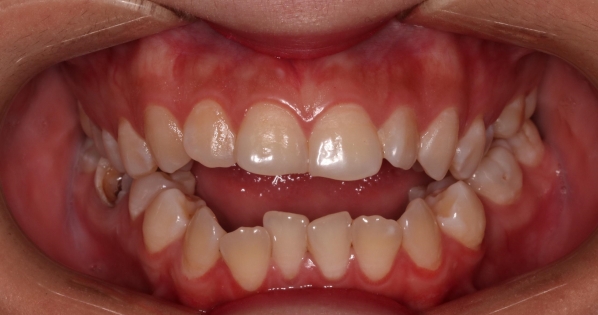
如何区分牙性龅牙和骨性龅牙?牙性龅牙和骨性龅牙的治疗方法 在牙科领域,龅牙是一种常见的牙齿和颌面畸形,给患者的美观和口腔功能带来一定影响。龅牙分为牙性龅牙和骨性龅牙两种类型,它们的成因和治疗方法有所不同。下面我们就来详... 牙齿矫正 令狐逸 1514 2024-08-09
除了手术,还有哪些方法可以改善骨性错颌畸形? 骨性错颌畸形是一种较为复杂的口腔问题,不仅影响面部美观,还可能对咀嚼、发音等功能产生不良影响。在过去,手术往往被认为是改善骨性错颌畸形的主要方法。然而,随着口腔... 牙齿矫正 令狐逸 981 2024-07-31
为什么要拔掉好的牙齿做矫正?骨性牙要怎么矫正? 在牙齿矫正的领域中,常常会遇到一些让人疑惑的问题,比如为什么有时候要拔掉看起来还不错的牙齿来进行矫正,以及骨性牙该如何进行有效的矫正。这些问题困扰着许多想要进行... 牙齿矫正 仙千风 688 2024-06-17
正畸知识:骨性地包天不矫正的话会不会越来越严重? 骨性地包天是一种较为常见的错颌畸形,它不仅影响面部美观,还可能对口腔功能产生一定影响。很多人会关心如果骨性地包天不进行矫正,是否会变得越来越严重。本文将详细探讨... 牙齿矫正 朱小溪 1474 2024-06-12
骨性牙齿可以矫正好吗?牙齿矫正都要打骨钉吗? 在牙科领域,骨性牙齿问题和牙齿矫正过程中的一些具体操作常常是患者们关心的焦点。骨性牙齿是否可以通过矫正得到良好改善?牙齿矫正是否一定都要打骨钉?本文将深入剖析这... 牙齿矫正 南光耀 738 2024-06-03
骨性凸嘴矫正手术风险大吗? 骨性凸嘴,是一种常见的颌面部畸形,其特征是上颌前突,导致面部轮廓突出,给患者带来不仅仅是外观上的不满意,还可能伴咀嚼功能障碍、牙齿不正等问题。对患有骨性凸嘴... 牙齿矫正 sunchuhao 1460 2024-05-23
解析:儿童牙套能治疗改善骨性牙突吗,矫正价格贵不贵 骨性牙突是一种严重的牙齿畸形问题,不仅影响面部美观,还可能导致咬合功能障碍、口腔健康问题以及心理问题。特别是在儿童时期,如果不及时进行矫正,问题可能会加重。... 牙齿矫正 sunchuhao 486 2024-05-23
开颌的临床表现及治疗原则 开颌是指前牙或后牙在垂直方向上不能咬合,在安氏三种类型的错颌中都可能出现开颌,最常见的是下颌后缩,伴以安氏Ⅱ类错颌。开颌在临床上较少见。可见于乳牙期、替牙期和恒... 牙齿矫正 建原 1721 2024-03-14
骨性错颌的矫治时机和矫治限度 在对错颌畸形患者进行检查诊断和制定治疗方案时,首先要区分其为牙性错颌还是骨性错颌,因为,这两大类错颌的矫治原则和临床处理方法是大不相同的。目前,骨性错颌的矫治主... 牙齿矫正 笪冰夏 1101 2024-03-11
开颌的病因是什么 开颌有哪些临床表现 开颌主要是上下牙弓及颌骨垂直向发育异常具体表现在前段牙、牙槽或颌骨高度发育不足,后段牙牙槽或颌骨高度发育过度,或二者皆有之。其临床表现是上下颌牙在正中颌位及下颌... 牙齿矫正 富南烟 1088 2023-12-28