替牙期的异常现象是什么 替换的年龄与恒牙萌出时间有关。一般来说儿童在6岁前后乳牙被替换,到12岁以后替换完毕,6~12岁称为替牙期。这时期儿童口腔中所有乳牙将被恒牙所替代,并在乳磨牙后... 口腔资讯 鲜清怡 597 2024-01-20
龋病是如何发生的 根据世界卫生组织提供的数据表明,目前龋病的发展出现两个趋势,即在发达国家龋病的患病率在较高的基础上呈现下降的趋势。而在发展中国家,龋病的患病率在较低的基础上呈现... 牙齿治疗 谬长逸 832 2023-12-22
牙齿拥挤的矫治是什么样的 单纯的牙齿拥挤一般指磨牙的咬合关系为正常,而前牙出现拥挤或参差不齐的情况。所以矫治这类病例,一般不用考虑后牙的矫治关系,只要解决前牙拥挤的问题就可以了。就是说只... 牙齿矫正 苦冷亦 593 2023-12-21
牙齿错颌畸形的危害是什么 在儿童生长发育过程中,由于遗传、疾病功能紊乱或替牙期故障等因素的影响而导致牙齿、颌骨、颅面的畸形,如牙齿排列不齐、上下牙弓关系不调,牙弓与颌骨、颌骨与颅面等关系... 牙齿矫正 所晴丽 561 2023-12-04
牙齿为什么会拥挤不齐 这是一个有趣的话题,而且说来话长。根据考古发现和人类学研究资料,已知在距今50~80万年前的古人类头骨化石上未发现牙颌畸形,生活在10万年前的尼安德特人... 牙齿矫正 鄂昊英 551 2023-11-10
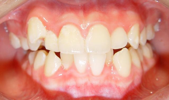
牙齿拥挤的原因是什么 牙齿拥挤的临床表现是什么 牙拥挤是错颌中最为常见的一种类型,占错颌的60%~70%。牙拥挤是牙量(牙的总宽度)与骨量(齿槽弓总长度)的不调,即为牙量大于骨量而引起,牙弓的实际... 牙齿矫正 所晴丽 518 2023-11-01
牙齿拥挤程度是什么样的 牙齿拥挤该怎么处理 乳牙列期牙列拥挤极少见,主要见于混合牙列期。早期上下颌恒切牙常出现牙拥挤,首先应区分此拥挤是暂时性还是永久性的。轻度的前牙拥挤可以随恒牙萌出,颌骨及牙弓的发育及... 牙齿矫正 彤依波 601 2023-11-01