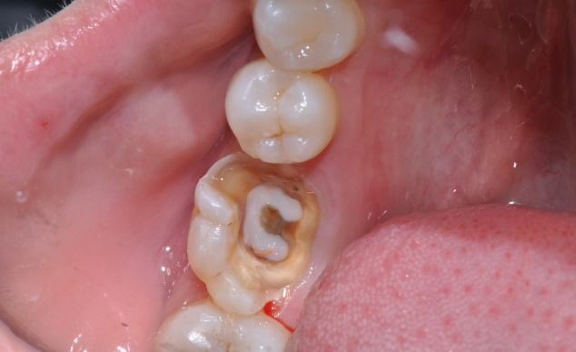
残留牙根该不该拔掉 先进的牙科治疗技术并不主张多拔牙,而是主张尽量保留住牙齿,甚至对病牙、牙根也用精湛的医疗技术予以保留,使其在咀嚼功能中多发挥作用,尽量做到牙齿与人同寿。牙齿断了... 口腔资讯 速俨 610 2023-10-28
牙根拔除后如何缓解疼痛和肿胀?如何预防牙根拔除后感染? 牙根拔除是一种常见的牙科治疗方式,但术后往往会伴随疼痛和肿胀等不适,同时也存在感染的风险。了解有效的缓解方法和预防措施对于患者的术后恢复至关重要。下面我们将详细... 口腔资讯 南光耀 1062 2024-08-09
牙科小知识:牙根拔除后的风险和并发症有哪些? 在牙科治疗中,有时需要拔除牙根来解决严重的牙齿问题。然而,牙根拔除并非毫无风险,可能会引发一些并发症。了解这些风险和并发症对于患者在决定治疗方案以及术后护理方面... 口腔资讯 公冶乐天 2003 2024-08-09
哪些情况下残留的牙根不能被保留?拔除残留牙根对口腔健康有影响吗? 在牙科诊疗中,经常会遇到患者有残留牙根的情况。对于这些残留牙根,能否保留以及保留后的效果是患者和医生都需要慎重考虑的问题。下面我们就来详细探讨哪些情况下残留的牙... 口腔资讯 仙千风 2352 2024-08-09
做种植牙用不用拔牙根?牙槽骨不好是不是不能种牙? 在考虑种植牙这一牙齿修复方案时,许多患者常常会有诸如“做种植牙用不用拔牙根”以及“牙槽骨不好是不是不能种牙”等疑问。这些问题的答案并非简单的“是”或“否”,而是... 种植牙 彤依波 1126 2024-07-27
拔牙之后牙根不好还可以种牙吗?种植体不正可以调整吗? 在牙科治疗中,拔牙后的修复方式以及种植牙过程中可能出现的问题常常困扰着患者。今天,作为牙科医生,我将为您详细解答“拔牙之后牙根不好还可以种牙吗?种植体不正可以调... 种植牙 笪冰夏 811 2024-07-23
种牙小知识:牙根还在做种植牙的具体过程是怎样的? 在牙科治疗中,当牙根还在但无法通过常规治疗保留其功能时,种植牙是一种常见的修复选择。作为一名牙科医生,下面我将为您详细介绍牙根还在做种植牙的具体过程。一、术前准... 种植牙 彤依波 719 2024-07-19
牙根还在可以做种植牙吗?种植牙骨吸收是什么? 在牙科领域,关于牙齿修复的选择和相关问题常常困扰着患者。下面我将为您详细解答“牙根还在是否可以做种植牙”以及“种植牙骨吸收”的相关内容。一、牙根还在能否做种植牙... 种植牙 建原 1143 2024-07-19
牙科小知识:牙根吸收会对牙齿的健康产生哪些影响? 在牙科领域,牙根吸收是一个不容忽视的问题。它不仅可能影响牙齿的正常功能,还会对口腔健康和整体生活质量带来一系列的挑战。为了让大家更好地了解牙根吸收的相关知识,下... 牙齿矫正 鲜清怡 1714 2024-07-05
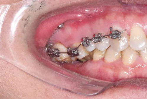
正畸科普:牙齿矫正过程中如何预防牙根吸收? 在追求美丽整齐的牙齿过程中,牙齿矫正成为了越来越多人的选择。然而,在牙齿矫正过程中,可能会出现一些潜在的问题,牙根吸收就是其中之一。牙根吸收可能会影响牙齿的稳定... 牙齿矫正 guoliangping 1357 2024-07-05
种植牙骨吸收是什么意思?牙根还在能种牙吗? 在口腔医学领域,种植牙是一种常见且有效的修复牙齿缺失的方法。然而,在种植牙的过程中,人们可能会听到一些专业术语,比如种植牙骨吸收,同时也会有一些关于牙根情况与种... 种植牙 丘乐正 916 2024-06-17