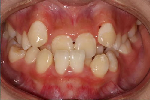
前牙反颌是指在正中咬合时,前牙呈反覆颌、反覆盖关系,俗称“地包天”,是我国儿童中较为常见的一种错颌。前牙反颌不仅造成口腔功能异常,而且对颜面的美观及心理健康也有严重影响。

1.遗传因素:
安氏Ⅲ类错颌有明显的家族倾向。据有关资料统计,近50%的患者一至三代的血缘亲属中有类似错颌存在,同时也会受到环境因素的影响。因此,临床不能通过简单的询问家族史来区别反颌的类型并估计预后。
2.先天性疾病:
先天性唇、腮裂是安氏Ⅲ类错颌的重要病因之一。由于唇、腭裂造成了上颌骨发育不足、下颌骨发育正常或过度发育,而导致前牙反颌或全牙列反颌。另外其他一些先天性疾病也可能是安氏Ⅲ类错颌的病因,如先天性梅毒可引起颌骨发育不足,先天性巨舌症可造成下颌发育过大,上颌恒牙先天缺失也常伴有前牙反颌等。
3. 后天原因:
后天因素的影响,也是造成前牙反颌的因素之一。
(1) 全身性疾病:脑垂体功能亢进所导致的肢端肥大症,可表现为肢端肥大、下颌明显突出、前牙或全牙列反颌。向偻病、甲状腺功能亢进都能导致严重的前牙反颌。
(2) 呼吸道疾病:慢性扁桃体炎、腺样体增生肿大所致的呼吸道不畅,导致舌体常向前伸并带动下颌向前,形成前牙反颌、下颌前突。
(3) 乳牙及替牙期局部障碍:乳牙与替牙期局部障碍是前牙反颌形成的一个重要的后天原因。
乳磨牙的邻面龋:使牙冠的近远中径减小,牙的位置发生改变,形成早接触和颌干扰而乳牙期颌关系不稳定,下颌关节形态未发育完成,变动范围大,神经肌肉反射易于改变早接触和颌干扰极易诱发下颌关闭路径向前,或者向前侧方改变,形成前牙反颌或前牙与侧后牙反颌。
上颌乳切牙早失:该部位的牙槽骨发育受到影响,恒切牙萌出时位置常偏舌侧与对颌牙产生早接触,诱发下颌关闭时向前移位,造成前牙反颌。
多数乳磨牙早失:导致咀嚼发生困难,患儿被迫使用前牙进行咀嚼,日久形成下颌前突、前牙反颌。
上颌乳切牙滞留:致使恒切牙腮侧萌出,与对颌牙形成了反颌关系。
乳尖牙磨耗不足:导致早接触,迫使下颌前仲,形成前牙反颌或前牙及一侧后牙反颌。

(4) 口腔不良习惯:咬上唇习惯、下颌前伸习惯、吮指习惯及不正确的人工喂养都可以造成前牙反颌、下颌前突。
标签: #前牙反颌
评论列表