龋病的临床表现是什么 龋病表现为牙体硬组织出现色、形、质的改变,龋破坏过程表现为在牙体组织内,脱矿与再矿化交替进行,当脱矿大于再矿化时,龋病开始发生。随着牙齿无机成分溶解脱矿,有机成... 牙齿治疗 申屠亦凝 861 2024-04-09
龋的临床表现是什么 龋的临床表现可以概括为患者牙齿色、形、质的变化和患者感觉的变化。正常的牙釉质呈半透明状,牙本质的颜色为淡黄色。正常牙齿的颜色主要是透过牙釉质显现出来的牙本质色。... 牙齿治疗 南光耀 1202 2024-04-07
龋齿的发生还与哪些因素有关 龋齿是一种多因素的疾病,其中最主要的有这样四个因素,即细菌、食物、牙齿和时间。这四个因素共同造成龋齿,如果把每个因素用1个圆圈代表的话,四个圆圈相交的部位就是龋... 牙齿治疗 所晴丽 666 2024-03-28
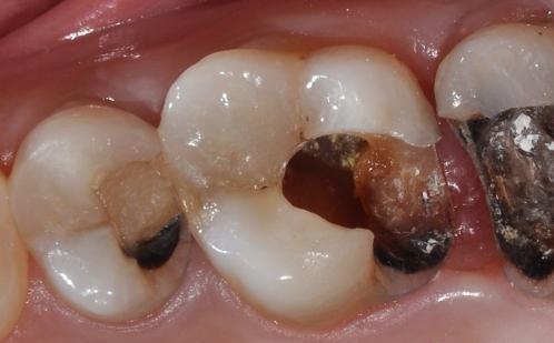
为什么补牙有时不能一次完成 很多人认为补牙就是用某种材料将“牙洞”直接补起来就行了,于是当口腔医生告诉他这颗坏牙要多次复诊才能补牙时感到不解。其实补牙并不是想象的那么简单,有的牙可以一次补... 牙齿治疗 仪捷 1419 2024-03-22
龋洞是如何充填的 目前对龋病最常用的治疗方法是牙体修复法,即用手术方法修复牙体缺损的治疗技术,包括充填法、嵌体和冠修复。大多数龋洞用充填法修复可以取得满意的效果。但有时由于现有充... 牙齿治疗 鄂昊英 720 2024-03-19
龋病应该何时就诊 如果怀疑自己得了龋病,应该马上去医院就诊,以免延误治疗时机。实际上对于牙齿疾病来说,有时疾病初期并没有自觉症状,由于条件及专业知识的限制自己很难早期检查发现疾病... 牙齿治疗 钟苒 756 2024-03-19
龋病的诊断要点及治疗原则 齲病为人类口腔中常见病和多发病,其特征为牙体硬组织逐渐毁坏崩解,初起时症状并不明显,形成龋洞时伴发疼痛,如不及时治疗,损害可波及牙髓面引起牙髓病和根尖周病,甚至... 牙齿治疗 丘乐正 3412 2024-03-14
为什么说牙齿有龋应立即治疗 牙齿作为人体的咀嚼器官,有其独特的生物学特性,有一定的再矿化能力,所谓牙齿的再矿化是指牙釉质可以从口腔环境中摄取钙、磷和氟化物,使早期的已脱矿的牙釉质发生再矿化... 牙齿治疗 充向雪 646 2024-03-12
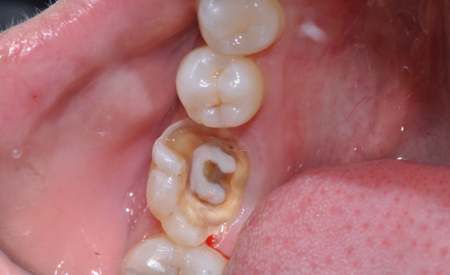
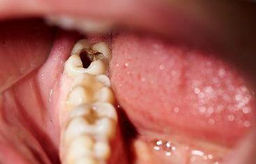
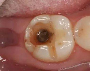
怎么样才能知道牙齿有龋洞 龋病对牙齿的破坏,绝大多数是从牙齿表面向深部逐渐发展,即从牙釉质或牙骨质向牙本质发展,最终影响到牙神经,引起疼痛。因此,早期发现牙齿有龋洞早期治疗,不仅可以避免... 牙齿治疗 仪捷 679 2024-03-12
龋病的非手术治疗是什么 龋病是一种进行性疾病,不能通过组织再生自行修复。龋病引起的牙体缺损,必须人工修复替代。龋病的治疗方法较多,不同程度的龋损,有不同的选择。... 牙齿治疗 阙德厚 910 2024-03-08
窝洞充填常见问题及处理方法 备洞时按一般的备洞原则进行,深度包括牙釉质全层和牙本质层的一部分。如龋损面不大,一般备洞后就可去尽龋坏组织。用探针或挖匙探查洞壁及洞底部是否还有软化牙本质存在,... 牙齿治疗 仙千风 2356 2024-03-04
复合树脂充填修复是什么样的 复合树脂主要是以甲基丙烯酸甲酯类和环氧树脂类的聚合体所组成,并含70%以上的无机粒子,如玻璃微粒或纤维、石英等,所以有很强的耐磨性及高强度。品质优良的复合树脂在... 牙齿治疗 充向雪 710 2024-02-28
龋齿可以自行修复吗 龋齿是一种牙齿硬组织的慢性进行性破坏性疾病。龋齿病变的过程实际上是一个脱矿与再矿化交替进行的过程,并可在一定程度上处于相互平衡的状态。... 牙齿治疗 充向雪 709 2024-02-20
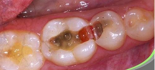
龋齿的表现有哪些 龋齿,俗称“虫牙”“蛀牙”,它并不是虫子把牙齿蛀坏了,而是在以细菌为主的多种因素影响下,牙齿的牙釉质、牙本质或牙骨质发生的一种慢性、进行性、破坏性的疾病。龋齿是... 牙齿治疗 仙千风 1421 2024-02-20
龋齿是怎样发生的 龋齿俗称“虫牙”或“蛀牙”,意思是虫子把牙齿蛀坏的。其实龋洞里并没有虫子,蛀牙的说法是不科学的。龋齿是一种多因素的疾病,其中最主要的有这样四个因素即细菌、食物、... 牙齿治疗 申屠亦凝 665 2024-01-18
牙齿修补后可能会出现哪些问题 牙齿经过修补之后,多数能恢复正常的咀嚼功能,但有时仍会出现这样或那样的问题。有人刚补过牙,咬东西时感到牙齿疼痛不敢咀嚼,但补上的材料并没有脱落,不吃东西时无任何... 牙齿治疗 闾鸿达 591 2024-01-17
怎样才能知道牙齿有龋洞 龋病对牙齿的破坏,绝大多数是从牙齿表面向深部逐渐发展,即从牙釉质或牙骨质向牙本质发展,最终影响到牙神经,引起疼痛。因此,早期发现牙齿有龋洞早期治疗,不仅可以避免... 口腔资讯 仙千风 631 2024-01-10
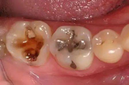
牙齿黑是怎么了 当看到后牙的颌面或者前牙的边缘有黑色时,您是否意识到,牙齿生病了呢?这就是我们常说的“虫牙”,学名龋病。“虫牙”不是真的有虫,而是微生物感染造成的细菌性疾病。龋... 口腔资讯 令狐逸 752 2024-01-08
牙齿有龋应该立即治疗吗 牙齿作为人体的咀嚼器官,有其独特的生物学特性,有一定的再矿化能力,所谓牙齿的再矿化是指牙釉质可以从口腔环境中摄取钙、磷和氟化物,使早期的已脱矿的牙釉质发生再矿化... 牙齿治疗 朱小溪 644 2023-12-25
牙齿发育与龋病的关系怎样 影响龋病发病的宿主因素主要是指牙齿和唾液。人的口腔中共有32颗牙齿,其形态各异,排列不均。一般来说,如果牙釉质发育完好,且排列整齐,就不易感染龋病。这是因为在... 牙齿治疗 丰尔槐 748 2023-12-11