什么是早期治疗 牙性开颌和骨性开颌有什么不同 早期治疗:乳牙列或混合牙列期即开始的治疗,它在恒牙列萌出之前促进牙及颌骨的发育。它的目的是矫正错颌畸形或阻断错颌的形成,也是为了减少恒牙列矫正的需要或是减短恒牙... 牙齿矫正 admin 569 2023-10-24
如何区分牙性龅牙和骨性龅牙?牙性龅牙和骨性龅牙的治疗方法 在牙科领域,龅牙是一种常见的牙齿和颌面畸形,给患者的美观和口腔功能带来一定影响。龅牙分为牙性龅牙和骨性龅牙两种类型,它们的成因和治疗方法有所不同。下面我们就来详... 牙齿矫正 令狐逸 1551 2024-08-09
韩国多普勒种植牙是几级钛?韩系种植牙性价比高吗? 在口腔种植牙领域,韩国种植牙作为一支常用的力量,受到患者青睐。韩国多普勒种植牙以其先进的技术和优质的商品受到关注。... 种植牙 guoliangping 607 2024-05-21
韩国SG种植牙性能如何?6000元一颗是啥档次? 种植牙作为一种常见的口腔修复方式,受到许多患者的青睐。而在众多种植牙品牌中,韩国SG种植牙受到关注。今天,我们将深入聊聊韩国SG种植牙的性能表现以及6000... 种植牙 sunchuhao 837 2024-05-21
开颌的临床表现及治疗原则 开颌是指前牙或后牙在垂直方向上不能咬合,在安氏三种类型的错颌中都可能出现开颌,最常见的是下颌后缩,伴以安氏Ⅱ类错颌。开颌在临床上较少见。可见于乳牙期、替牙期和恒... 牙齿矫正 建原 1732 2024-03-14
牙性错颌的矫治时机与矫治限度 一般而言,牙性错颌的最佳矫治时间是恒牙颌初期,此时,身体正处于青春快速发育期,牙周组织对矫治力有良好的反应,且有较好的生长潜力,有利于复杂的牙性错颌畸形的综合性... 牙齿矫正 申屠亦凝 696 2024-03-11
开颌的病因是什么 开颌有哪些临床表现 开颌主要是上下牙弓及颌骨垂直向发育异常具体表现在前段牙、牙槽或颌骨高度发育不足,后段牙牙槽或颌骨高度发育过度,或二者皆有之。其临床表现是上下颌牙在正中颌位及下颌... 牙齿矫正 富南烟 1095 2023-12-28
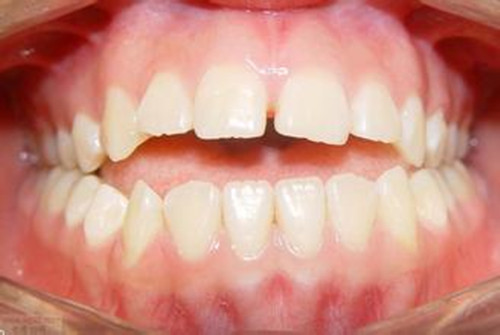
开颌是怎么得的 开颌怎么治疗 开颌为后牙最大面积咬合时前牙无接触的一种错颌畸形,多因儿童不良口腔习惯造成。开颌不仅丧失切割和咀嚼功能,而且影响到吞咽、语言、呼吸等功能。开颌还影响面部骨骼高度... 牙齿矫正 建原 729 2023-12-15
开颌的病因有什么 开颌是一类垂直向关系不调的牙颌畸形,其表现为前牙区、前磨牙区甚至磨牙区出现牙齿无咬合接触。开颌的形成及发展可由多种因素造成,临床上从乳牙列期到恒牙列期的各个牙颌... 牙齿矫正 吴芳芳 988 2023-12-06
开颌的原因是什么 开颌的临床表现是什么 开颌是指在正中颌位时,上下颌部分牙在垂直方向无颌接触的现象。开颌可发生在乳牙期、替牙期和恒牙期。临床以恒牙列期最为常见,主要机制是上下牙弓及颌骨垂直向发育异常所... 牙齿矫正 郜清淑 612 2023-11-02
骨性开颌的治疗过程是怎么样的 控制好垂直高度是成功治疗骨性开颌的关键。治疗应增加后前面高比,促进下颌骨向前上旋转和踝状突的垂直向生长。通过压低磨牙使下颌骨发生逆时针旋转是治疗中决定性的一步。... 牙齿矫正 admin 656 2023-10-24