牙体预备会损伤牙髓吗 在牙体预备时,为开辟足够的修复体间隙和取得就位道,常常要磨除一部分牙本质。当牙本质小管受到机械、化学、物理性刺激,牙髓会产生应激反应。根据刺激的强度、性质和持续... 牙齿治疗 员文石 794 2024-03-07
为什么说“杀牙神经”轻率不得 牙病患者大多对“杀牙神经”并不陌生,有的一坐上治疗椅第一句话就是要求“杀牙神经”,但他们当中对于“杀牙神经”的目的和作用真的有所了解吗?... 牙齿治疗 南光耀 673 2024-02-20
为什么儿童容易患龋齿 儿童龋齿发病率高,据调查资料来看它与生活的环境、条件有关,与牙齿本身的发育结构、饮食习惯、口腔卫生状况有着密切关系。儿童乳牙容易患龋的原因如下。... 口腔资讯 壬以松 717 2023-12-07
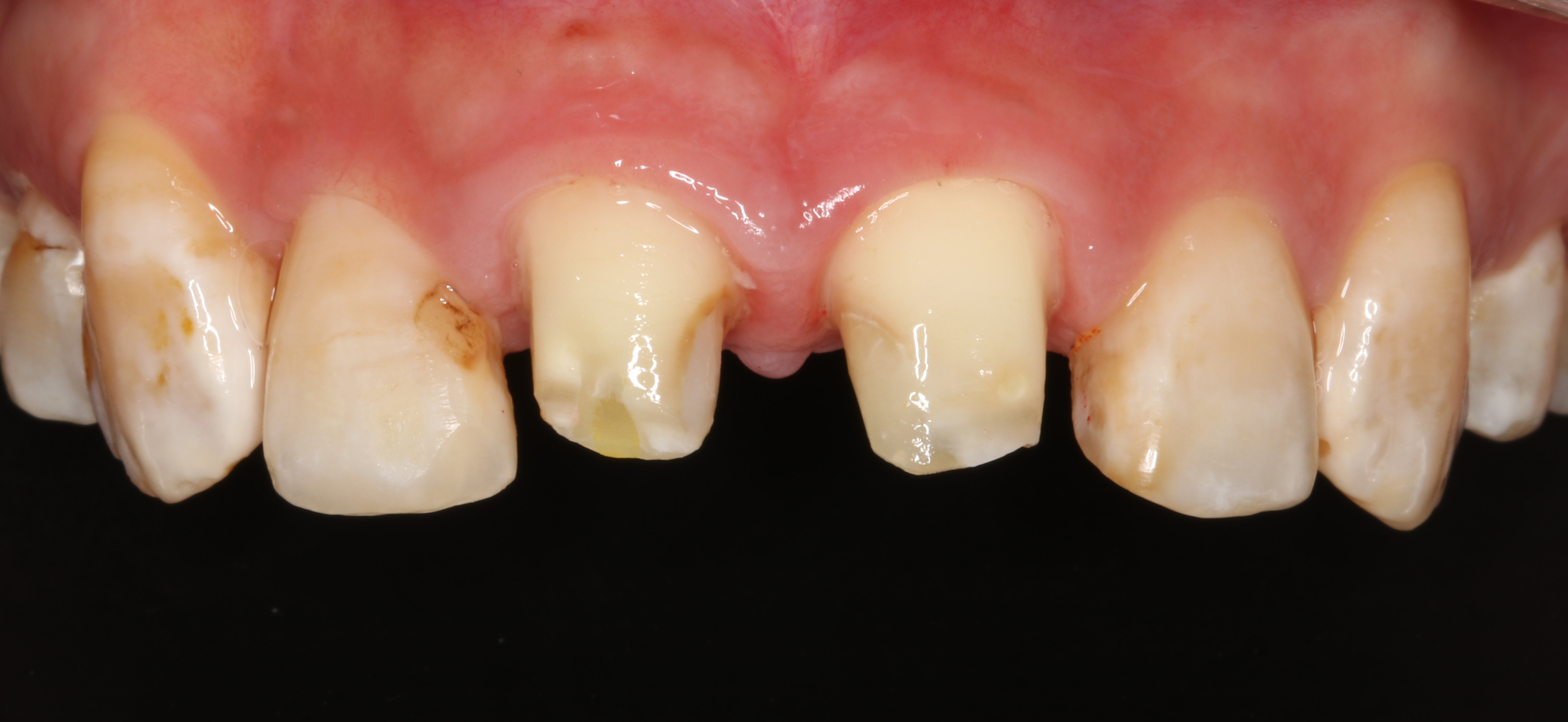
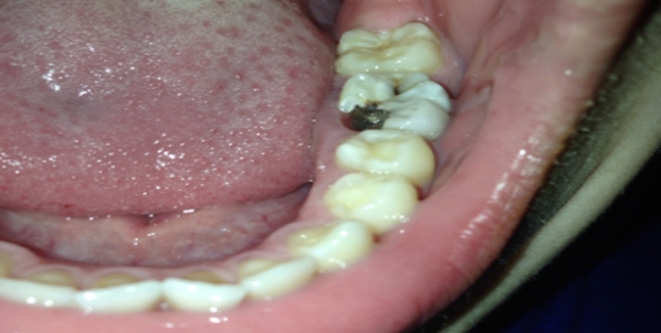
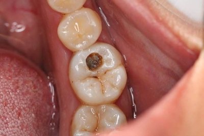
龋病的临床表现有哪些 龋病侵人牙本质后,其发展速度加快。早期牙本质龋损,可能有失去正常牙本质支持的牙釉质(无基釉)的覆盖,表面损害不明显。但在咀嚼过程中无基釉脆不能胜任咬合力时,会... 牙齿治疗 员文石 667 2023-11-27
填补后的牙齿要注意些什么 正常牙齿结构完整致密,牙髓中的血管源源不断地供给营养,使牙齿充满活力,显得特别坚硬且有光泽杂技演员经过训练的牙齿,能承担上百公斤的力量,而没有训练的牙齿,在吃饭... 根管治疗 令狐逸 520 2023-11-24
牙体缺损有什么影响 牙体缺损是指由于各种原因引起的牙体硬组织不同程度的破坏、缺损或发育畸形,造成牙体形态、咬合及邻接关系的异常,对咀嚼、发音、美观以及牙髓、牙周组织等可产生不同程度... 牙齿治疗 公冶乐天 773 2023-11-11
为什么要“杀神经” “杀神经”有什么利弊 当龋病破坏了牙釉质和牙本质,病变达到牙髓并引起牙髓炎后,牙髓血管扩张、充血、渗出增多,病牙出现阵发性痛,放射到对颌牙、头面部、耳后等,医生诊断为“慢性牙髓炎急性... 牙齿治疗 鲜清怡 695 2023-11-10
什么是显微根管治疗 根管治疗后为何要用牙冠修复 根管治疗,俗称“杀神经”,是现有治疗牙髓炎和根尖周炎的首选方法。显微根管治疗是借助手术显微镜和显微器械在放大的视野和聚焦的照明下进行根管治疗的方法,手术显微镜和... 根管治疗 厉涵山 641 2023-11-09
“杀牙神经”是什么意思 牙病患者大多对“杀牙神经”并不陌生,有的一坐上治疗椅第一句话就是要求“杀牙神经”,但他们当中对于“杀牙神经”的目的和作用真的有所了解吗?... 口腔资讯 壬以松 640 2023-11-06