假牙的学名叫义齿,是牙齿脱落或拔除后,为恢复咀嚼、美观、发音等功能所镶补的假牙。目前义齿主要包括固定义齿、可摘义齿、固定-可摘联合义齿、种植义齿等几类。那么在修复的时候,面对各种类型的义齿,该如何选择呢?

假牙的种类:
固定义齿:
恒牙还留有牙根,牙冠缺损严重或形态异常者,可用嵌体、贴面全冠修复。嵌体有金属嵌体和瓷嵌体贴面一般用背贴面,磨牙少,美观。全冠有全瓷冠、金属烤瓷冠、金属冠等。这些修复体都是固定到牙齿上的,不能随便摘脱。如果拔除了一颗牙齿或几颗牙齿,前后还都有坚固的能利用的牙齿,可考虑做固定桥,它利用缺失牙两侧的牙齿,固定在口腔内。固定义齿的优点是体积小、没有异物感,固位好、不需要每天取戴,真实感强:缺点是适用范围窄,对邻牙要求高,对基牙磨切程度大,一旦基牙发生问题,整个修复体都要调整。
可摘义齿:
可摘义齿是一种患者可以自行摘戴的用于部分牙缺失(牙列缺损》的修复体。义齿主要通过固定在余留天然牙上的卡环和基托保持义齿在牙列中的位置,利用天然牙和缺牙区黏膜、骨组织作支持,恢复缺失牙及其周围缺损组织的解剖形态和生理功能。隐形义齿、塑料牙钢丝卡环义齿、金属支架义齿都属于此类。可摘局部义齿的优点是适应证泛,很多不适合采用固定义齿修复的情况均可采用可摘局部义齿修复,基牙也不需要像固定义齿基牙那样大量磨除,费用相对低;缺点是义齿体积大,初戴时会有不适感,影响发音,金属卡环影响美观,每天必须要摘下义齿清洁,功能恢复效果也不如固定义齿好。
全口义齿:
是可摘义齿的一种,是对无牙颌患者的常规修复治疗方法,是采用人工材料替代缺失的上颌或下颌完整牙列及相关组织的可摘义齿修复体多用于全口没有一颗牙齿的老年人。
固定-可摘联合义齿:
与传统的可摘义齿不同,它是用各类附着体或套筒冠做固位体的活动义齿。其特点是修复体的一部分固定在基牙上,而修复体的另一部分与活动义齿相连,二者之间靠摩擦力、弹簧力、扣锁力等机械形式或磁性固位体的吸力产生固位。由于这种修复体结合了固定义齿的稳定、舒适、无金属卡环、体积小和可摘局部义齿适应证广的优点,它适用于缺牙数目较多,不能直接用固定义齿修复,而患者又希望义齿稳定性、功能性、美观性好于一般可摘局部义齿的情况下。

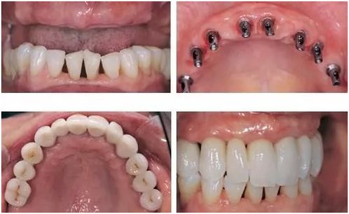
种植义齿:
种植义齿是在口腔缺牙区的牙槽骨内植入种植体(人工牙根),待种植体成活后,再在其上端制作烤瓷冠或金属冠完成种植义齿的修复。它能显著地提高患者的咀嚼功能,且感觉舒适类似真牙,修复效果较好。被誉为“人类第三副牙齿”。
评论列表