错颌畸形的先天因素是指什么 错颌畸形的病因除遗传因素之外,还有环境因素。环境因素可分为先天因素和后天因素。它们之间相互联系,不能截然分开。而且,环境因素和颌面部的功能是密切相关的。... 牙齿矫正 鄂昊英 1383 2023-12-14
牙颌畸形中的先天因素是什么 先天因素发生在胚胎时期,有时与遗传原因很难鉴别,但不一定具有遗传性。也可以这样说:遗传因素都是先天性的,而先天因素则不一定是遗传性的。先天因素包括母体在妊娠期... 牙齿矫正 丰尔槐 487 2023-11-27
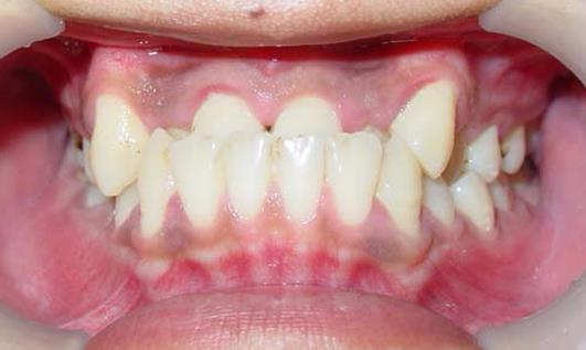
“兜齿儿”是怎么造成的 怎祥预防 引起乳前牙反颌的原因很多,包括先天遗传因素(此类患儿常有明显的家族倾向)、先天性疾病(如唇腰裂等)和后天因素(在生长发育期的某些疾病如佝偻病等)。... 牙齿矫正 厉涵山 607 2023-11-15