口腔正畸有哪几种方式 错颌畸形是指儿童在生长发育过程中,由先天的遗传因素或(和)后天的环境因素,如基因传递、疾病、口腔不良习惯、替牙异常等导致的牙齿、颌骨、颅面部的发育性畸形及咬合畸... 牙齿矫正 公冶乐天 528 2024-01-08
成人还能矫治牙齿吗 我们一般认为,18岁以后就进入成人期。在口腔正畸临床中,成年正畸病人是一个快速增长的人群。很多中、青年人,少年时没有得到应有的综合性正畸治疗。随着经济条件的改... 牙齿矫正 令狐逸 509 2024-01-04
牙颌畸形也要做手术吗 牙颌畸形的矫正,一般采用矫正器,但是矫正器的作用也是有一定限度的,当牙颌畸形非常严重,也就是由于颌骨的发育畸形造成的牙、颌、面的略形用矫正器治疗达不到目的,就应... 牙齿矫正 丘乐正 489 2024-01-02
正畸治疗中的牙齿松动是什么 在使用固定矫治器的正畸治疗中,患者都会出现不同程度的牙周健康问题,最常见的是牙龈炎症,严重者也可出现牙齿松动、甚至造成牙齿脱落。这些表现可为正畸过程中暂时的现象... 牙齿矫正 甫环 549 2023-12-28
成年人也可以矫正牙齿吗 近年来,由于生活水平的提高,人们在衣食住行等基本生活要求满足后,开始重视提高生活质量,增强市吴观念,成年人要求正奇治疗的人数也在日益增多,这也是社会进步和文明程... 牙齿矫正 谬长逸 484 2023-12-27
矫治器的性能及优缺点是什么 矫治器是矫治错颌畸形的一种装置,按其结构,可以分为活动矫治器与固定矫治器;按其力的来源,可以分为机械性矫治器与功能性矫治器。... 牙齿矫正 仙千风 669 2023-12-26
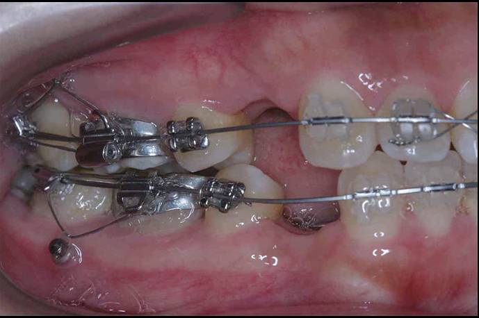
什么是矫治器 矫治器是指用于矫正牙齿牙列不齐的装置,多数是装戴在口腔内的牙齿上,也可以放置在头面部。它必须具有轻便、坚固、耐用、舒适,并且对口腔正常咀嚼和发音等功能影响小等性... 牙齿矫正 丘乐正 616 2023-12-23
戴矫治器时应该注意什么 矫治器是指用于矫正牙齿牙列不齐的装置,多数是装戴在口腔内的牙齿上,也可以放置在头面部。它必须具有轻便、坚固、耐用、舒适,并且对口腔正常咀嚼和发音等功能影响小等性... 牙齿矫正 潭韶敏 1002 2023-12-22
常见的矫治方法有哪些 常见的矫治方法主要有预防性矫治、阻断性矫治、矫治器矫治和外科正畸矫治4种方法。预防性矫治是指在胚胎发育期以及后天发育中,采用各种预防性措施来防止牙列不齐的产生... 牙齿矫正 甫环 636 2023-12-22
支抗的种类有哪些 正畸矫治过程中,任何施于矫治牙使其移动的力必然同时产生一个方向相反、大小相同的力,而支持这种移动矫正牙体引起的反作用力的情况称为“支抗”。... 牙齿矫正 阙德厚 1328 2023-12-18
错颌畸形的矫治方法和矫治器 儿童出生萌牙后要定期进行口腔检查,早期发现问题早期防治,如龋的早期治疗、口腔不良习惯的早期破除、乳牙早失的缺隙保持以及滞留牙多生牙的及时拔除等,使通过这些预防可... 牙齿矫正 阙德厚 503 2023-12-14
正畸中牙齿移动的机制分析与矫治器设计 矫治器是正畸过程中用来移动牙齿的装置,所以谈到矫治器的设计和应用,有必要先分析一下正畸过程中牙齿的移动方式是怎样的,如何才能产生这些预期的牙齿移动。... 牙齿矫正 范姜英杰 770 2023-12-12
正畸后首次复诊需要做什么 复诊要给患者看他们在初诊时的检查结果,如X线片及其描记图、研究模等。最好给他们在屏幕上演示这些结果,研究模要经过很好的打磨抛光和复制后再给患者看。唇侧固定矫治... 牙齿矫正 谬长逸 550 2023-12-12
什么是Begg 细丝弓矫治技术 Begg的正畸理论和技术自1956年他的《在正畸治疗中的差动力》论文发表以来,在正畸学领域影响很大。越来越为人们所重视,他的技术被世界各国同行所重视和采纳。但... 牙齿矫正 壬以松 1521 2023-12-08
牙周病正畸矫治的注意事项 在矫治的标准上,牙周病患者与正常人也应有所不同。通常采用综合疗法,拔牙矫治应慎重进行。尽量采用非拔牙矫治。有时需咬合磨改,改变颌曲线,消除牙列间的间隙,改善覆颌... 牙齿矫正 令狐逸 562 2023-12-08
成年人正畸时的特殊考虑 成年人的龋患率明显高于儿童及青少年,并且多数人还患有牙周疾患,口内不良修复物、缺牙、残冠、残根也比较多见,颌磨耗及颞下颌关节紊乱症状也不少见。口腔疾病的存在,无... 牙齿矫正 尾秋双 541 2023-12-01
成年人的正畸治疗 长期以来,口腔正畸治疗的主要目标集中在生长发育结束前的儿童与青少年。由于成年人生长发育已经完成,颅颌面部骨骼间的骨缝已呈骨性融合,细胞代谢缓慢,对正畸力的生物反... 牙齿矫正 员文石 870 2023-12-01
什么叫矫治器 牙列不齐主要用力进行矫治,应用力的装置有多种,最常用的是在口内或口外安放一种装置,这种装置称作矫治器。由于矫治器主要是装置在口内牙齿上或颌面部所以必须便于患者使... 牙齿矫正 鄂昊英 559 2023-11-30