为什么说成人龋齿危害比儿童更大 以为只有孩子才长蛀牙吗?你错了!在中国,平均每5位成年人中就有4位受到根部蛀牙的威胁。和儿童中常见的牙冠蛀牙相比,成年人的牙根蛀牙更具杀伤力,甚至可能导致牙齿... 牙齿治疗 建原 584 2023-12-26
牙髓病的治疗原则是什么 牙髓组织位于骨性腔内,不易受感染,只有当牙体硬组织受破坏及外界强烈刺激时,才会引起牙髓组织损伤。牙髓炎表现为剧烈疼痛,故在治疗上有其独特之处。... 牙齿治疗 吴芳芳 659 2023-12-26
镶牙前应该做那些准备工作 镶牙前应该做一些必要的准备工作。口腔卫生不良,存在大量的牙结石,戴上假牙后必定会更加刺激牙龈,加重牙龈炎的程度,这不仅会造成牙龈萎缩,而且会使取模时印模不准确,... 牙齿治疗 公冶乐天 689 2023-12-23
牙髓炎的病因是什么 由于细菌感染等各种原因引起的牙髓组织的炎症称为牙髓炎。由龋齿感染而引起的牙髓炎又最为常见。因此预防龋齿和早期治疗龋齿可防止牙髓炎和根尖周炎的发生。... 口腔资讯 南光耀 839 2023-12-15
根管治疗的适应证和非适应证 通过根管预备,彻底清理髓腔,消除感染源,经根管消毒将残存在髓腔内及牙本质小管内的细菌及其毒素进行消毒,并用根管充填剂严密填塞死腔,防止再感染,从而预防和治愈根... 根管治疗 丰尔槐 644 2023-12-15
根管治疗的适应证有哪些 随着根管治疗器械与根管治疗方法的不断改进,以及患者保留患牙需求的不断增加,根管治疗的适应证有不断扩大的趋势。具体来说包括以下几个方面。... 根管治疗 仪捷 585 2023-12-11
根尖周病的病因是什么 根尖周病是指根尖的牙骨质、根尖周围的牙周膜和牙槽骨等根尖周组织的疾病。绝大多数是由牙髓病发展而来,是口腔常见病之一。根尖周病分为两大类:即急性根尖周炎(急性浆... 牙齿治疗 所晴丽 561 2023-11-27
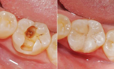
什么是牙体缺损 牙体缺损修复前要做什么准备 牙体缺损是指各种牙体硬组织不同程度的质地和生理解剖外形的损坏或异常,它常表现为正常牙体形态、咬合及邻接关系的破坏。牙缺损常见的原因是龋病,其次为外伤、磨损、楔状... 牙齿治疗 郜清淑 605 2023-11-25
根管治疗是什么 人的牙齿里是有神经的,牙神经供给牙齿的营养物质,维持牙齿的生长和发育。它位于牙齿中间,由牙齿表面的硬组织保护,因此,牙齿外界的硬组织和牙神经二者的关系很密切,是... 根管治疗 丘乐正 675 2023-11-24
牙体缺损修复后可能出现的问题及处理 牙体缺损与其他修复相比,其术后问题出现率和复诊率最低。但是如果适应证掌握不好,修复治疗过程中未能遵循修复原则和质量要求,仍可能出现一些问题。轻者需要适当处理,严... 牙齿治疗 笪冰夏 605 2023-11-17
中年人护齿的要点是什么 中年过后,许多人都发生这样的现象:牙齿常感酸痛、松动、咀嚼无力、牙周发炎等。因此,要想有副健康的牙齿相伴终生,中年过后就要特别注意牙齿的保健。... 口腔资讯 商清卓 538 2023-11-06
出现剧烈牙痛时需要注意什么 出现剧烈牙痛时,只要条件许可,均应及时到医院进行治疗,以免导致牙髓炎的进一步发展而出现严重并发症或掩盖其他疾病而耽误治疗。... 牙齿治疗 捷思若 583 2023-11-02
牙髓炎的发生原因是什么 牙髓炎的治疗方法 口腔疾病可大可小,很多人容易忽视。当有一点点龋齿时,人们大多数不注意,龋齿发展到深龋时期,龋洞已进入牙本质深层,细菌可通过残存的牙本质进入牙髓,引起发炎,这就是... 口腔资讯 admin 568 2023-10-20
牙髓炎有哪些危害 牙髓位于牙齿的中心位置,外层由牙釉质、牙本质及牙骨质包绕着,仅在根尖孔与根尖周组织相联系;牙髓的神经来自三叉神经,髓腔内的神经纤维应激闯值较低,它对压力的感受性... 口腔资讯 admin 509 2023-10-19