牙痛的原因及治疗是什么 牙齿是受感觉非常灵敏的三叉神经支配的,牙体组织和牙周组织的任何部分发生损伤或炎症都可能引起疼痛。牙痛是口腔科疾病最常见的症状,是诊断许多口腔疾病的重要依据。... 牙齿治疗 柯泰和 673 2024-03-01
牙痛的原因及治疗 牙齿是受感觉非常灵敏的三叉神经支配的,牙体组织和牙周组织的任何部分发生损伤或炎症,都可能引起疼痛。牙痛是口腔科疾病最常见的症状,是诊断许多口腔疾病的重要依据。... 牙齿治疗 阙德厚 699 2024-02-22
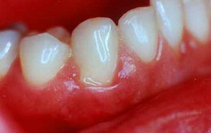
牙髓炎应该如何预防 俗话说:“牙痛不算病,一痛就要命”。牙髓炎可分为急性、慢性、开髓变性、牙髓坏死与坏疽。急性期,寒痛剧烈难忍,其特点是自发痛、阵发痛、夜间加重。到了晚期,可出现持... 牙齿治疗 建原 665 2023-12-28
怎样区别牙痛的原因 牙痛不是单一的疾病,它是口腔和一些系统病的一种症状。可以从牙痛的性质、发作时间,初步判断是属于哪种病的牙齿疼痛。对疾病的早期正确诊断、治疗很有帮助。... 口腔资讯 公冶乐天 741 2023-11-30
烤瓷牙内的牙齿发生疼痛是否需要拆冠 做了冠套后食物嵌塞怎么办 烤瓷牙是国内近几年来才广泛运用于临床的镶牙新工艺,它之所以受到广大牙病患者的欢迎,尤其是中青年病人的欢迎。患者有时会有疑问,烤瓷牙是固定的,如果安装后出现牙齿疼... 烤瓷牙 尾秋双 1562 2023-11-13
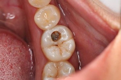
孩子的乳牙有洞不用补吗 孩子的乳牙坏了要不要补,这是做父母所关心的一个问题。在现实生活中,常见一些朋友或周围的人虽然看到自己孩子的牙齿出现了许多牙洞,无论痛与不痛,都不带孩子去医院治疗... 牙齿治疗 丘乐正 660 2023-11-07
出现剧烈牙痛时需要注意什么 出现剧烈牙痛时,只要条件许可,均应及时到医院进行治疗,以免导致牙髓炎的进一步发展而出现严重并发症或掩盖其他疾病而耽误治疗。... 牙齿治疗 捷思若 636 2023-11-02
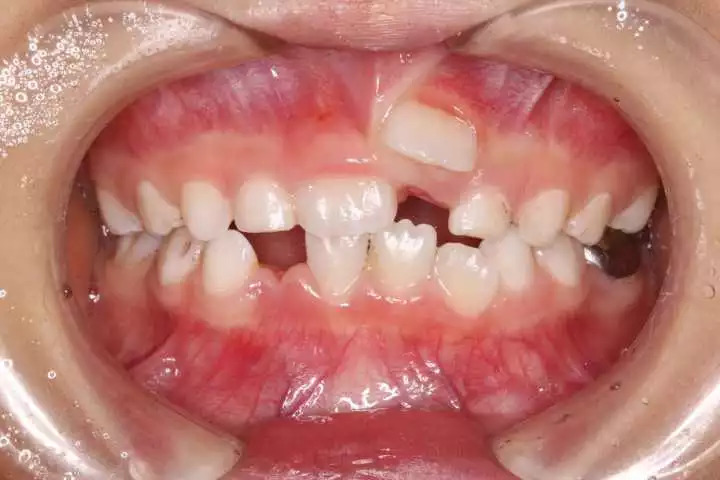
哪些牙应该拔除 哪些牙应该保留 有些人认为“牙痛不是病”。牙痛的时候强忍着或随便吃些止痛消炎药,牙不痛也就算了。致使牙病进一步发展,或松动脱落,或牙齿一块一块崩掉,变成残根,影响吃饭,造成消化... 口腔资讯 admin 607 2023-10-18
矫治期间牙齿疼痛是怎么回事 牙痛是正畸治疗过程中的--种常见反应,也是许多患者尤其是儿童所关心的问题,在正畸治疗中,如分牙、初戴矫治器、放置新弓丝、复诊加力后,多数患者会感到不同程度的牙病... 牙齿矫正 admin 514 2023-10-18