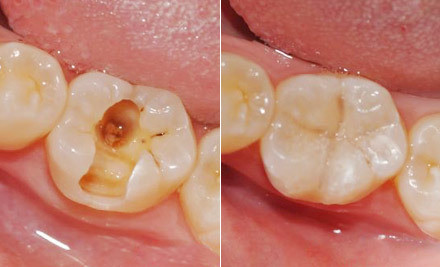
补过的牙为什么还会疼 牙疼不是病,疼起来真要命,龋齿对于现在来说太普遍了,很多人都有这样的情况,所以补牙的人也日益增多。但有人补过牙后从没疼痛过,而有的人补过牙没多久又痛起来这是为什... 补牙 admin 718 2023-10-17
牙科小知识:除了拔牙还有哪些方法可以治疗严重龋齿? 龋齿是一种常见的口腔疾病,如果不及时治疗,可能会逐渐加重。在很多人的观念中,严重龋齿可能就意味着要拔牙,但实际上,除了拔牙,还有多种治疗方法可供选择。作为牙科医... 口腔资讯 巨伟懋 3678 2024-08-10
龋齿的预防方法有哪些?如何保持口腔健康和清洁? 龋齿是一种常见的口腔疾病,给人们的生活带来诸多不便和痛苦。预防龋齿和保持口腔健康清洁至关重要,下面我们来详细探讨一下相关的方法和措施。一、龋齿的形成原因1.细菌... 口腔资讯 闾鸿达 1707 2024-08-08
小朋友牙齿发黑需要治疗吗?儿童补牙怎么选补牙材料? 作为家长,当发现小朋友的牙齿发黑时,常常会感到担忧和困惑,不知道这种情况是否需要治疗。同时,在面临儿童补牙时,如何选择合适的补牙材料也是一个重要的问题。下面我将... 口腔资讯 鄂昊英 797 2024-07-25
如何选择适合自己的补牙材料?补牙后应该如何进行口腔护理? 当牙齿出现龋坏或损伤需要补牙时,选择合适的补牙材料以及掌握补牙后的口腔护理方法至关重要。这不仅关系到补牙的效果和持久性,还影响着口腔的健康和舒适度。下面,我们就... 口腔资讯 厉涵山 3503 2024-07-24
牙科小知识:不同补牙材料的优缺点是什么? 当牙齿出现龋坏或损伤时,补牙是常见的治疗方法。而选择合适的补牙材料对于治疗效果和患者的舒适度都至关重要。下面,我们来详细了解一下不同补牙材料的优缺点。一、常见的... 口腔资讯 令狐逸 4105 2024-07-24
正畸小知识:正畸治疗期间如何预防龋齿和牙齿脱矿? 正畸治疗是改善牙齿排列和咬合的有效方法,但在这个过程中,由于矫治器的存在,口腔清洁难度增加,容易引发龋齿和牙齿脱矿等问题。作为牙科医生,下面为您详细介绍在正畸治... 牙齿矫正 guoliangping 1943 2024-07-23
牙科小知识:如何判断龋齿是否需要根管治疗? 龋齿是一种常见的口腔疾病,如果不及时治疗,可能会逐渐加重,影响牙髓健康。而判断龋齿是否需要进行根管治疗对于治疗方案的选择和牙齿的预后至关重要。下面我们来详细探讨... 牙齿治疗 公冶乐天 1444 2024-07-22
哪些人群更容易患上龋齿?如何判断龋齿的严重程度? 龋齿是一种常见的口腔疾病,影响着各个年龄段的人群。了解哪些人更容易患上龋齿以及如何判断龋齿的严重程度,对于预防和及时治疗龋齿至关重要。下面我们来详细探讨这两个重... 牙齿治疗 仪捷 2955 2024-07-22
龋齿治疗医保能报销吗?龋齿治疗需要多久? 龋齿是一种常见的口腔疾病,给患者带来不适和困扰。在面对龋齿治疗时,很多人关心的问题是医保是否能报销以及治疗所需的时间。下面我们就来详细探讨这两个关键问题。一、龋... 牙齿治疗 仙千风 4784 2024-07-22
窝沟封闭和补牙有什么区别?儿童和青少年补牙后需要注意什么? 在儿童和青少年的口腔保健中,窝沟封闭和补牙是常见的两种牙齿保护措施。然而,很多家长对于这两者的区别并不十分清楚,同时也不太了解孩子补牙后需要注意的事项。接下来,... 牙齿治疗 丰尔槐 2215 2024-07-22