孩子的口腔不良习惯必须纠正 在儿童生长发育时期,往往有许多不良习惯,有些不良习惯对牙、颌、面的发育影响很大。如不早期干预,可造成终身的错颌畸形,不仅影响美观,还会影响咀嚼功能因此必须引起家... 牙齿矫正 丰尔槐 751 2024-01-08
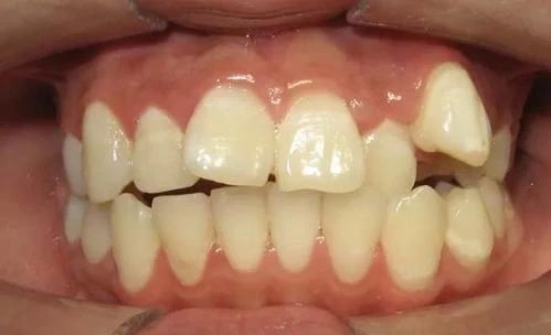
为什么会牙齿畸形 畸形对孩子的牙齿、牙周健康影响都很大。比如牙列拥挤的孩子,牙齿的清洁和自洁比较困难,容易引发龋齿和牙龈炎;错颌的牙齿,容易伤及牙周,造成牙齿外伤使牙齿出现松动、... 牙齿矫正 素若南 536 2024-01-06
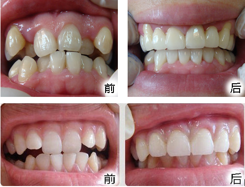
牙颌畸形矫治完成后会复发吗 正畸治疗过程中,牙齿轻微疼痛是一种常见反应,但这种疼痛一般都能够忍受。在治疗中,如分牙、初戴矫治器、放置新弓丝、复诊加力后,多数病人会感到不同程度的牙痛症状有的... 牙齿矫正 仙千风 813 2024-01-04
牙齿矫正的最佳年龄是什么 关于牙颌畸形,往往被认为是“先天的”而不受重视;尤其是乳牙列表现畸形,更被误认为“换牙后长了恒牙就会好的”其实不然。儿童的牙颌畸形如不重视并及时矫正,其后果不仅... 牙齿矫正 范姜英杰 487 2024-01-03
牙颌畸形一定要矫治吗 随着生活水平的提高,人们对牙齿健康和美观逐步提高了认识,要求正畸的病人也日益增多。但仍有一部分家长认为,牙颌畸形是天生的,牙齿能够吃饭就行了,矫治不矫治无所谓,... 牙齿矫正 谬长逸 493 2024-01-03
牙颌畸形是什么样的 牙颌畸形是指儿童在生长发育过程中,由先天的遗传因素或后天的环境因素,如疾病、口腔不良习惯、牙齿替换不正常等各种原因导致的牙齿、颌骨、颅面的畸形,再如牙齿排列不整... 牙齿矫正 速俨 500 2024-01-03
为什么牙颌畸形的发生率越来越高 随着人们生活水平的提高,牙齿的美观已经日益被人们所重视。据世界卫生组织统计,口腔的三大疾病是龋病、牙周病和错颌畸形(牙颌畸形)。牙颌畸形在我国的患病率高达49%... 牙齿矫正 郜清淑 501 2024-01-03
牙颌畸形也要做手术吗 牙颌畸形的矫正,一般采用矫正器,但是矫正器的作用也是有一定限度的,当牙颌畸形非常严重,也就是由于颌骨的发育畸形造成的牙、颌、面的略形用矫正器治疗达不到目的,就应... 牙齿矫正 丘乐正 486 2024-01-02
牙颌骑形什么时候矫正效果最好 在口腔正畸科门诊中,经常有家长领着孩子来询问什么时候矫正牙颌畸形合适,甚至孩子刚萌出两个牙齿就抱着来找医生检查要求矫正。因此有必要向家长谈谈什么时候矫正才合适这... 牙齿矫正 南光耀 530 2023-12-29
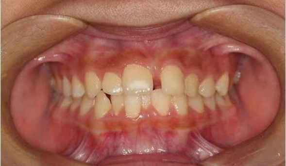
什么叫牙颌畸形 什么叫牙颌畸形呢?这个名词对许多人来说是陌生的,但一经解释,马上就会明白。牙颌畸形是发生于人群中最常见的一种疾病。所谓牙颌畸形就是:人类的牙齿排列不整齐,上下牙... 牙齿矫正 充向雪 522 2023-12-29
儿童吐舌头可导致牙颌畸形 吐舌是儿童口腔常见不良习惯的一种,可有吐舌、舔牙和伸舌等多种形式。造成吐舌习惯的原因很多,例如过长时间的吮指会逐渐发展成为吐舌;有巨舌症,舌体过大;舌系带过短使... 牙齿矫正 富南烟 648 2023-12-27
牙颌畸形有哪些危害 每个儿童的家长都希望自己的孩子长得健康、漂亮而讨人喜欢。可有些儿童下巴前翘或门牙外倾,真是美中不足。这些现象在医学上称为牙颌畸形。牙颌畸形对全身及局部组织的功能... 牙齿矫正 申屠亦凝 475 2023-12-27
矫正牙齿宜在最佳年龄 牙颌畸形是指牙齿排到不整齐、上下牙弓关系异常、上下颌骨位置和形态变异、牙颌和颅面关系不协调等。各种牙颌畸形都不同程度地影响口腔功能和面貌的美容。儿童时期全身和颅... 牙齿矫正 钟苒 579 2023-12-27
牙颌面畸形的正颌外科治疗是不是一做手术就能矫正畸形 牙颌面畸形是个体在生长发育过程中逐渐出现的一类病变,通常是由先天性的因素或后天性的原因,或由二者联合影响的结果。在先天性因素中,可由基因遗传或胎儿发育期母体内环... 牙齿矫正 富南烟 527 2023-12-26
错颌畸形的危害有哪些 正畸治疗不仅要获得牙列的整齐和面部美观的改善,同时要获得牙颌与颅颌面其他结构的协调,达到神经肌肉系统的协调一致,并使口颌系统功能改善和恢复,同时,正畸治疗后要取... 牙齿矫正 员文石 469 2023-12-26
牙齿排列不齐的最佳矫治时机 每个人都希望自己有一副洁白如玉、排列整齐的牙齿。但事与愿违,大多数人或多或少都有一点牙颌畸形,在我国牙颌畸形的患病率高达49%。牙颌畸形的发生与遗传有一定关系... 牙齿矫正 素若南 518 2023-12-22
牙列不齐的快速矫治是什么 牙列不齐快速矫治法主要指用牙外科正畸的方法,也就是用手术的方法达到矫治的目的。这种方法对于一些简单的前牙错位或扭转,以及成年人来说是最佳、最快的矫治方法。... 牙齿矫正 速俨 488 2023-12-22
牙列不齐的矫治是什么样的 每个人都希望自己有一副洁白如玉、排列整齐的牙齿。然而,往往事与愿违,如果从医学角度考虑,我们大多数人都或多或少的存在牙颌的畸形,这种畸形的发病率在我国高达49... 牙齿矫正 郜清淑 703 2023-12-22
成年人的牙齿正畸 牙根一旦形成,牙齿在颌骨中的位置即相对稳定,而正畸的目的是既要改善美观,又不能对牙齿造成不良的后果,因此成年人的正畸有其特殊的要求。成年期包括青年壮年和老年。在... 牙齿矫正 钟苒 718 2023-12-22