正畸中对咬合的认识与发展 口腔正畸学是研究牙颌畸形的病因、机制、诊断、治疗的一门学科,其面对的对象主要就是咬合,而颌学是一门以咬合为研究中心的口颌系统的生理病理学,它是口腔正畸学的生物学... 牙齿矫正 丘乐正 748 2023-11-27
正畸知识:如何避免牙齿矫正后出现无法咬合的情况? 牙齿矫正作为改善牙齿排列和咬合关系的有效手段,为许多人带来了美丽和健康的笑容。然而,矫正后出现无法咬合的情况是患者和医生都不愿意看到的结果。今天我将为您详细介绍... 牙齿矫正 丰尔槐 1309 2024-07-31
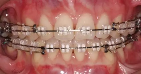
正畸科普:牙科医生在矫正牙齿时发现患者有咬合异常会采取哪些措施? 在正畸治疗过程中,牙科医生经常会遇到患者存在咬合异常的情况。咬合异常不仅会影响咀嚼功能和口腔健康,还可能导致面部美观问题以及颞下颌关节紊乱等。那么,当发现患者有... 牙齿矫正 捷思若 3336 2024-06-21
整牙齿矫正多少钱?22岁牙齿咬合不对称能矫正好吗? 拥有整齐美观的牙齿是许多人梦寐以求的,因为它不仅影响着外貌,还对口腔健康和自信心有着重要作用。一些人可能在成年后才考虑进行牙齿矫正,比如22岁这样的年龄。在... 牙齿矫正 huanglanyan 631 2024-04-17
40岁牙齿咬合不齐,需要矫正吗?在深圳做牙齿矫正哪里好? 伴随年龄的增长,一些牙齿问题可能会逐渐显现,其中包含牙齿的不齐和咬合不正。尽管很多人认为牙齿矫正是年轻人的事情,但实际上,不管年龄大小,都可以经过牙齿矫正来... 牙齿矫正 admin 718 2024-04-12
牙齿咬合不好需要矫正吗?牙齿的矫正一般多少钱 人们对口腔健康和美容的重视,许多的人开始关注牙齿的咬合问题,并考虑进行牙齿矫正来改善咬合功能和外观美观。 一、牙齿咬合不好需要矫正吗? 咬合不良的影响:... 牙齿矫正 huanglanyan 566 2024-04-11
正确的牙齿咬合是什么样的?26岁还有没有必要矫正牙齿 年龄的增长,牙齿的排列和咬合可能会出现一定程度的问题。对26岁的成年人来说,是否需要进行牙齿矫正是一个值得考虑的问题。 一、正确的牙齿咬合是什么样的? ... 牙齿矫正 huanglanyan 616 2024-04-11
缺牙对咬合系统有什么影响 牙齿缺失的痛苦,只有亲身经历的人才会深有体会。平常喜欢的食物不能吃,还会引起消化功能上的障碍和严重影响到自己的外在形象。这成为很多牙齿缺失患者无法言喻的苦衷,但... 牙齿治疗 充向雪 787 2024-03-25
缺牙对咬合系统的影响有哪些 牙齿缺失的痛苦,只有亲身经历的人才会深有体会。平常喜欢的食物不能吃,还会引起消化功能上的障碍和严重影响到自己的外在形象。这成为很多牙齿缺失患者无法言喻的苦衷,但... 牙齿治疗 聊华清 659 2024-01-25
常见异常咬合与牙列不齐、错颌畸形的种类 了解不正常的咬合关系与牙列是进入正畸矫治的先决条件之一。牙列不齐、错颌畸形的种类包括牙列拥挤、牙列间隙、龅牙、地包天、深咬、开颌、牙齿倾斜、颜面颌骨异常等。... 牙齿矫正 鲜清怡 1258 2024-01-05
咬合正畸治疗的注意事项 牙齿倾斜移位、扭转等牙齿错颌畸形是牙周病重要的修饰因素。牙齿错颌畸形使牙齿的自洁能力降低,牙周炎始动因素牙菌斑附着增加,而且刷牙等口腔清洁不良使牙菌斑增加,加重... 牙齿矫正 苦冷亦 648 2023-12-20