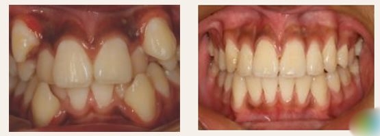
成人牙列不齐的矫正与儿童有什么区别 长期以来在人们的意识中只知道矫正牙齿是适宜于儿童和青少年的,而觉得成年人没有必要矫正牙齿。实际上成年人牙列不齐也是很有必要进行矫正的,因为成年人的口腔条件较差,... 牙齿矫正 郜清淑 505 2023-11-30
怎样预防牙列不齐 由于牙列不齐的形成因素及其机制是错综复杂的,其发生的过程可能是单一因素或单一机制在起作用,也可能是多种因素或多种机制共同作用的结果。从胚胎到青少年生长发育完成的... 牙齿矫正 申屠亦凝 540 2023-11-29
哪些常见的口腔发育障碍和缺陷会引起牙列不齐 人类的食物越来越精细,导致咀嚼功能日益减弱,因而产生咀嚼器官退化性缩小的遗传性状。而这种退化呈现不平衡现象,即肌肉居先,颌骨次之,牙齿再次之。牙齿在发育过程中的... 牙齿矫正 朱小溪 591 2023-11-29
不良习惯与牙列不齐有什么关系 所谓习惯,就是指在一定时间内有意识或无意识地反复做一相同的动作,并持续下去。口腔不良习惯是发生于口腔环境的有害的异常习惯行为。... 牙齿矫正 建原 529 2023-11-29
牙列不齐是否会遗传 牙列不齐是会遗传的,甚至有报道为“接近百分之百的遗传”。遗传是生物体的特性,也是生物体本身的生活及发展所需的条件,同时对外界环境还有一定的反应能力。... 牙齿矫正 壬以松 517 2023-11-29
怎样的牙列是美丽的 正畸治疗的目标是什么 这是一个具有极广泛意义的话题。公众对美的评价是主观的、多视角的。“情人眼里出西施”这句古话强调了审美的主观性。但同时对容貌美的评价又有相当的一致性,如对中国古代... 牙齿矫正 厉涵山 452 2023-11-29
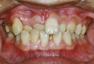
牙列不齐有什么危害性 广大群众对有关牙列不齐的矫正知识存在一些模糊认识,如矫正牙齿对身体有没有危害,小儿瘪嘴很好玩也不难看等等,因而延误治疗,导致病情严重。牙列的不齐,可以给我们的身... 牙齿矫正 公冶乐天 498 2023-11-29
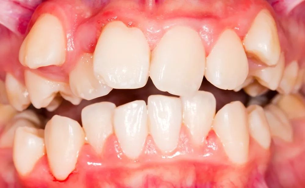
什么情况的牙列不齐暂时不需矫正 牙列不齐是口腔疾患中常见病之一,其病因和临床表现错综复杂,矫治方法众多。牙列不齐对口腔健康、口腔功能、颌骨骨骼的发育及外貌都有很大影响,以致影响职业的选择。... 牙齿矫正 公冶乐天 524 2023-11-29
为什么牙列不齐可以矫正 对不整齐的牙列进行矫正,把外力(矫治器产生的矫治力)施加到错位的牙齿上,或者去除不正常的肌力,使牙齿的位置发生改变,把不整齐的牙列排成整齐的牙列,这是有着复杂的... 牙齿矫正 仪捷 593 2023-11-29
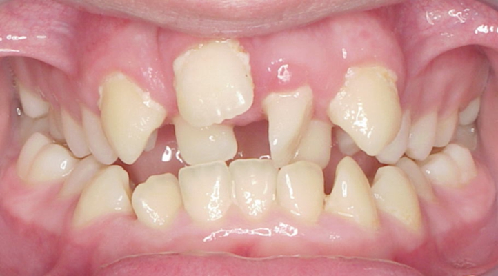
牙列不齐的表现是什么 口腔正畸学是口腔医学的一个分支学科,它是研究错颌畸形的病因机制、诊断分析、预防和治疗的。现代医学的发展,使口腔正畸学研究的对象已经不仅限于牙列不齐了。世界卫生组... 牙齿矫正 仙千风 588 2023-11-29
牙齿排列不齐有无危害 牙颌畸形是有很多危害的,如果已经形成了牙颌畸形应及时到医院检查治疗。牙颌畸形对全身及局部组织的功能、健康都有较大的影响,其危害可简单地归纳为下列5个方面。... 牙齿矫正 壬以松 473 2023-11-14