根管治疗的适应证和非适应证 通过根管预备,彻底清理髓腔,消除感染源,经根管消毒将残存在髓腔内及牙本质小管内的细菌及其毒素进行消毒,并用根管充填剂严密填塞死腔,防止再感染,从而预防和治愈根... 根管治疗 丰尔槐 644 2023-12-15
一次性根管治疗的适应证与禁忌证有哪些 近几年来,一次性根管治疗技术越来越受到临床口腔科医师的重视,因其减少了就诊次数,缩短了总的就诊时间,受到了广大患者的热烈欢迎。进一步研究、提高一次性根管治疗技术... 根管治疗 充向雪 593 2023-12-11
根管治疗的适应证有哪些 随着根管治疗器械与根管治疗方法的不断改进,以及患者保留患牙需求的不断增加,根管治疗的适应证有不断扩大的趋势。具体来说包括以下几个方面。... 根管治疗 仪捷 585 2023-12-11
如何衡量根管治疗的疗效 急、慢性根尖周炎的最终治疗方法均应选择根管充填。当然,急性期的脓肿应先行引流排脓。有些病例牙槽骨破坏严重,需要拔除患牙。根管治疗术是通过清除根管内的坏死物质,进... 根管治疗 充向雪 553 2023-12-04
根管治疗是什么 人的牙齿里是有神经的,牙神经供给牙齿的营养物质,维持牙齿的生长和发育。它位于牙齿中间,由牙齿表面的硬组织保护,因此,牙齿外界的硬组织和牙神经二者的关系很密切,是... 根管治疗 丘乐正 675 2023-11-24
根管治疗再感染该怎么办 在导致根管治疗失败的诸多因素中,根管再感染是一项很重要的因素,并且容易被临床医生所忽视。从打开牙髓,开始髓腔预备到完成根管充填,再进行牙体修复,术者应该始终具备... 根管治疗 富南烟 594 2023-11-11
根管治疗的注意事项有哪些 根管治疗的优点有哪些 牙本质在一生中不断形成,随着年龄的增长,髓腔内壁有继发性牙本质沉积,使髓腔的体积逐渐减小,根管变细,根管孔变小,有的会部分或全部钙化阻塞,这样会给根管预备带来一... 根管治疗 尾秋双 520 2023-11-11
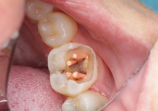
根管治疗的治疗过程是什么样的 牙齿根管治疗术的过程是医生用牙齿根管治疗专用的器械通过彻底去除感染的牙髓以及感染的牙本质和毒性分解产物,严密填塞根管,隔绝细菌进入根管再感染,防止根尖周病变的发... 根管治疗 巨伟懋 510 2023-11-11
根管治疗的适应证是什么 根管治疗术是治疗牙髓病及根尖周病的一种方法,通过消毒根管内的炎症牙髓和坏死物质,并进行消毒,充填根管,以去除根管内容物对根尖周围组织的不良刺激,防止发生根尖周病... 根管治疗 建原 599 2023-11-11
什么是显微根管治疗 根管治疗后为何要用牙冠修复 根管治疗,俗称“杀神经”,是现有治疗牙髓炎和根尖周炎的首选方法。显微根管治疗是借助手术显微镜和显微器械在放大的视野和聚焦的照明下进行根管治疗的方法,手术显微镜和... 根管治疗 厉涵山 591 2023-11-09
根管治疗为什么那么贵 牙齿出现了疼痛,很多情况医生都会建议患者进行根管治疗也就是老百姓常说的抽神经,其实很多人并不懂牙齿有洞出现了疼痛为什么不能直接补一下,而是非要选择抽神经。... 根管治疗 笪冰夏 507 2023-11-08
什么是根管治疗 根管治疗怎么进行 人的牙齿里有神经,牙神经供给牙齿营养物质,维持牙齿的生长和发育。它位于牙齿中间,由牙齿表面的硬组织保护,因此,牙齿表面的硬组织和牙神经二者的关系很密切,是互相依... 根管治疗 潭韶敏 542 2023-11-02
桩冠是什么 桩冠怎样做 桩冠是利用金属冠桩插入根管内以获得固位的一种冠修复。桩冠的固位良好,外形和牙冠色泽接近自然牙,美观舒适,制作简便,支持与受力形式合理,是一种比较理想的残根残冠修... 烤瓷牙 充向雪 519 2023-11-02
什么叫根管治疗 根管治疗的过程是什么样的 根管治疗是牙科常用的一种治疗技术。治疗中,医师使用根管治疗的专用器械,通过彻底去除感染的牙髓以及感染的牙本质和毒性分解产物,严密填塞根管,隔绝细菌进入根管,避免... 根管治疗 范姜英杰 508 2023-10-28
什么是一次性根管治疗 一次性根管治疗有什么优点 对于一次性根管治疗,一般选择合适的病例,提高一次性根管治疗效果的基本保证。好在一次性根管治疗适用于大多数需要做根管治疗的病例。... 根管治疗 admin 577 2023-10-16
根管治疗的优点有哪些 根管治疗后为什么要装牙冠 大多数人会忽略口腔的健康,不良的饮食习惯容易让我们原本健康的牙齿生病,牙齿疼起来吃不好,睡不香,难言欢笑。用心守护口腔的健康,才能想笑就笑,想吃就吃。... 根管治疗 admin 512 2023-10-16
什么是根管治疗 为什么要做根管治疗 根管治疗一般俗称抽神经,其实严格说来抽神经只是根管治疗的一部分,因为根管治疗包括,牙髓的去除(抽神经),根管的开创及消毒,细细的根管要用根管铿慢慢地扩大。再加上... 根管治疗 admin 472 2023-10-16