牙齿萌出异常怎么办 牙齿的萌出是儿童颌面部发育的生理过程之一,萌牙的部位会出现一些生理现象。当牙冠长到牙龈下时,先将被覆的牙龈顶起,形成龈隆起,而后突破牙龈长出来。一般恒牙萌出时无... 口腔资讯 令狐逸 580 2023-12-29
牙科小知识:儿童换牙期间应该如何预防乳牙滞留? 儿童换牙是其生长发育过程中的一个重要阶段,而乳牙滞留是这一时期可能出现的问题之一。下面我将为您详细介绍在儿童换牙期间预防乳牙滞留的方法。一、保持良好的饮食习惯1... 口腔资讯 苦冷亦 634 2024-07-25
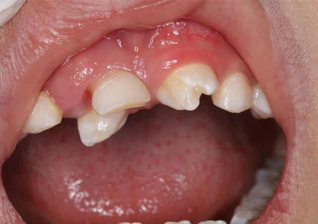
儿童换牙时,乳牙滞留会对新牙的生长产生哪些影响? 在儿童换牙的过程中,乳牙滞留是一种较为常见的现象。这一问题往往令家长们感到担忧,因为它可能会对新牙的生长产生一系列的影响。接下来我将为您详细阐述乳牙滞留对新牙生... 口腔资讯 速俨 1045 2024-07-25
在什么情况下必须拔除乳牙 儿童到6~7岁时,原来的乳牙逐个脱落,恒牙逐渐萌出,这个时期称为儿童换牙期。有些家长随便给儿童拔除乳牙,以为恒牙反正会长出来的。其实,随便拔乳牙,很容易导致儿童... 牙齿治疗 谬长逸 721 2024-04-02
“乳牙坏了,拔掉算了”的说法正确吗 常听到一些家长说:“孩子的乳牙坏了,反正要换的,可以不补。”甚至有些家长认为:“乳牙坏了,拔掉算了。”这些说法都是不正确的。乳牙从开始萌出到完全脱落,在儿童口腔... 牙齿治疗 速俨 698 2024-04-02
乳牙替换时要注意的问题 从乳牙发育到恒牙列期有一较长的乳恒牙替换过程,即乳切牙、乳尖牙、乳磨牙被恒切牙、尖牙、双尖牙替换。在这个过程中口腔内既有乳牙,又有恒牙,因而称为混合牙列期或替牙... 牙齿治疗 速俨 1242 2024-03-19
乳牙龋病不用治疗的观点对吗 有些家长不重视自己孩子的乳牙。他们认为,乳牙迟早要被恒牙替换,因此乳牙的龋齿不用治疗。这种观点是非常错误的。乳牙龋病的危害既影响局部也影响全身,特别是乳牙龋造成... 牙齿治疗 闾鸿达 635 2024-03-19
乳牙龋齿有哪些危害 随着儿童年龄的增长,乳牙被恒牙所替代,因而有相当一部分家长认为乳牙是临时性器官,患了龋齿后,不痛就不必治疗,等换牙就好了。乳牙患龋齿后要不要及时治疗?让我们看看... 牙齿治疗 闾鸿达 695 2024-03-13
乳牙龋齿有哪些特点 龋齿,人们俗称为“虫牙”。乳牙龋齿的发病原因与恒牙是基本相同的,但发病特点不尽相同。乳牙患病率高,发病年龄早。有人发现6个月左右小儿就可发病,就是说牙齿萌出后不... 牙齿治疗 阙德厚 777 2024-03-13
儿童乳牙龋病的预防原则是什么 有的小朋友牙齿烂了,出现了一阵阵的疼痛,有时半边脸都疼,分不清是哪颗牙齿疼,尤其是晚上更为严重,常常坐立不安,难以人睡。这是因为细菌和毒素通过龋坏的牙组织影响到... 牙齿治疗 吴芳芳 1002 2024-02-23